イベントに間に合うか|博多で矯正歯科なら「むらつ歯科クリニック」

イベントに間に合うか

結婚式や大切なイベントを控え、歯並びに自信を持ちたいと考えている方も多いはず。
しかし、矯正治療は時間がかかると思って躊躇していませんか?
実は、最近では短期間で治療が完了する矯正方法も増えており、結婚式やイベントに間に合わせることも可能です。
インビザラインやスピード矯正など、目立たずに治療が進められ、効率的に結果を得られる方法や、その他の治療についてもご紹介します。
自分に合った矯正法で、イベント前に理想の歯並びを手に入れ、もっと自信を持って笑顔を見せられるようになります。

矯正を始めるタイミングはいつがいい?

結婚式や大切なイベントを控えているなら、矯正治療は少なくとも1年前に始めることをおすすめします。
特に、ワイヤー矯正や全体矯正の場合、治療にかかる期間は約1年半から2年が一般的です。
イベント前に間に合わせるためには、少なくとも1年前には相談を開始し、治療計画を立てることが重要です。
一方、部分矯正であれば、治療期間は短く、半年程度で結果が出ることもあります。
どちらの場合も、早めに相談して治療の期間や進行具合を確認し、イベント前に理想の歯並びを手に入れましょう。

部分矯正と全体矯正での
治療計画の違い

部分矯正と全体矯正は、治療の範囲と目的が異なるため、治療計画にも大きな違いがあります。

部分矯正

部分矯正は、歯並びの一部に問題がある場合に適用されます。
通常、前歯など一部の歯を移動させる治療です。
治療期間は短く、約6ヶ月〜1年程度で完了することが多いため、イベントや結婚式に間に合わせたい方にはおすすめです。
部分的な歯の調整を行うため、全体的なバランスには影響が少なく、比較的早期に治療が完了します。

全体矯正

全体矯正は、歯並び全体に問題がある場合に適用され、上顎や下顎、さらに顎の骨の位置も考慮して歯を動かします。
この治療では、約1年半〜2年かかるのが一般的です。
全体的に歯並びを整えるため、治療が進行する中で定期的な調整や治療計画の見直しが必要です。 時間がかかりますが、最終的な仕上がりは非常に精密で、バランスの取れた美しい歯並びになります。

治療計画の違いとしては、部分矯正は短期間で特定の歯を動かすことに焦点を当て、全体矯正は歯全体のバランスを整えることを目的に治療が進められる点です。
自分の希望する仕上がりや時間に合わせて、適切な治療方法を選ぶことが重要です。

結婚式前の歯列矯正は計画的に

結婚式前の歯列矯正

結婚式を控え、素敵な笑顔で迎えたいと考えているなら、歯列矯正は早めに始めることが大切です。
理想的な歯並びを手に入れるためには、最低でも1年前には治療をスタートするのが理想的です。
特に、ワイヤー矯正などの全体矯正は治療に時間がかかるため、余裕を持った計画が必要です。

結婚式前に完璧な状態に仕上げるためには、矯正期間や調整を進捗に合わせて調整し、リテーナー(固定装置)を使う時間も考慮しなければなりません。

もし、短期間で結果を出したい場合は、部分矯正やインビザラインなど、迅速に改善できる方法を選ぶことも一つの方法です。 どの方法を選ぶか、まずはご相談いただき、自分にぴったりの治療プランを一緒に立てていきましょう。

イベント予定日まで時間がない場合の選択肢

部分矯正

部分矯正

部分矯正は、出っ歯や口元の一部に問題がある場合に、特定の歯を集中的に矯正する方法です。
この方法は、歯並び全体に問題がない場合や、上顎や前歯のみを改善したいときに最適です。
治療期間は通常、6ヶ月~1年程度で完了し、全体矯正に比べて非常に短期間で結果を出すことができます。
部分矯正の最大のメリットは、必要な部分だけを効率的に治療できるため、時間もコストも抑えられる点です。

インビザライン(マウスピース矯正)

インビザライン(マウスピース矯正)

目立たずに治療を進めたい方には、インビザライン(マウスピース矯正)が最適です。
インビザラインは、透明なマウスピースを使用して歯を少しずつ動かしていきます。
これにより、周囲に矯正中であることが気づかれにくく、仕事や日常生活でも目立つ心配がありません。
また、インビザラインの大きな魅力は、マウスピースを取り外せる点です。 特に結婚式や大切なイベントの際には、マウスピースを外して口元を見られることなく、自由に笑顔を作ることができます。
さらに、1年以内で改善が見込める場合もあるため、短期間で理想の歯並びを手に入れることが可能です。 自分のペースで治療を進めながら、イベント当日に完璧な状態を迎えることができるので、非常に便利で効果的な方法です。

スピード矯正

スピード矯正

短期間で歯並びを整えたい方には、むらつ歯科クリニックのスピード矯正がおすすめです。
通常のワイヤー矯正よりも治療を早く進めることができ、治療期間が1/3~半分程度短縮されることが多いです。特に、PBMという特殊な機器を使用することで、歯の動きを促進し、治療が加速されます。
これにより、矯正治療が早く終わるだけでなく、骨の再生が良くなり、痛みが軽減されることも期待できます。従来の矯正に比べて快適に治療を進めることができます。 短期間で効果的に歯並びを整えたい方にとって、非常にメリットの多い治療法です。

歯列矯正以外での選択肢

むらつ歯科クリニックでは、歯列矯正以外にも見た目を整える方法として、いくつかの選択肢があります。
イベントまで時間が全くなく、今すぐにでも見た目を改善したいという方は、ラミネートベニアやダイレクトボンディングなどの最短1日で終わる審美治療がおすすめです。 ただし、歯列矯正とは違って骨格的な部分や咬み合わせを改善する治療ではありませんので、その点は予めご注意ください。

ダイレクトボンディング

ダイレクトボンディング

ダイレクトボンディングは、歯の表面に直接樹脂を塗布して、形を整える方法です。
この治療法は、歯の小さな欠けや隙間、歯の先端の摩耗を素早く補修できるため、短期間で美しい歯並びを手に入れたい方に適しています。
樹脂の色は歯に合わせて調整できるため、自然な仕上がりが期待でき、他の歯との調和を取ることができます。治療時間は比較的短く、1回の治療で完了することが多いです。
治療後すぐに食事や会話ができ、日常生活に支障がないため、忙しい方にも最適です。
ただし、樹脂は時間の経過と共に変色や摩耗することがあるため、定期的なメンテナンスが必要となることがあります。

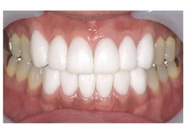
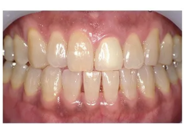
Before After

ラミネートベニア

ラミネートベニアは、歯の表面に薄いセラミックのシェルを貼り付ける治療法で、歯の色や形を劇的に改善できます。
この方法は、歯並びが少し気になる、歯の色が黄ばんでいる、歯に小さな欠けやひびがあるといった場合に特に効果的です。ラミネートベニアは、非常に薄く、自然な歯の色を再現できるため、見た目が非常に美しく仕上がります。
また、歯を削る量が最小限で済むため、歯の健康を保ちながら外観を改善できる点が特徴です。
治療には通常、数回の通院が必要ですが、比較的短期間で劇的に見た目が改善されるため、見た目を重要視する方におすすめです。
さらに、セラミックの強度が高いため、耐久性にも優れています。

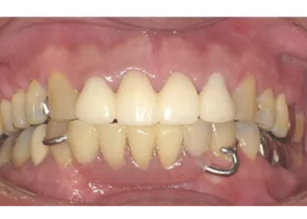
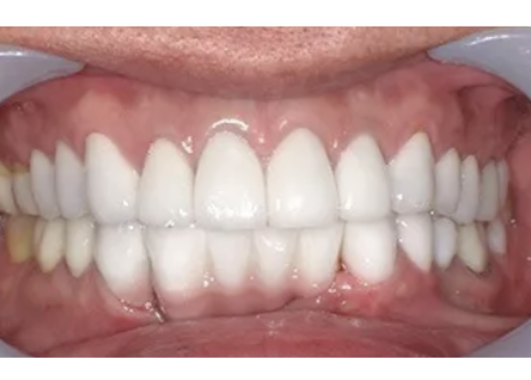
Before After

オールセラミッククラウン

オールセラミッククラウンは、歯の形や色に大きな違いがある場合に使用されるセラミックのかぶせ物です。
特に前歯に適しており、金属を使わずに自然な歯の色を再現できるため、見た目が非常に自然です。 オールセラミックは強度も高く、耐久性にも優れているため、長期間にわたって美しい状態を保つことができます。
治療には歯を削る必要がありますが、その分、非常に精密な形に仕上げることができ、噛み合わせや歯のラインにもしっかりと調和します。 色や形がぴったりとフィットし、見た目を大きく改善するため、特に人前で話す機会が多い方や、笑顔を重視する方におすすめです。
治療には複数回の通院が必要ですが、仕上がりに大きな満足感が得られる方法です。

イベント前は早めのご相談を

結婚式や重要なイベントを控え、笑顔に自信を持ちたい方にとって、矯正治療の開始時期はとても重要です。
理想的な治療法や期間を選べば、イベント前に十分に間に合わせることができます。
どの治療法を選ぶかは、治療の目的や希望する結果に合わせて、専門医と相談しながら決めることが大切です。 治療期間を逆算して早めに相談を始めることで、イベント当日には自信を持って最高の笑顔で臨むことができます。
まずは無料相談から始め、最適な矯正プランを立てましょう。

お電話でのご予約・お問い合わせ

092-476-0808

博多駅」から徒歩3分

監修医情報

むらつ歯科クリニック 副院長

三嶋一平 医師

三嶋一平 医師
略歴
福岡歯科大学付属病院 臨床研修医
福岡歯科大学矯正歯科 入局
医療法人むらつ歯科クリニック 勤務
メッセージ

矯正治療中の患者さんの気持ちに寄り添うことを大切に考えています。
患者さんがより快適に楽しみながら治療を続けられるように、 また自分の身体と向き合いながら、自分の身体を好きになれるようにサポートします。
歯並びとお口の機能が整うと、身体は驚くほど元気になりますよ。