出っ歯(上顎前突)|博多で矯正歯科なら「むらつ歯科クリニック」

出っ歯(上顎前突)

出っ歯とは?

出っ歯(上顎前突)とは、上の前歯や歯ぐき、あるいは上顎全体が前に出て見える状態のことをいいます。横から見ると唇が前に出やすく、Eラインが崩れて見た目に影響することがあります。 また、見た目だけでなく「噛みにくい」「口が閉じにくい」「口呼吸になりやすい」といった機能面の問題につながることも少なくありません。
大人の場合は骨格や歯並びのバランス、子どもの場合は指しゃぶりや舌のクセなどが原因になることがあります。

三嶋先生の「出っ歯治療」
のポイント

治療のポイントとしては、「前歯が出ている原因」を見た目だけで判断せず、歯並びなのか骨格なのかを丁寧に分析することを大切にしています。

セファロ分析や3Dスキャンを用いて、歯とあごのバランスを正確に把握し、できるだけ歯を抜かず、自然で調和のとれた口元を目指します。 マウスピースやワイヤーなど複数の選択肢から、生活スタイルに合った治療を提案し、機能面まで考えた矯正治療を行っています。

三嶋先生

三嶋先生の出っ歯治療症例

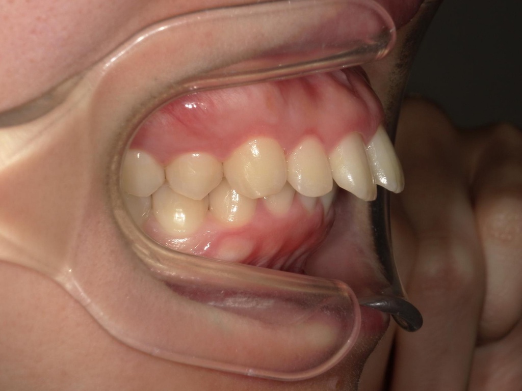
Before Photo

Before

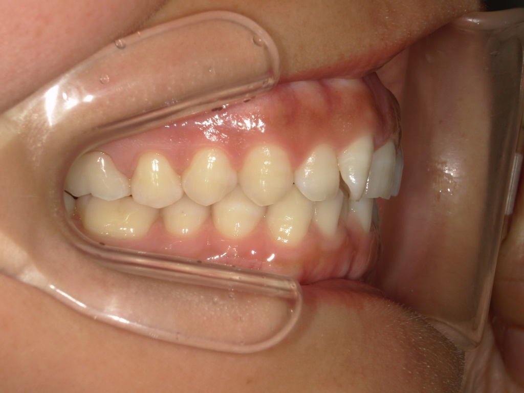
After Photo

After

主訴

出っ歯が気になる。

治療期間

3年5か月

料金

相談料0円、検査料33,000円、動的矯正治療費990,000円、保定装置料5,500円x5枚(必要枚数)

治療概要

出っ歯の原因が下顎の位置が後方に偏位していることと上の前歯が突出していることであった。
治療方針としては下顎の前方誘導及び、上顎小臼歯を抜歯して上顎前歯を後退させた。
矯正での歯の移動のリスクとして歯根吸収、歯肉退縮、歯髄怪死が考えられます。
保定装置の装置を怠ると隙間が生じてくる可能性があります。

こんな症状ありませんか?

見た目で気になる

  • 横顔のEラインが崩れ、唇が前に出て見える
  • 口が自然に閉じづらく、口元に力が入ってしまう
  • 笑ったときに前歯だけ目立ち、歯ぐきや唇の形が不自然に見える

かみ合わせで気になる

  • 前歯で食べ物が噛み切りにくい
  • 奥歯ばかりを使うため、顎や歯に負担がかかる
  • 発音しづらい・息が漏れやすい(特にサ行・タ行)

出っ歯になる原因

上顎と下顎の成長バランスが合っていない場合

上顎と下顎の成長バランスが崩れていると、上の前歯が前に出て見えやすくなります。
上顎の成長が強い場合や、下顎の成長が弱い・後方に位置している場合は、上下の前歯に前後差が大きくなり、横顔でも口元が強調されやすくなります。これは前歯だけの問題ではなく、顎全体の位置関係に影響する骨格的な要因です。
正確な原因を把握するためには、レントゲン(必要に応じてCT)や顔貌写真、かみ合わせの分析を含めた精密な診断が重要です。

歯の傾きや歯列のズレによる場合

骨格に問題がなくても、歯の向き(傾き)や並び方の乱れによって出っ歯に見えることがあります。
たとえば、上の前歯が前に傾いている場合や、下の前歯が内側へ倒れている場合は、上下の前歯の前後差が大きく見え、口元が強調されやすくなります。また、歯列のスペースが足りない・逆にゆとりがありすぎると、前歯が正しい位置に並べず、突出して見えることがあります。
さらに、奥歯のかみ合わせや歯列全体のズレが前歯の位置に影響することもあり、部分的な調整だけでは改善が難しいケースもあります。
治療では、歯列全体のバランスを見ながら、どの歯をどれだけ動かすかを丁寧に計画します。

口呼吸や舌癖が原因で前歯が前に出てしまう場合

口呼吸や舌の使い方のクセは、見た目以上に歯並びへ大きく影響します。
普段から口が開きやすい状態が続くと、唇の力が弱まり、前歯が前へ傾きやすくなります。また、舌が本来より低い位置にある「低位舌」や、飲み込むときに舌で前歯を押してしまう舌突出癖があると、少しずつ前歯が押し出されることがあります。
こうした癖は気づきにくいものですが、出っ歯の進行や再発にも関わるため、原因を知って改善していくことが大切です。

出っ歯につながる生活習慣がある場合

幼少期から続く何気ない習慣が、前歯や顎の成長に影響し、出っ歯の原因になることがあります。
たとえば、指しゃぶりや長期間のおしゃぶりの使用、爪を噛む癖・ペンを噛む癖などは、前歯を前へ押し出しやすくします。また、うつぶせ寝や頬づえ、姿勢の悪さ(頭が後ろに反りやすい姿勢)も、顎の成長バランスが崩れやすく、歯列やかみ合わせに影響を与えることがあります。
生活習慣の改善は、出っ歯の予防や進行の抑制にもつながる大切なポイントです。

出っ歯は矯正治療で直せます!

出っ歯(上顎前突)は、歯の傾き・歯列のズレ・骨格のバランスなど、さまざまな要因で起こりますが、矯正治療によって改善できるケースがほとんどです。
前歯や歯列全体を正しい位置に整えることで、見た目の印象だけでなく、かみ合わせや発音などの機能面も大きく向上します。
「横顔を整えたい」「前歯を引っ込めたい」という患者様のお悩みに応えながら、口元全体のバランスを考えた治療をご提案します。

出っ歯を矯正治療で整えるしくみ

出っ歯の改善には、矯正装置で歯をゆっくり理想の位置へ動かすことが必要です。
上の前歯が前に出ている場合は後方へ下げ、歯列全体のバランスとかみ合わせも同時に整えていきます。ワイヤー矯正やインビザラインなど、患者様の顎や歯並びの状態に合わせた最適な方法を選択します。丁寧な診断と計画のもと、見た目と機能の両面から改善を図ります。

どこまで矯正で対応できる?適応の目安と限界

出っ歯は多くの場合、矯正治療でしっかり改善できますが、歯の傾きだけでなく顎の骨格が大きく関わっている場合は、治療の選択肢や仕上がりの限界が変わることがあります。 見た目の改善をどこまで目指せるのか、横顔の変化は期待できるのかなど、気になるポイントは人それぞれです。
矯正だけで対応できるケースと、外科的な治療を併用した方が良いケースの目安を知ることで、自分に合った治療の方向性が見えやすくなります。

軽度〜中等度の出っ歯

軽度〜中等度の出っ歯は、もっとも矯正治療で改善しやすいタイプです。
前歯の傾きや歯列のズレが主な原因で、顎の骨格に大きな問題がないため、ワイヤー矯正・インビザライン(マウスピース矯正)どちらも適応になることが多くあります。 上の前歯を後方へ下げたり、歯列全体の幅や角度を整えることで、横顔の印象やEラインのバランスも改善しやすいのが特徴です。また、かみ合わせも同時に整うため、噛みにくさ・発音のしづらさといった機能面の悩みにも対応できます。
見た目の変化を実感したい方や、「できるだけ手軽に治したい」という患者様にとって、もっとも現実的で効果の高い治療範囲といえます。

重度の出っ歯

重度の出っ歯は、歯の傾きだけでなく顎の骨格バランスが大きく関わっているケースが多いのが特徴です。
上顎が前方へ成長しすぎている、または下顎が後方に位置しているなど、骨格のズレによって前歯の前後差が大きくなっているため、矯正単独では理想の仕上がりが難しい場合があります。 ワイヤー矯正やインビザラインでも改善は可能ですが、横顔の大きな変化やEラインの大幅な改善を求める場合は、外科的矯正(顎変形症治療)を併用する選択肢が必要になることもあります。治療方法は、かみ合わせ・顎の位置・歯列全体のバランスを精密に分析したうえで決まります。
重度の出っ歯で悩む患者様ほど、「どこまで変えられるのか」が気になるもの。まずは骨格の状態をしっかり把握することで、自分に合った治療の道筋が明確になります。

原因別で見る出っ歯の治療方法

出っ歯(上顎前突)の治療は、原因によって最適なアプローチが大きく変わります。
まず、自分の出っ歯が「歯の傾き」「骨格のバランス」「その両方が関わる混合型」のどれに当てはまるのかを知ることが大切です。原因を正しく理解することで、見た目の改善はもちろん、かみ合わせや横顔のバランスまでしっかり整えることができます。
矯正だけで対応できるケースもあれば、骨格のズレが大きい場合にはより専門的な治療が必要になることもあります。より効果的に改善するためには、自分のタイプに合った治療方法を選ぶことが重要です。

歯の傾きが主な原因の方の場合(歯槽性)

前歯の傾きや歯列のズレが原因で出っ歯になっている場合は、矯正治療で最も改善しやすいタイプです。
顎の骨格に大きな問題がなければ、ワイヤー矯正やインビザライン(マウスピース矯正)を用いて、前歯を理想的な位置へ整えていきます。軽度〜中等度の症例であれば、抜歯をせずに治療できることが多いのも特徴です。
主な治療方法は次のとおりです。

  • ワイヤー矯正は細かな角度調整がしやすく幅広い症例に対応できます
  • インビザライン(マウスピース矯正)は透明で目立ちにくく普段の生活に取り入れやすい特徴があります
  • 軽度のスペース確保として歯列を整えるために必要に応じてIPR(歯と歯の間を少し削る処置)を行うことがあります

歯の傾きが原因のタイプは、見た目の改善だけでなく、かみ合わせもしっかり整えやすい治療範囲です。

顎の骨格が大きく影響している方の場合(骨格性)

顎の位置や骨格の影響が強い出っ歯の場合は、歯の移動だけでは十分に改善できないケースがあります。
上顎が前に出ている、下顎が後方に位置しているなど、骨格バランスに問題がある場合は、歯列矯正だけでなく顎の位置そのものを整える治療が必要になります。横顔の印象をしっかり整えたい患者様にも、骨格性の診断はとても重要です。
主な治療方法は次のとおりです。

  • 顎矯正手術(外科手術)は顎の骨を理想的な位置に移動し骨格の問題を改善する方法です
  • ワイヤー矯正またはインビザラインは手術後に歯の位置を細かく整えかみ合わせを仕上げるために行います
  • 歯科矯正用アンカースクリューは必要に応じて使用し歯の移動を効率よく正確にサポートします

骨格性の出っ歯は治療期間こそかかりますが、顎と歯の両方を整えることで、かみ合わせ・横顔のライン・口元の印象が総合的に改善します。
理想的な仕上がりを目指すうえで、とても有効な治療アプローチです。

歯と骨格の両方が関わる方の場合

混合型の出っ歯は、前歯の傾きによる影響と、顎の骨格バランスの問題が同時に関わっているタイプです。
出っ歯の中でも最も多く見られる傾向があり、生まれつきの顎の骨格に加えて、指しゃぶりなどの後天的な癖が組み合わさって起こることもあります。歯並びと骨格の両方に原因があるため、状態によって必要な治療の範囲が変わってきます。
主な治療方法は次のとおりです。

  • 矯正治療で歯の位置を整え全体のバランスを改善する
  • 外科的矯正が必要な場合は顎の位置を整える手術を併用する
  • 骨格へ強い影響があるケースでは手術と矯正を段階的に進める

矯正治療だけで改善できるケースもありますが、骨格の影響が強い場合は外科的なアプローチを組み合わせることで、かみ合わせや横顔のバランスをより理想に近づけることができます。

程度別で見る出っ歯の治療方法

出っ歯の治療は、前歯がどれくらい前に出ているかの程度によって選ぶ方法が大きく変わります。
軽度の出っ歯であれば歯の傾きを整える矯正が中心になり、重度の場合は顎の骨格の影響も考慮した治療が必要になることがあります。
自分がどの程度に当てはまるかを知ることで、使える矯正装置や治療期間、仕上がりのイメージがより具体的になります。
より効果的な治療を選ぶための大切な指標となるため、まずは程度別の特徴を理解しておきましょう。

出っ歯軽度

軽度(〜4mm)の方の場合

軽度の出っ歯は、上下の前歯の前後差が4mm未満の状態で、前歯が少し前に出て見える程度のケースです。比較的シンプルな治療で改善しやすく、見た目の変化も早く実感できることが多いため、気軽に整えたい患者様に向いています。 主な治療方法は次のとおりです。

  • 歯の傾きを調整して前歯の位置を整える矯正治療
  • インビザライン(マウスピース矯正)やワイヤー矯正を用いたシンプルな治療
  • 多くの場合は非抜歯で進められ、スペース確保も最小限で済む

治療期間はおよそ6ヶ月から1年ほどで、日常生活への負担も少なく進めることができます。
横顔の印象を整えたい方や、軽い出っ歯を早めに改善したい患者様に適した治療範囲です。

出っ歯中等度

中等度(4〜7mm)の方の場合

中等度の出っ歯は、前歯の前後差が4〜7mmほどあり、見た目の突出感がはっきりしやすく、かみ合わせにも違和感が出やすい状態です。軽度に比べて治療のステップは少し増えますが、適切な方法を選べばしっかり改善できる範囲です。
主な治療方法は次のとおりです。

  • ワイヤー矯正やインビザラインで前歯と歯列全体の位置を整える
  • 必要に応じてスペースを確保し、前歯を後方へ移動させる治療を行う
  • 症例によっては抜歯を併用し、口元のバランスとかみ合わせを整えることがある

治療期間はおよそ1年から1年半ほどで、軽度のケースより長くなりますが、その分しっかりと歯並びとかみ合わせを整えることができます。
中等度の出っ歯は歯の動きが大きくなるため、丁寧な治療計画が理想的な仕上がりにつながります。

出っ歯重度

重度(7mm超)の方の場合

重度の出っ歯は、前歯の前後差が7mmを超える状態で、口元の突出が強く見え、かみ合わせにも大きな影響が出やすいケースです。歯の傾きだけでなく顎の骨格が深く関わっていることが多いため、慎重な診断と計画が必要になります。
主な治療方法は次のとおりです。

  • ワイヤー矯正やインビザラインで歯列全体を整え、前歯の後退を図る
  • 必要に応じてアンカースクリューを使用し、歯の移動を効率よく進める
  • 骨格の影響が強い場合は、外科的矯正で顎の位置を整える治療を併用する

治療期間はおよそ1年半から2年半ほどで、状態に合わせて微調整を行いながら進めていきます。
時間はかかりますが、歯と顎の両方を整えることで、かみ合わせや横顔のラインが大きく改善し、理想的な口元のバランスへ近づけることができます。

ワイヤー矯正で行う出っ歯の治療

ワイヤー矯正は、前歯の角度や歯列全体のバランスをしっかり整えたい方に適した治療方法です。
細かな調整がしやすいため、軽度の出っ歯から中等度・重度まで幅広いケースに対応できます。見た目の印象だけでなく、かみ合わせや横顔のバランスもしっかり整えたいという女性にとって、安定した効果が得られるのが魅力です。
仕上がりの美しさを重視しながら、自分のペースで着実に改善していきたい方におすすめの治療です。

ワイヤー矯正が向いているケース

ワイヤー矯正は、歯の動きを細かくコントロールできるため、幅広いタイプの出っ歯に対応できる治療方法です。
前歯をしっかり後ろへ下げたいケースや、歯並びのデコボコを同時に整えたい場合に特に向いています。 また、骨格の影響がある混合型や、横顔のバランスまで丁寧に整えたい方にとっても効果的です。 かみ合わせの細かな仕上げができるため、最終的な咬み合わせの安定を重視する患者様にも選ばれています。
装置は表側タイプのメタルや透明ブラケットのほか、見た目が気になる方には裏側矯正も選ぶことができ、ライフスタイルに合わせた選択が可能です。

抜歯の判断とTAD(アンカースクリュー)を用いた治療

抜歯が必要かどうかは、横顔のバランスや前歯の出方、歯の並ぶスペース、かみ合わせの状態を見ながら決めていきます。
まずはなるべく抜歯をしない方向で考え、歯と歯のすき間を少しだけ作ったり、奥歯を少し後ろへ動かしたりして、前歯を下げるためのスペースを確保します。
ただ、口元の出方が強い場合や大きく前歯を下げる必要がある場合には、抜歯をしたほうが見た目もかみ合わせもきれいに整うことがあります。また、アンカースクリューという小さなネジを使うと、前歯をしっかり後ろへ下げたり、奥歯を動かしやすくなり、治療をより効率よく進めることができます。
どの方法が合っているかは、写真やレントゲンなどを使った詳しい検査をもとに、一つひとつわかりやすく説明しながら一緒に決めていきます。

治療の流れと期間

ワイヤー矯正の治療期間は、一般的に1年半から2年半ほどが目安で、月に1回ほど通院して装置の調整を行います。
治療に使う装置にはいくつか種類があり、表側につけるタイプは調整しやすく仕上がりがきれいになりやすいほか、透明のタイプなら見た目も気になりにくいのが特徴です。
裏側につけるタイプは周りから見えにくいですが、慣れるまで少し発音しづらかったり、歯みがきがしにくいことがあります。また、アンカースクリューを使う方法を取り入れると、前歯をしっかり後ろへ下げやすくなり、抜歯をしなくても改善できる可能性が広がることがあります。
治療を始める前に、期間や通院のペース、装置の特徴、感じやすい違和感などを丁寧にご説明し、治療後の後戻りを防ぐための保定まで含めた計画をお伝えします。
不安なことがあれば、カウンセリングで一緒に確認しながら進めていけるので安心してご相談ください。

ワイヤー矯正についてはこちら

出っ歯をインビザラインで治療

インビザラインは、透明なマウスピースを使って歯を少しずつ動かしていく矯正方法で、見た目が気になりにくいのが大きな魅力です。
仕事中や外出時にも自然に過ごせるため、人前に立つ機会が多い女性や、矯正中でもおしゃれを楽しみたい方に選ばれています。取り外しができるので食事や歯みがきも普段通りで、無理なく続けやすい治療です。
出っ歯の改善を考える方にとって、日常生活と両立しながら口元を整えられる人気の方法です。

インビザラインが向いているケース

インビザラインは、前歯の傾きが原因で出っ歯になっている軽度〜中等度の方に向いている治療方法です。
前歯の位置を整えることで改善できるタイプであれば、透明のマウスピースでもしっかり効果が期待できます。奥歯のかみ合わせに大きな問題がない場合や、すき間や軽いデコボコを同時に整えたい場合にも適しています。
また、見た目を気にせず矯正したい方や、普段の生活で取り外しができるメリットを重視したい女性にとっても続けやすい方法です。
最終的にインビザラインが合っているかどうかは、写真やレントゲンなどの検査でしっかり確認して判断していきます。

注意が必要なケース

インビザラインは便利で続けやすい治療ですが、状態によっては慎重に判断したほうが良い場合があります。
前歯が大きく前に出ている重度の出っ歯や、上顎が強く前に出ている・下顎が大きく後ろに下がっているなど骨格の影響が強いケースでは、マウスピースだけで理想の仕上がりを目指すのがむずかしいことがあります。 また、奥歯を大きく動かす必要がある場合や、歯並びのデコボコが強い場合も注意が必要です。
そのようなケースでは、インビザラインだけでなくワイヤー矯正やアンカースクリューを組み合わせることで、より確実に整える方法をご提案することがあります。重度の骨格の問題がある場合は、外科的な治療が必要になることもあります。
最終的な治療方針は、写真やレントゲンなどの検査で状態をしっかり確認したうえで、メリットや期間、通院ペースまでわかりやすくご説明しますので、不安な点はいつでもご相談ください。

インビザライン矯正についてはこちら

出っ歯でお悩みの方からよくある質問

出っ歯矯正は治療中痛いの?

矯正の痛みが心配という方はとても多いですが、多くの場合、治療を始めた直後や調整した日の1〜3日だけ「押されるような痛み」や「締めつけ感」が出る程度で、数日で落ち着いていきます。
ワイヤー矯正では、装置が当たって口内炎ができることがありますが、歯科用ワックスでカバーしたり、市販の痛み止めで対応できることがほとんどです。
インビザラインの場合は、新しいマウスピースに替えた直後に少し違和感が出やすいくらいで、強い痛みはあまりありません。
もし痛みが強かったり、長く続くようなことがあれば、調整で和らぐこともありますので、我慢せずにいつでもご相談ください。

出っ歯矯正後の後戻りはある?

矯正が終わったあとでも、しっかり保定(リテーナー)を使っていれば多くの方は安定します。ただ、リテーナーをサボってしまうと、歯が少しずつ元の位置に戻ろうとするため、後戻りのリスクが高くなります。取り外し式や固定式など、使用するリテーナーは症状に合わせて選び、特に1〜2年目は毎日きちんと使うことが大切です。
また、爪を噛む癖やペンを噛む癖など、前歯に負担がかかる習慣があると後戻りしやすくなるため、できるだけ控えるようにしましょう。
もし「あれ?少し動いたかも…」と感じたら、すぐに相談してください。早い段階であれば、リテーナーの調整や軽い再矯正で短期間の対応ができることがほとんどです。
当院は保定計画まで含めた治療設計で、長期の安定をサポートします。

料金表

矯正メニュー料金(税込)

スピード矯正インビザライン 1,056,000円(税込)
インビザライン部分矯正 550,000円(税込)
インビザライン全額矯正 880,000円(税込)
マルチブラケット(ワイヤー矯正) 基本施術料 946,000円(税込)
小児矯正(プレオルソ) 基本施術料 550,000円(税込)
処置管理料(各治療費とは別途) 110,000円(税込)

お支払方法

「治療費」支払いシミュレーション

インビザライン(スピード矯正)

インビザライン(スピード矯正)

デンタルローン活用で (税込)

9,302円〜


治療費の総額 1,056,000円

※利率・回数は院内案内に準じます(例:実質年率5.8%・165回想定)

マルチブラケット(ワイヤー矯正)

マルチブラケット(ワイヤー矯正)

デンタルローン活用で (税込)

8,337円〜


治療費の総額 946,000円

※利率・回数は院内案内に準じます(例:実質年率5.8%・165回想定)

監修医情報

むらつ歯科クリニック 副院長

三嶋一平 医師

三嶋一平 医師
略歴
福岡歯科大学付属病院 臨床研修医
福岡歯科大学矯正歯科 入局
医療法人むらつ歯科クリニック 勤務
メッセージ

矯正治療中の患者さんの気持ちに寄り添うことを大切に考えています。
患者さんがより快適に楽しみながら治療を続けられるように、 また自分の身体と向き合いながら、自分の身体を好きになれるようにサポートします。
歯並びとお口の機能が整うと、身体は驚くほど元気になりますよ。