インビザライン|博多で矯正歯科なら「むらつ歯科クリニック」

インビザライン矯正は、透明なマウスピースを使って少しずつ歯を動かしていく矯正方法です。
金属のワイヤーは使わず、薄いプラスチック製のマウスピースを1〜2週間ごとに交換しながら、理想の歯並びに近づけていきます。装置はほとんど透明なので、営業・接客など人前に出るお仕事の方でも気づかれにくいのが大きなポイントです。
食事や歯みがきのときは自分で取り外せるため、普段どおりに食事を楽しみたい方や、口元の清潔感を大切にしたい方にも選ばれています。
「見た目」と「通いやすさ」を両立しやすい矯正とイメージしていただくとわかりやすいと思います。
博多で歯並びが気になっている方はむらつ歯科クリニックまでご相談ください。

博多で当院のインビザラインが
選ばれる理由

ダイヤモンドプロバイダーの資格を持つドクターが在籍

ダイヤモンドプロバイダー

博多でインビザラインを検討されている方にとって、「どんな先生に任せるか」はとても大事なポイントですよね。
むらつ歯科クリニックには、インビザラインの実績に応じて認定される「ダイヤモンドプロバイダー」の資格を持つドクターが在籍しています。
全国でもごく一部の歯科医師しか届かないランクで、多くの症例を経験している証でもあります。
「自分の歯並びでも本当にきれいになるのかな…」「難しいケースと言われたことがある」といった不安がある方も、これまでの豊富な治療経験をもとに、一人ひとりに合ったインビザラインの計画を一緒に考えていきます。

1700症例以上を手掛ける
経験・実績ともに豊富なドクターによる治療

1700症例以上を手掛ける経験・実績ともに豊富なドクターによる治療

「せっかくやるなら、経験豊富な先生にお願いしたい」そんな方にも、むらつ歯科クリニックは安心して通っていただける環境です。
矯正担当医はワイヤー、インビザラインでの症例をこれまで23年の臨床経験で1700症例以上を担当しており、症例数は博多でもトップクラス。
軽いガタつきだけでなく、他院で「難しいかも」と言われたケースにも多く対応してきました。
これまでの豊富な経験とデータを踏まえ、あなたの歯並びやライフスタイルに合った、現実的で無理のない治療計画をご提案します。

全身の健康を整えるインビザライン矯正

全身の健康を整えるインビザライン矯正

むらつ歯科クリニックのインビザラインでは、見た目だけでなく全身の健康を見据えたアプローチを大切にしています。
かみ合わせが乱れていると、噛む筋肉や首・肩の筋肉に負担がかかり、肩こり・頭痛・姿勢のゆがみなどにつながることがあります。
インビザラインで歯並びとかみ合わせを整えることで、こうした全身のバランスが安定しやすくなり、「よく噛める・疲れにくい」状態を目指せます。 単なる“歯列矯正”ではなく、毎日のコンディションを底上げする治療として、一緒に整えていきましょう。

なるべく天然歯を残す矯正治療

天然歯を残す

「矯正したいけれど、できれば自分の歯は残したい…」という方は多いと思います。
むらつ歯科クリニックでは、健康な歯をできるだけ削らず・抜かずに済むように、まずは保存を前提とした治療計画を立てます。
難しいケースでも、レントゲンや模型、シミュレーションを使って「本当に抜歯が必要か」「残した場合のリスクはどうか」を多角的にチェックし、後戻りのしにくさまで含めて検討します。
そのうえで、抜歯・非抜歯それぞれのメリット・デメリットをわかりやすくお伝えし、将来にわたって安定しやすい方法を一緒に選んでいくスタンスです。 「できるだけ自分の歯を守りながら、きれいな歯並びを目指したい」という方は、ぜひ一度ご相談ください。

ドクターによる無料相談の実施

無料相談

「まずは話だけ聞いてみたい」という段階でも、むらつ歯科クリニックではドクターによる無料相談を行っています。
最初のカウンセリングから、コンサルタントやスタッフ任せにせず、実際にインビザライン治療を担当する歯科医師が直接お話をうかがいます。
お口の中を確認しながら、歯並びや噛み合わせ、生活スタイル、ご予算まで踏まえて「できること・できないこと」を正直にお伝えしますので、不安や疑問をその場でどんどん聞いてください。 無理な勧誘はありませんので、博多でインビザラインを検討し始めたタイミングで、気軽にご相談いただければと思います。

月額7,461円〜デンタルローンで経済的な負担を緩和

デンタルローンで経済的な負担を緩和

インビザラインは一度に支払う金額が大きくなりやすいからこそ、当院ではデンタルローンもご用意しています。 治療費を分割して月々の支払いにできるので、「今まとまったお金は用意しづらい…」という方でも無理のない範囲で矯正をスタートしやすくなります。 回数や月々の金額は、ご予算に合わせて一緒にご相談いただけます。

むらつ歯科クリニックの

インビザラインはここが違う

特長 1

スピード矯正で治療期間を短縮

光加速装置(PBM)のイメージ

スピード矯正とは、できるだけ早く矯正を終わらせるための治療方法です。従来の矯正治療は2年程度かかることが多いですが、スピード矯正では6ヶ月〜1年ほどで完了を目指します。
当院では、PBMという光加速装置を併用し、歯を支える骨の代謝をサポートしながら治療期間の短縮を図っています。といっても、決して無理な力で歯を動かすわけではありません。
歯科医師が矯正装置を選び、噛み合わせのバランスを細かく確認しながら進めるため、通常の矯正と同じようにしっかり歯並びを整えることができます。

特長 2

1人1人に合わせた精密なインビザライン

ドクターによるチェックの様子

当院では、お口の中を専用の光学カメラでスキャンし、歯並びを立体的な3D画像として再現します。そのデータをもとに、あなたの歯の形や動き方にぴったり合わせたインビザラインのマウスピースを設計するので、より精度の高い治療が可能です。 画面上で治療後の歯並びをシミュレーションし、「治療が終わるとこんな口元になる」というイメージを事前に確認しながら、納得してスタートしていただけます。

特長 3

デンタルモニタリングでAIと
ドクターのダブルチェック

デンタルモニタリングのイメージ

デンタルモニタリングでは、スマホで撮影したお口の写真や動画をAIがチェックし、その結果をもとにドクターが細かく確認していきます。 通院の頻度は減らしつつ、歯の動きやマウスピースのフィット感はしっかり見てもらえるので、「ちゃんと進んでいるかな?」という不安も軽くなります。 忙しくて毎月通うのが大変な方や、遠方から通院されている方でも、自宅から送信するだけで経過を見てもらえるのが大きなメリットです。マウスピースが浮いている気がする、痛みが気になる…といった時も、すぐにアプリから相談できるので、矯正中のちょっとした不安も抱え込まずに進めていけます。

特長 4

治療完了まで全てドクターが対応

治療完了まで全てドクターが対応

むらつ歯科クリニックでは、無料相談から精密検査、マウスピースの設計・装着、デンタルモニタリングでの経過チェック、治療完了後のフォローまで、すべてインビザライン担当ドクターが確認します。途中の説明だけスタッフに任せることはなく、一貫して同じ医師が経過を見ていくので、治療計画とのズレが起こりにくいのが特徴です。「誰に任せていいのか不安…」という方も、担当ドクターと二人三脚でゴールまで進めていける体制を整えています。

特長 5

オールインワン治療で口内を一括管理

オールインワン治療で口内を一括管理

むらつ歯科クリニックでは、矯正だけでなく、虫歯・歯周病・セラミックなどの審美治療、親知らずの抜歯やインプラントなど外科処置まで、それぞれの分野を得意とするドクターが在籍しています。お口の中をトータルで診られるので、「矯正中に虫歯が見つかった」「白い被せ物も一緒に考えたい」といった場合でも、医院をあちこち掛け持ちする必要はありません。一本の歯からお口全体、そして見た目までを含めて、オールインワンでサポートしていきます。

どんなお悩みがありますか?

出っ歯を治したい

出っ歯を治したい

できるだけ早く治療を終わらせたい

できるだけ早く治療を終わらせたい

補綴物があるけど、インビザライン治療をしたい

補綴物があるけど、
インビザライン治療をしたい

ホワイトニングとインビザラインを一緒にしたい

矯正しながら
ホワイトニングもしたい

イベントに間に合わせたい

イベントに間に合わせたい

Eラインを整えたい

Eラインを整えたい

むらつ歯科クリニックの

インビザライン症例

01

早く終わらせたい—加速装置併用の矯正治療

自宅で光を当てる補助デバイス「加速装置」を併用することで、矯正中の歯の移動をサポートし、治療期間の短縮を目指します(※効果には個人差があります)。
来院間隔の最適化と計画的なアライナー交換により、忙しい方でも無理なく治療を進められます。

  • スピード矯正で治療期間約1年6か月(個人差あり)
  • 気になる前歯の突出も短期間できれいに!
  • インビザラインフル+加速装置(pbm)
  • 105.6万円(税込み)
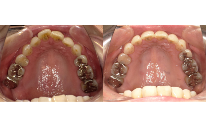
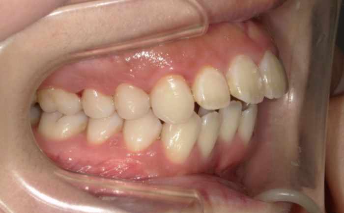
オルソパルス併用・Before オルソパルス併用・After
目立たない矯正・Before 目立たない矯正・After
02

結婚式・撮影までに目立たず整えたい

透明なマウスピース矯正なら、装置が目立ちにくく、取り外しも可能。イベントまでのスケジュールに合わせて、部分矯正や交換サイクルを調整しながら見た目の改善を図ります。

  • 写真や人前でも気づかれにくい
  • 食事・歯みがき時は取り外し可
  • 気になる前歯に絞った部分矯正も対応
  • 105.6万円(税込み)
03

Eラインを整えたい

  • 横顔の口元の突出感をすっきり改善
  • 透明マウスピースで目立ちにくい
  • 前歯の位置を中心にバランス調整が可能
  • 105.6万円(税込み)
矯正治療・Before 矯正治療・After

当院のインビザライン矯正の流れ

01

無料相談

まずはドクターが直接お話をうかがいます。今の歯並びのお悩みや、気になっているところ、ご予算やご希望の期間などを丁寧にヒアリングし、「インビザラインが向いているか」「他の方法が良いか」を大まかにお伝えします。無理に治療をすすめることはありませんので、まずは情報収集のつもりでお越しください。

インビザライン無料相談の様子
02

診査・診断(精密検査・シミュレーション)

レントゲンや写真撮影に加え、光学カメラでお口の中をスキャンし、歯並びを3Dデータ化します。そのデータをもとに、「どの歯がどのくらい動くか」「治療期間の目安」などをシミュレーション。骨やかみ合わせも含めて総合的に診断し、インビザラインで安全に治療できるかを見極めます。

精密検査・3Dシミュレーションの様子
03

治療計画のご説明

シミュレーション結果を画面で一緒に確認しながら、「どの順番で歯が動いていくのか」「最終的にどんな歯並びになるのか」「期間と費用の目安」などを具体的にお話しします。不安や疑問点はこの段階でしっかり解消していただき、内容にご納得いただけたら治療スタートとなります。

治療計画の説明
04

治療開始(マウスピース装着)

完成したマウスピースをお渡しし、装着のコツやお手入れ方法、1日の使用時間などを丁寧にご説明します。基本的には1〜2週間ごとに次の段階のマウスピースに交換しながら、少しずつ歯を動かしていきます。普段通りお食事や歯みがきができるのもインビザラインの大きなメリットです。

マウスピース装着の様子
05

経過観察

通院時とデンタルモニタリング(遠隔チェック)を組み合わせて、歯の動きやマウスピースのフィット感を細かく確認していきます。予定より動きが遅れている場合や、装着時間が足りていない場合は早めに軌道修正し、無理のないペースでゴールを目指します。気になることがあれば、その都度ご相談ください。

経過観察・デンタルモニタリング
06

治療終了

すべてのマウスピースのステップが完了し、歯並びとかみ合わせが安定したらインビザライン治療はいったん終了です。治療前後の写真を一緒に見比べながら、仕上がりを確認していきます。必要に応じて微調整を行い、「ここまでで大丈夫」とご本人にも納得していただいたうえで終了となります。

治療終了時の確認
07

メンテナンス・保定

治療後は、後戻りを防ぐための保定装置(リテーナー)を使いながら、定期的にチェックを行います。むし歯や歯周病の予防ケアも合わせて行うことで、きれいになった歯並びを長く保ちやすくなります。せっかく整えた歯並びを守るための大切な期間として、一緒にメンテナンスしていきましょう。

メンテナンス・保定の様子

料金表

矯正メニュー料金(税込)

スピード矯正インビザライン 1,056,000円(税込)
インビザライン部分矯正 550,000円(税込)
インビザライン全顎矯正 880,000円(税込)
マルチブラケット(ワイヤー矯正) 基本施術料 946,000円(税込)
小児矯正(プレオルソ) 基本施術料 550,000円(税込)
処置管理料(各治療費とは別途) 110,000円(税込)

お支払方法

  • 現金

    窓口でのお支払いが可能です。

  • クレジットカード

    一括・分割・リボ(各カード会社規定)

    対応ブランド:VISA / Mastercard / JCB / AMEX / Diners
  • デンタルローン(アプラス)

    月々のお支払いを抑えたい方に。審査が必要です。

    アプラスの分割シミュレーションを見る
  • 分割条件は各社規定・審査により異なります。
  • 高額治療は前納・中間金をお願いする場合があります。

「治療費」支払いシミュレーション

インビザライン(スピード矯正)

インビザライン(スピード矯正)

デンタルローン活用で (税込)

9,302円〜


治療費の総額 1,056,000円

※利率・回数は院内案内に準じます(例:実質年率5.8%・165回想定)

マルチブラケット(ワイヤー矯正)

マルチブラケット(ワイヤー矯正)

デンタルローン活用で (税込)

8,337円〜


治療費の総額 946,000円

※利率・回数は院内案内に準じます(例:実質年率5.8%・165回想定)

博多でインビザライン矯正なら
むらつ歯科クリニックへ

むらつ歯科クリニックでは、ダイヤモンドプロバイダー資格を持つ矯正専門医が、インビザライン治療をサポートします。
年150症例以上の実績を誇り、難症例にも対応可能。さらに、全身の健康を考慮した矯正で、見た目だけでなく体のバランスも整えることができます。
無料相談では、歯並びや治療費、期間についての不安を解消し、最適なプランをご提案します。
まずは、無料相談で自分の歯並びについて確認してみませんか?お気軽にご相談ください。

お電話でのご予約・お問い合わせ

092-476-0808

博多駅」から徒歩3分

監修医情報

むらつ歯科クリニック 副院長

三嶋一平 医師

三嶋一平 医師
略歴
福岡歯科大学付属病院 臨床研修医
福岡歯科大学矯正歯科 入局
医療法人むらつ歯科クリニック 勤務
メッセージ

矯正治療中の患者さんの気持ちに寄り添うことを大切に考えています。
患者さんがより快適に楽しみながら治療を続けられるように、 また自分の身体と向き合いながら、自分の身体を好きになれるようにサポートします。
歯並びとお口の機能が整うと、身体は驚くほど元気になりますよ。