すきっ歯|博多で矯正歯科なら「むらつ歯科クリニック」

すきっ歯

すきっ歯とは?

すきっ歯とは、歯と歯の間、特に前歯の間にすき間があいている歯並びのことをいいます。病気というより「歯の並び方のタイプ」の一つですが、笑ったときや写真に写った自分の口元を見て、「前歯のすき間だけ目立って見える…」と気になりやすい状態です。すき間が大きいと、息がもれてサ行などの発音がしづらかったり、食べ物がはさまりやすくなることもあります。
見た目の印象はもちろん、将来的なむし歯や歯茎のトラブルが心配で「今のうちにきちんと治しておきたい」と感じて相談に来られる方が多いお悩みです。

三嶋先生の「すきっ歯治療」
のポイント

治療のポイントとしては、すきっ歯を「隙間があるから閉じる」という考えではなく、原因を見極めることを何より大切にしています。

歯の大きさや歯列、舌のクセ、筋の位置などを精密に分析し、一人ひとりに合った治療計画を立案。 矯正治療を中心に、必要に応じて補綴治療も組み合わせ、見た目の美しさだけでなく 再発しにくい安定した歯並びを目指しています。

三嶋先生

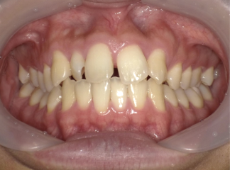
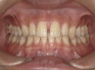
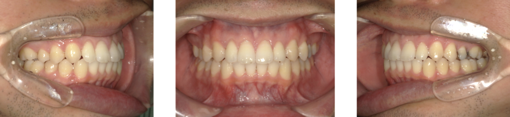
三嶋先生のすきっ歯治療症例

Before Photo

Before

After Photo

After

主訴

上の前歯の隙間が気になる。

治療期間

2年1か月

料金

相談料0円、検査料33,000円、動的矯正治療費990,000円、保定装置料5,500円x2枚(必要枚数)

治療概要

上の前歯に隙間があるため、前歯を後退させながら、隙間を閉じた。
この時、上下の前歯が強く干渉すると再度隙間が空いてくるため、上下前歯の咬合が強くならないように配列した。
矯正での歯の移動のリスクとして歯根吸収、歯肉退縮、歯髄怪死が考えられます。
保定装置の装置を怠ると隙間が生じてくる可能性があります。

こんな症状ありませんか?

見た目で気になる

  • 口を閉じていても、前歯のすき間から少しだけ中が見えることがある
  • 上の前歯どうしの間に、黒く細長いすき間が見える
  • 写真に写ったとき、前歯の白いラインがつながらず「歯列のまん中だけ空いている」ように見える

かみ合わせで気になる

  • 食事中に、前歯のすき間から細かい食べ物が抜けてしまい、噛みにくさや食べづらさを感じる
  • 前歯でものを噛み切ろうとしたときに、うまく力が入らず噛み切りにくい
  • 前歯がしっかり当たらず、奥歯ばかりで噛んでいて片側に負担がかかっている感じがす

すきっ歯になる原因

歯が小さい・顎が広いことが原因のすきっ歯

すきっ歯のよくある原因の1つが、「歯と顎の大きさのバランス」が合っていないケースです。
歯が全体的に小さかったり、反対に顎が広めだったりすると、歯と歯の間に少しずつすき間ができやすくなります。とくに、歯が小さくて顎にゆとりがあるタイプでは、歯がキュッと詰まらず、前歯のすき間が目立ちやすくなってしまいます。
このような場合は、矯正治療で歯並び全体の位置を整えることで、すき間を少しずつ閉じていくことができます。

歯の位置・傾きの問題(歯槽性の空隙)

歯の位置や傾きのバランスがくずれていると、歯と歯の間にすき間ができやすくなります。
たとえば、前歯がねじれて生えていたり、外側・内側に傾いていると、本来はぴったり並ぶはずのスペースにゆとりができ、すきっ歯のように見えてしまいます。このようなタイプのすきっ歯は、矯正治療で1本1本の歯の位置や向きを整えることで、間のすき間を少しずつ閉じていくことができます。
顎全体のバランスも確認しながら、見た目と噛み合わせの両方をきれいに整えていきます。

上唇のすじ・舌のクセ・口呼吸が原因のすきっ歯

上唇の内側にある「すじ(上唇小帯)」が前歯の間近くまで深く入り込んでいると、その部分に力がかかり、前歯の間にすき間ができやすくなります。
また、舌の位置がいつも低かったり、舌で前歯を押してしまうクセ、普段から口で息をする習慣があると、少しずつ前歯が前方へ広がり、すきっ歯の原因になることがあります。
こうしたクセや習慣が続くと、治療してもまたすき間が開いてしまうことがあるため、舌の使い方や口呼吸の改善も一緒に取り組むことが大切です。

生まれつき歯が足りない・被せ物とのバランスが原因のすきっ歯

歯が生まれつき少なかったり(先天欠如)、虫歯などで抜いたままの部分があると、その空いた間を埋めようとして、周りの歯が少しずつ動いてしまうことがあります。その結果、思わぬところにすき間ができて、すきっ歯のような見た目になることがあります。 また、被せ物(クラウン)や入れ歯などの大きさや形が周りの歯と合っていない場合も、歯並びにムリがかかり、歯列にすき間ができやすくなります。こうしたケースでは、矯正治療で歯の位置を整えつつ、必要に応じて被せ物などもきちんと合わせ直すことで、全体のバランスをきれいに整えていくことができます。

すきっ歯は矯正治療で改善できます!

「前歯の間のすき間さえなければ、もっと笑えるのに…」そう感じているすきっ歯も、多くの場合は矯正治療で改善を目指すことができます。
歯と顎の大きさのバランスや、歯の位置・舌や口呼吸のクセなど、原因に合わせて歯の動かし方を丁寧に計画していくことで、少しずつすき間を閉じていくことが可能です。
この章では、すきっ歯を矯正で整える基本的な考え方や、主な治療方法について分かりやすくご紹介していきます。

すきっ歯を矯正治療で整えるしくみ

矯正治療では、ワイヤー矯正やマウスピース矯正を使って、前歯の位置や角度を少しずつ動かし、歯と歯の間のすき間を閉じていきます。
歯は、骨の中で「弱い力をかけ続ける」とゆっくり動く性質があるため、その力を利用して理想的な位置へ誘導していくイメージです。
前歯だけをギュッと寄せるのではなく、奥歯の位置や噛み合わせの高さも一緒に整えることで、見た目と噛みやすさの両方のバランスをとっていきます。すき間が大きい場合は、歯の大きさや顎とのバランスを見ながら、必要に応じて歯の形を少し整えたり、被せ物などの治療を組み合わせることもあります。
すき間がしっかり閉じたあとも、そのままにしておくと元の位置に戻ろうとする力が働くため、リテーナーという保定装置で新しい歯並びをキープします。
こうして「すきっ歯を閉じる→噛み合わせを安定させる→きれいな状態を保つ」という流れで、長く笑顔に自信が持てる口元を目指していきます。

どこまで矯正治療で対応できる?適応の目安と限界

「矯正だけでどこまで治るの?」と気になっている方も多いと思います。
すきっ歯は、歯の位置や噛み合わせが原因のケースなら、矯正治療だけで見た目も噛みやすさも大きく改善できることが少なくありません。一方で、歯の大きさや顎の骨格、被せ物とのバランスなどが大きく影響している場合は、矯正だけでは限界があり、他の治療を組み合わせた方が良いケースもあります。「
矯正で対応しやすいタイプ」と「矯正だけでは難しいケース」の目安についてお話しします。

軽度〜中等度のすきっ歯

前歯の間に少しすき間がある程度の「軽度〜中等度のすきっ歯」は、多くの場合、矯正治療だけで改善を目指しやすいタイプです。
笑ったときに前歯の間が気になるけれど、「歯並び全体が大きくガタガタしているわけではない」というケースもよく見られます。
このようなタイプでは、ワイヤー矯正やマウスピース矯正で前歯の位置や角度を少しずつ整え、歯と歯の間のすき間をゆっくり閉じていきます。奥歯の噛み合わせも一緒に調整することで、見た目だけでなく噛みやすさの面でもバランスの良い状態を目指せます。
「写真に写るときだけどうしても気になる…」というお悩みにも、比較的取り組みやすい治療範囲です。

重度のすきっ歯

前歯の間が大きくあいていたり、何本も歯と歯の間にすき間がある重度のすきっ歯では、矯正だけでぴったり詰めようとすると、かえって歯の形やバランスが不自然になってしまうことがあります。
生まれつき歯の本数が少なかったり、過去の抜歯・被せ物とのバランス、顎の大きさなど、いくつかの要素が重なっていることも少なくありません。
こうしたタイプでは、矯正で歯並びと噛み合わせの土台を整えたうえで、必要に応じて被せ物や詰め物で歯の形を整えるなど、複数の治療を組み合わせて仕上げていくことが大切です。
精密検査の結果を踏まえながら、「どこまでなら無理なくきれいにできるか」を一緒に相談して決めていきます。

矯正治療でどこまで良くできるのか

すきっ歯は、多くの場合は矯正治療でかなり見た目を整えることができますが、「矯正だけでは限界がある」ケースもあります。
例えば、歯がとても小さい・本数が足りない・顎がかなり大きいなど、もともとのバランスが大きく崩れている場合、無理に歯だけを寄せてしまうと、歯の形がいびつに見えたり、噛み合わせに負担がかかってしまうことがあります。
また、歯周病で歯を支える骨が少なくなっている場合も、動かせる量には制限があります。
このようなときは、矯正で「土台」を整えたうえで、被せ物や詰め物で形を調整するなど、他の治療と組み合わせて仕上げていくことが大切です。どこまで矯正で良くできるかは、
お口の状態をしっかり検査したうえで、一人ひとりに合わせて一緒に相談していきます。

原因別で見るすきっ歯の治療方法

一口にすきっ歯といっても、「なぜすき間ができているのか」によって、選ぶべき治療法は少しずつ変わってきます。
ここでは、主な原因ごとに、どんな治療の組み立て方をするのかを分かりやすくまとめます。

歯が小さい・顎が広いことが原因のすきっ歯

歯が小さい・顎が広いタイプでは、まず矯正治療で前歯を中心に歯並び全体をぎゅっとまとめ、すき間をできるだけ減らしていきます。
それでもほんの少しすき間やバランスの差が残る場合は、歯の表面にレジン(白い詰め物)を少し足したり、見える部分だけラミネートベニアなどで歯の大きさを整えることもあります。

歯の位置・傾きの問題が原因のすきっ歯

前歯の位置や傾きがズレていることがメインの原因なら、矯正治療が基本です。
ワイヤー矯正やマウスピース矯正で、歯の向きや位置を少しずつ整え、前歯の間のすき間を閉じていきます。顎の骨格に大きな問題がなければ、矯正単独で見た目も噛み合わせもきれいに整えられることが多いタイプです。

上唇のすじ・舌のクセ・口呼吸が原因のすきっ歯

上唇のすじ(上唇小帯)が前歯の間近くまで入り込んでいる場合は、必要に応じてそのすじを短くする処置を行い、そのうえで矯正で前歯のすき間を閉じていきます。
舌で歯を押すクセや口呼吸がある方は、矯正だけだと元に戻りやすいため、舌のトレーニング(MFT)や鼻呼吸の練習もセットで行うことが大切です。「歯を動かす治療」と「クセを直すトレーニング」を両方行うイメージです。

生まれつき歯が足りない・被せ物とのバランスが原因のすきっ歯

先天的に歯が足りない、過去に抜いたままの部分がある、被せ物の大きさが合っていない──といった場合は、矯正と補綴治療(被せ物・ブリッジ・インプラントなど)を組み合わせます。 まず矯正で「どの位置にどれくらいのスペースをつくるか」を計画し、歯並びと噛み合わせの土台を整えます。そのうえで、必要なところに被せ物や詰め物を入れて、歯の本数・形・大きさのバランスを仕上げていく流れになります。

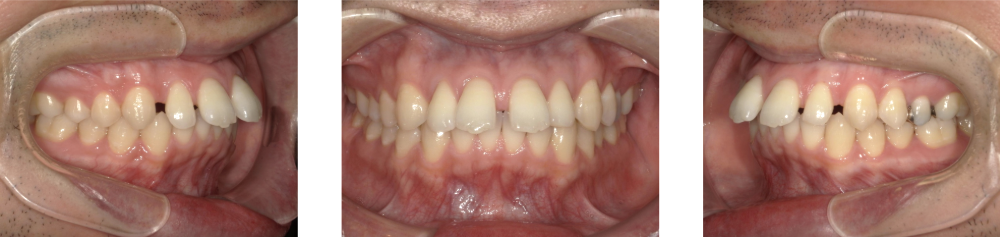
程度別で見るすきっ歯の治療方法

すきっ歯は、すき間の大きさや本数によって「軽度・中等度・重度」に分けて考えると、治療の方針がイメージしやすくなります。

               軽度すきっ歯症例画像

軽度(目安:前歯のすき間が1〜2mm程度/1〜2か所)

見た目が少し気になるレベルで、噛み合わせに大きな問題がない状態です。ワイヤー矯正やマウスピース矯正で前歯の位置・角度を整え、すき間をゆっくり閉じていく治療が中心になります。

               中等度すきっ歯症例画像

中等度(目安:2〜4mm程度のすき間/複数の歯の間にすき間がある)

笑ったときや写真で、はっきりすき間が分かる状態です。矯正治療で前歯・奥歯の位置や噛み合わせをセットで整えることが多く、必要に応じて歯の形を少し整えたり、アタッチメントやゴムなども併用しながら治療していきます。

重度すきっ歯症例画像

重度(目安:4mm以上の大きなすき間/何本も歯の間にすき間がある・歯の本数不足や顎とのアンバランスを伴う)

すき間が大きく、歯の本数不足や顎の大きさの差など、いくつかの要素が重なっているケースです。矯正で歯並びと噛み合わせの土台を整えたうえで、被せ物・詰め物などの補綴治療を組み合わせて、歯の形や大きさも一緒に整えていく長期的なプランが必要になることがあります。

ワイヤー矯正で行うすきっ歯の治療

前歯の間のすき間をしっかり閉じたい方には、ワイヤー矯正による治療が大きな味方になります。細いワイヤーとブラケットを使って、前歯だけでなく奥歯や噛み合わせも含めて少しずつ動かしていけるのが特徴です。
この章では、「どんなすきっ歯に向いているか」「治療の進み方」「インビザラインとの違い」など、気になるポイントを分かりやすくご紹介します。

ワイヤー矯正が向いているケース

ワイヤー矯正がおすすめになるのは、前歯の間だけでなく、何本かの歯の間にすき間があるすきっ歯や、すきっ歯とデコボコした歯並びが同時にある場合です。
細いワイヤーで1本1本の歯をしっかりつかまえられるので、「すき間を閉じる+歯並び全体を整える」ことを同時に進めやすくなります。
また、前歯が前に出ている・噛み合わせが深い・左右のバランスが気になるといったお悩みがあるときも、ワイヤー矯正が向いていることが多いです。奥歯を含めた噛み合わせ全体をコントロールしやすいため、「見た目だけでなく、しっかり噛めるように整えたい」「あと戻りしにくい安定した歯並びにしたい」という方におすすめの治療方法です。

治療の流れと期間

ワイヤー矯正でのすきっ歯治療は、まずカウンセリングとレントゲン・写真・歯型などの精密検査からスタートします。
その結果をもとに治療計画を立て、装置を装着したら、月に1回くらいのペースで通院しながらワイヤーの調整を行っていきます。軽いすきっ歯であれば、治療期間の目安はおよそ6ヶ月〜1年ほどです。
食事の際は硬いもの・粘着質なものを控えめにし、装置のまわりまで丁寧にブラッシングしていただくことが大切です。ワイヤーが外れたあとは、そのままだと歯が元の位置に戻ろうとするため、リテーナー(保定装置)を使って、新しく整えた歯並びをしっかりキープしていきます。

ワイヤー矯正についてはこちら

すきっ歯をインビザラインで治療

「すきっ歯は気になるけど、ワイヤーが目立つのは避けたい…」という方には、透明なマウスピースで行うインビザライン矯正という選択肢があります。装置が目立ちにくく、お仕事中やプライベートでも周りに気づかれにくいのが大きな魅力です。前歯の間のすき間を少しずつ閉じながら、噛み合わせも一緒に整えていくことができるため、「見た目も機能もきちんと整えたい」という方にピッタリな治療法です。

インビザラインが向いているケース

インビザラインが特におすすめなのは、軽度〜中等度のすきっ歯で、前歯の間にすき間があるものの、歯並びのガタつきや顎の骨格に大きな問題がないケースです。
たとえば「前歯の間が2〜3mmほどあいている」「何本かの歯の間にすき間はあるけれど、全体の並びはそこまで乱れていない」といった状態がイメージしやすいと思います。
また、仕事柄人と会う機会が多く、「できるだけ装置を目立たせたくない」「食事中は外しておきたい」という方にも向いています。一方で、すき間がとても大きい場合や、歯の本数不足・顎のアンバランスが大きい場合は、ワイヤー矯正や他の治療との併用を検討した方がよいこともあります。

注意が必要なケース

インビザラインは、軽度〜中等度のすきっ歯にはとても良い方法ですが、どんなケースにも向いているわけではありません。

前歯の間が大きくあいている、何本も歯が足りない、生まれつき歯がとても小さい、顎の骨格のバランスが大きく崩れている…といった場合は、インビザラインだけでは十分な改善が難しいことがあります。
また、歯周病で歯を支える骨が痩せている方や、1日20〜22時間の装着がどうしても守れない生活スタイルの方も注意が必要です。こうしたケースでは、ワイヤー矯正や被せ物などほかの治療を組み合わせたほうが安心な場合もあるため、まずはお口全体をしっかり検査したうえで、最適な方法を一緒に相談していくことが大切です。

インビザライン矯正についてはこちら

補綴・審美治療との連携で仕上げる治療法

すきっ歯の原因が「歯がとても小さい」「生まれつき歯の本数が足りない」「大きな間があいている」といった場合、矯正だけで詰めてしまうと、歯の形やバランスが不自然になることがあります。

そのようなときは、

矯正治療で歯並びと噛み合わせの土台を整える

そのうえで、ラミネートベニアや白い被せ物、レジンで歯の大きさ・形・色を整える

 

といった流れで、「動かして整える治療」と「形をきれいに仕上げる治療」を組み合わせていきます。見た目だけでなく、長く安定した噛み合わせを目指したい方に向いている方法です。

口元がきれいな女性

よくある質問(FAQ)

すきっ歯は自力で治せますか?

輪ゴムで締めるなどの自己流では歯や歯ぐきを傷めてしまうリスクがあるため、自力で治すのではなく歯科で原因に合った治療を受けることをおすすめします。

すきっ歯の矯正にはどのくらい期間がかかりますか?

すき間の大きさや本数にもよりますが、軽度なら半年〜1年ほど、中等度〜重度では1〜2年程度かけて少しずつ歯を動かしていくのが一般的です。

矯正してもまたすきっ歯に戻ることはありますか?

舌で前歯を押すクセや口呼吸などが残っていると戻る可能性はありますが、リテーナーによる保定やクセの改善をあわせて行うことで、あと戻りのリスクを減らすことができます。

料金表

矯正メニュー料金(税込)

スピード矯正インビザライン 1,056,000円(税込)
インビザライン部分矯正 550,000円(税込)
インビザライン全額矯正 880,000円(税込)
マルチブラケット(ワイヤー矯正) 基本施術料 946,000円(税込)
小児矯正(プレオルソ) 基本施術料 550,000円(税込)
処置管理料(各治療費とは別途) 110,000円(税込)

お支払方法

「治療費」支払いシミュレーション

インビザライン(スピード矯正)

インビザライン(スピード矯正)

デンタルローン活用で (税込)

9,302円〜


治療費の総額 1,056,000円

※利率・回数は院内案内に準じます(例:実質年率5.8%・165回想定)

マルチブラケット(ワイヤー矯正)

マルチブラケット(ワイヤー矯正)

デンタルローン活用で (税込)

8,337円〜


治療費の総額 946,000円

※利率・回数は院内案内に準じます(例:実質年率5.8%・165回想定)

監修医情報

むらつ歯科クリニック 副院長

三嶋一平 医師

三嶋一平 医師
略歴
福岡歯科大学付属病院 臨床研修医
福岡歯科大学矯正歯科 入局
医療法人むらつ歯科クリニック 勤務
メッセージ

矯正治療中の患者さんの気持ちに寄り添うことを大切に考えています。
患者さんがより快適に楽しみながら治療を続けられるように、 また自分の身体と向き合いながら、自分の身体を好きになれるようにサポートします。
歯並びとお口の機能が整うと、身体は驚くほど元気になりますよ。