ガミースマイル|博多で矯正歯科なら「むらつ歯科クリニック」

ガミースマイル

ガミースマイルとは?

ガミースマイルとは、笑ったときに上の歯茎が大きく見える口元のことをいいます。
病名ではなく“笑ったときの見え方”の一つですが、写真に写った自分の笑顔を見て「歯茎が出すぎているかも…」と気になりやすい状態です。
見た目のコンプレックスだけでなく、「このままで歯や噛み合わせに影響はないかな?」と将来のことまで心配になる方も少なくありません。

ガミースマイルの診断基準

笑ったときに上の歯がだいたい3〜4mm以上見えていると、一般的にはガミースマイルと診断されることが多く、「歯ぐきが目立って口元のバランスが崩れているか」「ご本人がコンプレックスとして気になっているか」といった点も含めて、見た目と気持ちの両方から総合的に判断していきます。

三嶋先生の「ガミースマイル治療」
のポイント

治療のポイントとしては、ガミースマイルを「歯ぐきが見える見た目の問題」としてではなく、 歯・歯ぐき・あご・唇の動きまで含めたバランスの問題として考えています。

精密検査で原因を丁寧に見極め、矯正治療を中心に、 歯肉整形や表情筋へのアプローチなどを必要に応じて組み合わせます。 無理に隠すのではなく、自然で調和のとれた口元を目指し、 一人ひとりに合った治療をご提案しています。

三嶋先生

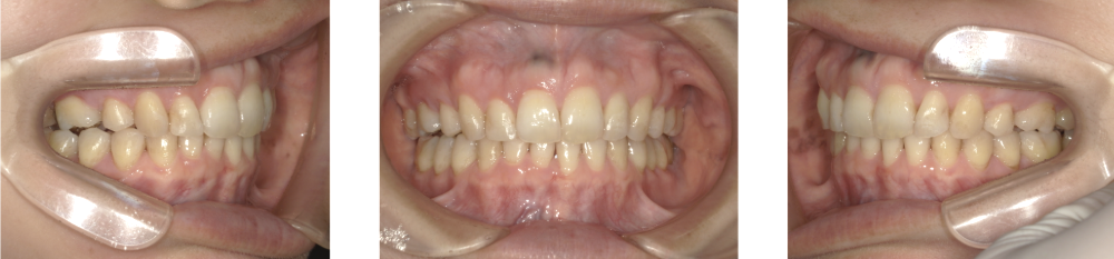
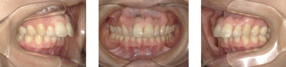
三嶋先生のガミースマイル治療症例

Before Photo

Before

After Photo

After

主訴

出っ歯が気になる。

治療期間

3年5か月

料金

相談料0円、検査料33,000円、動的矯正治療費990,000円、保定装置料5,500円x5枚(必要枚数)

治療概要

出っ歯の原因が下顎の位置が後方に偏位していることと上の前歯が突出していることであった。
治療方針としては下顎の前方誘導及び、上顎小臼歯を抜歯して上顎前歯を後退させた。
矯正での歯の移動のリスクとして歯根吸収、歯肉退縮、歯髄怪死が考えられます。
保定装置の装置を怠ると隙間が生じてくる可能性があります。

こんな症状ありませんか?

見た目で気になる

  • 笑ったときに、上の歯茎が歯の長さよりもしっかり見えてしまう
  • 前歯が実際よりも「短く・小さく」見え、幼い印象になってしまう
  • 笑うと上唇がグッとめくれ上がり、歯茎まで一気に露出する

かみ合わせで気になる

  • 上下の前歯ばかり強く当たり、奥歯がしっかり噛み合っていない感じがする
  • 噛む時に前歯に力が集中し、前歯がしみる・すり減る・欠けやすいと感じる
  • 食事のときにうまく噛み切れず、片側だけで噛むクセが出ている

ガミースマイルの原因

筋肉の過剰な働きによるガミースマイル

笑ったときに上の歯茎がよく見えてしまうのは、唇を引き上げる筋肉が強く働きすぎていることが一つの原因です。
本来なら、上唇がほどよく歯茎を隠してくれるのですが、この筋肉がキュッと上に引っ張りすぎてしまうことで、歯茎まで大きく露出してしまいます。
さらに、もともと上唇が薄かったり短めだったりすると、隠せる歯茎の量が少なく、ガミースマイルが目立ちやすくなってしまいます。

骨格のバランスによるガミースマイル

歯そのものの長さや、生え方が影響してガミースマイルになっているケースもあります。
本来より歯が短かったり、少し低い位置に生えていると、笑ったときに歯より歯茎の方が目立ちやすくなってしまいます。
また、歯茎がふくらんだように増えている「歯肉の過形成」があると、歯の白い部分が隠れてしまい、さらに歯茎が強調された印象の笑い方になってしまいます。

ガミースマイルは矯正治療で改善できます!

ガミースマイルは、笑ったときに歯茎が大きく見えてしまうことで、「笑顔に自信が持てない」「写真で思いきり笑えない」といったお悩みにつながりやすい状態です。原因は、歯並びや咬み合わせ、上顎の位置、唇や筋肉の動きなどさまざまですが、矯正治療で歯やそれを支える骨の位置を整えていくことで、歯茎の見え方をやわらげることが期待できます。当院では、レントゲン撮影や写真撮影、咬み合わせのチェックを行い、あなたのガミースマイルのタイプを整理したうえで、ライフスタイルやご希望に合わせた治療方法をご提案します。

ガミースマイルを矯正治療で整えるしくみ

ガミースマイルを矯正治療で改善していくときは、「歯の位置」と「咬み合わせの高さ」、そして「笑ったときにどう見えるか」のバランスを整えることが大切です。ワイヤー矯正やマウスピース型矯正装置を使って、歯と歯を支える骨にやさしい力をかけ続けることで、少しずつ理想的な位置へと動かしていきます。その結果、歯並びや咬み合わせだけでなく、笑ったときの歯茎の見え方も自然に近づけていくことができます。

どこまで矯正治療で対応できる?適応の目安と限界

「矯正だけでどこまでガミースマイルって良くなるんだろう?」と気になっている方も多いと思います。ガミースマイルは、歯の位置や咬み合わせがメインの原因なら、矯正治療で見た目が大きく変わるケースも少なくありません。一方で、上顎の骨格や唇の動きが大きく影響している場合は、外科的な処置や他の治療を組み合わせた方がいいこともあります。この章では、「矯正で改善しやすいタイプ」と「矯正だけでは難しいケース」の目安について、分かりやすくお伝えします。

軽度〜中等度のガミースマイル

笑ったときに歯茎が少し多めに見える「軽度〜中等度」のガミースマイルは、矯正治療だけで改善を目指しやすいタイプです。歯並びや咬み合わせのバランスが主な原因になっていることが多く、前歯の位置や角度を整えることで、見える歯茎の量を少しずつ減らしていくことが期待できます。 ワイヤー矯正やマウスピース矯正を使いながら、「横顔のライン」や「笑ったときの口元の印象」も確認しつつ調整していくことで、自然な笑顔に近づけていくことができます。大がかりな手術までは考えていない方や、「まずは矯正でできる範囲から試したい」という方に向いている治療の選択肢です。

重度のガミースマイル

笑ったときに歯茎が大きく露出してしまう重度のガミースマイルでは、矯正治療だけでの改善に限界がある場合もあります。上顎の骨格のバランスや、唇の動きそのものが大きく影響していることが多く、前歯の位置を整えるだけでは、見た目の変化が物足りなく感じてしまうケースも少なくありません。 このようなタイプでは、矯正治療に加えて、外科的な処置やボツリヌス治療などを組み合わせることで、口元全体のバランスをしっかり整えていくことを検討します。「どこまで矯正でできるのか」「手術が必要なレベルなのか」は、精密検査を行ったうえで一緒に相談しながら決めていくことが大切です。

矯正治療でどこまで良くできるのか

ガミースマイルの治療は、「とにかく歯茎を見えなくすればいい」というものではありません。歯茎だけを引っ込めようとしすぎると、咬み合わせが不自然になったり、横顔や口元のバランスが崩れてしまうこともあります。 そのため、「矯正だけでどこまで整えられるのか」「外科的な治療を組み合わせた方が、より理想に近づけるのか」などを含めて、口元全体のバランスを見ながらゴールを決めていくことが大切です。 当院では、レントゲンや写真、咬み合わせの検査結果をもとに、矯正だけで目指せるラインと、他の治療を組み合わせた場合の違いをできるだけイメージしやすくお伝えします。「自分のガミースマイルは矯正でどこまで良くなるの?」と気になっている方は、今のお口の状態と考えられる選択肢を一緒に整理していきましょう。

原因別で見るガミースマイルの治療方法

ガミースマイルといっても、原因は「歯の位置」「歯茎や歯の形」「顎の骨格」「唇や筋肉の動き」など人によってさまざまです。
そのため、同じように歯茎が見えていても、合う治療方法は少しずつ変わってきます。主な原因ごとに、どんな選択肢があるのかを分かりやすくご紹介していきます。

歯の位置・歯茎の形が主な原因の場合

「歯が少し下に伸びすぎている」「歯茎のラインが下がって見える」「差し歯だけ短く見える」といったように、歯や歯茎まわりのバランスが中心になっているタイプのガミースマイルです。

このような場合は、

  • 矯正装置で前歯や奥歯を少しずつ歯茎側へ動かして、高さのバランスを整える
  • 必要に応じてアンカースクリューを使い、前歯の位置をピンポイントでコントロールする
  • 歯茎の形を整える処置を組み合わせて、歯の長さと歯茎の見え方をそろえる

といった方法で、笑ったときに見える歯茎の量を少しずつ減らしていきます。
歯と歯茎の位置が主な原因のケースでは、矯正治療を中心にしたプランで改善を目指せることが多いです。

顎の骨格の影響が強い場合

横から見たときに、上顎全体が下・前方向に長く見えたり、上唇から鼻の下までの距離が長く感じられる場合は、上顎の骨が少し大きく成長しているタイプ(骨格性ガミースマイル)が関わっていることがあります。

成長期のお子さまでは、

  • 上顎の成長方向をコントロールする装置を使う
  • 咬み合わせの高さを調整する矯正治療を行う

これらで将来のガミースマイルをやわらげることを目指すことがあります。

一方、大人の方で骨格の影響が大きい場合は、

  • 矯正装置で歯並びや咬み合わせを整える
  • 必要に応じて、上顎の位置そのものを整える外科的矯正を組み合わせる

など、骨格まで含めた計画を検討していきます。
骨格性のガミースマイルは、歯だけを無理に動かしてしまうと、仕上がりや長期的な安定性に影響することがあるため、丁寧な診断がとても大切です。

歯・骨格・筋肉が重なっている場合(混合型)

実際には、「歯の位置や歯茎の形」・「上顎の骨格バランス」・「上唇を引き上げる筋肉の動きや笑いかたの癖」など、いくつかの原因が重なってガミースマイルになっている「混合型」の方も少なくありません。

このタイプでは、

  • 矯正治療で歯並びや咬み合わせ、歯の位置を整える
  • 骨格の影響が大きい場合は、外科的矯正も選択肢として考える
  • 必要に応じて、上唇の動きや表情のクセなど“動き”の部分にもアプローチする

といったように、いくつかの要素をトータルで整えていくことが大切になります。
当院では、検査結果をもとに、「歯・骨格・筋肉のどこが、どのくらいガミースマイルに関わっているのか」「矯正だけで目指せるゴール」「ほかの治療を組み合わせた場合に目指せるゴール」を整理しながら、あなたにとって無理のない、現実的な治療プランを一緒に考えていきます。

程度別で見るガミースマイルの治療方法

ガミースマイルといっても、歯茎の見え方には「ちょっと気になる程度」から「大きく露出してしまう状態」までさまざまな段階があります。
気づいたばかりの軽い状態と、昔からずっと悩んでいる重めの状態では、向いている治療方法も変わってきます。
ガミースマイルの“程度別”に、どんな治療の選択肢があるのかを分かりやすくご紹介していきます。

ガミースマイル軽度症例画像

軽度(歯茎が1〜3mm程度見える)方の場合

笑ったときに歯茎は見えるものの、「言われなければわからないかな」「自分だけが気になるレベル」という状態が、いわゆる軽度のガミースマイルです。
正面から見たときに、歯と歯茎のバランスが大きく崩れていないケースが多くみられます。
この程度であれば、矯正治療で前歯や奥歯の位置・傾きを少し整えたり、必要に応じて歯茎のラインをほんの少しだけ整えることで、自然な笑い方に近づけていけることが少なくありません。
歯を大きく動かす必要がない分、治療計画も立てやすいタイプといえます。

ガミースマイル中等度症例画像

中等度(歯茎が3〜5mm程度見える)方の場合

笑ったときの写真を見ると歯茎がはっきり写っていたり、人前で笑うときに「口元が気になる…」と意識し始めている状態が、中等度のガミースマイルのイメージです。

このレベルになると、

  • 矯正治療で前歯の位置を少し歯茎側へ下げる
  • 咬み合わせの高さやバランスを整える
  • 歯茎のラインや歯の長さのバランスも一緒にととのえるる

といったように、「歯の位置・咬み合わせ・歯茎の見え方」をセットで考えた治療が必要になります。 場合によっては、アンカースクリューを使って前歯の動きをより細かくコントロールすることもあります。治療期間の目安は歯並びにもよりますが、1年〜1年半ほどかけて、少しずつ丁寧に整えていくことが多いです。

ガミースマイル重度症例画像

重度(歯茎が5mm以上見える)方の場合

笑うと歯茎が大きく見えてしまったり、「歯より歯茎のほうが目立っている気がする」という状態が重度のガミースマイルです。
横顔で見ても、上顎や口元が前方・下方に強く出て見えることがあります。

このような場合は、

  • 矯正治療で歯並びと咬み合わせを整えながら、前歯・奥歯の位置をしっかりコントロールする
  • 上顎の骨格の影響が大きいときは、外科的矯正など骨格へのアプローチも視野に入れる
  • 歯茎のラインや唇の動きも含めて、口元全体のバランスを設計する

といったように、複数の方法を組み合わせた、少し長期的なプランになることがあります。
治療期間の目安も1年半〜2年ほどと長めになることが多いですが、その分、笑ったときの印象・噛みやすさ・将来的な安定性までトータルで整えていくことを大切にしています。

ワイヤー矯正で行うガミースマイル治療

ガミースマイルをしっかり整えたい方には、ワイヤー矯正による治療も大切な選択肢の一つです。歯の位置や咬み合わせを細かくコントロールできるため、歯茎の見え方だけでなく、横顔やスマイルラインまでトータルで整えやすい方法です。ワイヤー矯正で行うガミースマイル治療の特徴や、知っておきたいポイントについてご紹介します。

ワイヤー矯正が向いているケース

ワイヤー矯正は、歯や歯茎まわりのバランスが原因になっているガミースマイルに、とても相性の良い治療方法です。たとえば、前歯が前に出ている・歯並びがデコボコしているといった場合、ワイヤーで少しずつ歯の位置を後ろ側・内側に動かすことで、前歯の出っ張りをおさえ、笑ったときの歯茎の見え方をやわらげていくことができます。 また、噛んだときに上の前歯が下の歯を深く覆ってしまう「深い咬み合わせ」がガミースマイルに影響していることもあります。この場合も、ワイヤー矯正で咬み合わせの高さやバランスを整えることで、自然な範囲に近づけていくことが可能です。 歯列全体の調整が必要なケースでも、ワイヤー矯正は一本一本の歯の動きを細かくコントロールしやすいため、「歯並びもガミースマイルもまとめて整えたい」という方に向いている治療法といえます。

TAD(アンカースクリュー)を用いた治療

当院では、TAD(アンカースクリュー)という小さなネジを使うことがあります。これは、歯茎の中の骨にごく小さなチタン製のネジを一時的に固定し、そのネジを支えにして歯を動かしていく方法です。 アンカースクリューを使うと、前歯や奥歯を「ここまで動かしたい」という位置に、より正確にコントロールしやすくなります。とくに、笑ったときに見えすぎている前歯を少し歯茎側へ沈めたい(圧下したい)場合などに、とても力を発揮してくれる治療法です。

治療の流れと期間

ワイヤー矯正でガミースマイルを整える場合、治療期間の目安はおおよそ1年半〜2年ほどです(状態によって前後します)。基本的には月に1回くらいのペースで通院していただき、その都度ワイヤーの調整を行いながら、少しずつ歯の動きをチェックしていきます。 ワイヤー矯正は、歯の位置や角度を細かくコントロールする治療なので、事前の検査結果をもとにした綿密な計画が大切です。治療中は、歯や歯茎の健康を守りながら、時間をかけて理想的な位置へと歯を動かしていきます。ワイヤーが外れたあとも、きれいになった歯並びをキープするために「保定」と呼ばれる期間が必要で、リテーナーという装置を使いながら、定期的にチェックしていきます。

ワイヤー矯正についてはこちら

インビザラインで行うガミースマイル治療

「矯正はしたいけれど、目立つ装置はちょっと…」という方には、透明なマウスピースで行うインビザラインによるガミースマイル治療も選択肢の一つです。歯並びや咬み合わせを少しずつ整えながら、笑ったときの歯茎の見え方も一緒にコントロールしていけるのが特徴です。インビザラインでガミースマイルを整える際のポイントや向いているケースについてご紹介します。

インビザラインが向いているケース

インビザラインは、歯や歯茎まわりが主な原因になっているガミースマイルに向いている治療法です。とくに、前歯が少し前に出ていることや、前歯の位置・角度のバランスによって歯茎が見えやすくなっている「軽度〜中等度」の方に相性が良いと言われています。前歯の向きや位置を少しずつ調整していくことで、笑ったときに見える歯茎の量を抑え、口元の印象をやわらかくしていくことができます。 インビザラインは、透明なマウスピースを交換しながら、歯の位置や角度を少しずつ動かしていく治療です。とくに、前歯をほんの少し歯茎方向に沈めて(侵入させて)整えたいケースで、自然な笑顔づくりに役立ちます。

IPR・アタッチメント・エラスティック/TAD併用の可否

インビザライン治療においては、必要に応じてIPR(歯間削合)を行うことで、歯の間にスペースを作り、歯の移動を容易にすることができます。また、アタッチメント(小さな突起)を歯に装着することで、歯の移動をより精密にコントロールすることが可能です。 場合によっては、エラスティック(ゴム)や**TAD(アンカースクリュー)**を併用して、より効率的に歯の移動を進めることもあります。特に、前歯の圧下や後方移動が必要な場合にTADが活用されます。

注意が必要なケース

インビザラインは、歯や歯茎まわりが原因になっているガミースマイルにはとても良い方法ですが、顎の骨格そのものに大きな問題がある場合は、どうしても効果に限界が出てしまうことがあります。たとえば、上顎の骨が縦方向に大きく成長していたり、骨格のバランスが大きく崩れているタイプでは、インビザラインだけで理想の口元まで整えるのが難しいこともあります。 そのようなケースでは、インビザライン単独ではなく、ワイヤー矯正や外科的な治療を組み合わせていくほうが、仕上がりや安定性の面で安心できる場合があります。どこまでマウスピースで対応できるのか、どこからほかの治療が必要になりそうかは、検査結果をもとにきちんと見極めていくことが大切です。

治療期間の目安と装着条件

インビザラインでガミースマイルを整える場合、治療期間の目安はおおよそ1年〜1年半くらいです(歯並びの状態によって前後します)。マウスピースは、1日20〜22時間の装着が基本ルール。食事と歯みがきの時間以外は、できるだけお口の中に入れておくことで、計画通りに歯が動いてくれます。 マウスピースは、だいたい2週間に1回のペースで新しいものに交換します。少しずつ形の違うマウスピースに替えていくことで、歯が段階的に動き、ガミースマイルの改善へと近づいていきます。

インビザライン矯正についてはこちら

料金表

矯正メニュー料金(税込)

スピード矯正インビザライン 1,056,000円(税込)
インビザライン部分矯正 550,000円(税込)
インビザライン全額矯正 880,000円(税込)
マルチブラケット(ワイヤー矯正) 基本施術料 946,000円(税込)
小児矯正(プレオルソ) 基本施術料 550,000円(税込)
処置管理料(各治療費とは別途) 110,000円(税込)

お支払方法

「治療費」支払いシミュレーション

インビザライン(スピード矯正)

インビザライン(スピード矯正)

デンタルローン活用で (税込)

9,302円〜


治療費の総額 1,056,000円

※利率・回数は院内案内に準じます(例:実質年率5.8%・165回想定)

マルチブラケット(ワイヤー矯正)

マルチブラケット(ワイヤー矯正)

デンタルローン活用で (税込)

8,337円〜


治療費の総額 946,000円

※利率・回数は院内案内に準じます(例:実質年率5.8%・165回想定)

監修医情報

むらつ歯科クリニック 副院長

三嶋一平 医師

三嶋一平 医師
略歴
福岡歯科大学付属病院 臨床研修医
福岡歯科大学矯正歯科 入局
医療法人むらつ歯科クリニック 勤務
メッセージ

矯正治療中の患者さんの気持ちに寄り添うことを大切に考えています。
患者さんがより快適に楽しみながら治療を続けられるように、 また自分の身体と向き合いながら、自分の身体を好きになれるようにサポートします。
歯並びとお口の機能が整うと、身体は驚くほど元気になりますよ。