開咬|博多で矯正歯科なら「むらつ歯科クリニック」

開咬

開咬とは?

開咬(かいこう)とは、上下の前歯が噛み合わない状態を指します。 きれいなかみ合わせだと、前歯同士がしっかり噛み合って食べ物を切ったり、発音したりできますが、開咬の方は前歯に隙間ができてしまい、しっかり噛むことが難しくなります。これが続くと、食事が不便になったり、発音にも影響が出ることがあります。

三嶋先生の「開咬治療」
のポイント

治療のポイントとしては、開咬を「前歯が噛まない見た目の問題」としてではなく、原因から改善することを重視しています。

舌のクセや生活習慣、骨格の影響などを精密検査で丁寧に分析し、必要に応じて舌のトレーニングも併用。 マウスピースやワイヤー、場合によっては外科的矯正まで幅広い選択肢から、 噛み合わせが安定し再発しにくい治療計画を立て、食事や発音の快適さまで考えた矯正治療を行っています。

三嶋先生

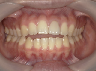
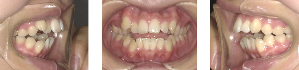
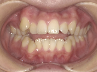
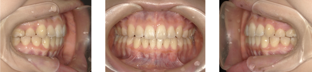
三嶋先生の開咬治療症例

Before Photo

Before

After Photo

After

主訴

前歯でものが噛めない。

治療期間

3年5か月

料金

相談料0円、検査料33,000円、動的矯正治療費990,000円、保定装置料5,500円x4枚(必要枚数)

治療概要

上の前歯がかなり前方にあり、垂直的にも下の歯と噛めない状態だったため、上顎小臼歯を抜歯してできた隙間を使って前歯を後退させ、さらに上下の奥歯を圧下させて下顎を噛み込ませ、上下前歯を挺出させて、咬合するように調整した。
矯正での歯の移動のリスクとして歯根吸収、歯肉退縮、歯髄怪死が考えられます。
保定装置の装置を怠ると隙間が生じてくる可能性があります。

こんな症状ありませんか?

見た目で気になる

  • 笑うと前歯が見えにくい、または歯の隙間が目立つ
  • 口元が突き出ている感じがして、気になる
  • 笑顔が不自然に見える気がする

かみ合わせで気になる

  • 食べ物を前歯でうまく噛み切れない
  • 食べるときにかみ合わせがうまくいかない感じがする
  • 硬い食べ物を食べると痛みや違和感がある
  • かみ合わせのせいで歯がすり減っている気がする

開咬になる原因

舌癖や口呼吸の影響

舌癖や口呼吸は、開咬の主な原因の一つです。低位舌(舌が口の中で低い位置にある)や前方突出(舌が前に押し出される)によって、前歯に過剰な力がかかり、歯列に隙間ができることがあります。さらに、口呼吸が続くと、舌が前方に押し出されるため、歯並びに悪影響を及ぼし、開咬を引き起こすことがあります。

指しゃぶり・おしゃぶり・口唇癖などの習慣

指しゃぶりやおしゃぶり、口唇癖(唇を吸ったり噛んだりする癖)も開咬の原因となります。これらの習慣が長期間続くと、歯が前方に押され、歯列にすき間ができることがあります。特に、指しゃぶりやおしゃぶりは歯に強い圧力がかかるため、開咬を引き起こしやすくなります。

歯の萌出や歯列のズレ

歯が原因の開咬は、歯の萌出(歯が生える過程)や歯列のズレによって引き起こされます。上下の前歯が適切にかみ合わず、隙間ができることがあります。この状態は、歯が正しい位置に生えなかったり、角度がずれたりすることが原因です。

上下顎の成長バランス

骨格性の開咬は、上下の顎の成長のバランスに関係しています。上顎と下顎がうまくバランスを取れないと、下顎が後ろにずれてしまったり、上顎が前に出てしまうことがあります。この不均衡が原因で、前歯の間に隙間ができてしまうのです。

開咬(開口)は矯正治療で直せます!

開咬(開口)は、奥歯は噛んでいるのに前歯のあいだにすき間ができてしまい、前歯で食べ物を噛み切りにくい・サ行やタ行の発音がしづらいなど、見た目と機能のどちらにも影響が出やすいかみ合わせです。

開咬を矯正で整えるしくみ

開咬を矯正で改善するためには、歯とかみ合わせのバランスを整えることが大切です。まず、前歯と奥歯の「高さ」をコントロールします。これには、前歯をわずかに「下げる・上げる」、あるいは奥歯を少し「沈める(圧下する)」など、ミリ単位で高さを調整していきます。次に、上下の歯の位置関係や傾きを整え、前歯のすき間を閉じるだけでなく、奥歯のかみ合わせも安定させます。前歯だけを無理に動かすのではなく、上下のバランスを見ながらコントロールすることが重要です。また、指しゃぶりや舌で前歯を押す癖、口呼吸などの悪い癖を改善しないと、せっかく閉じたすき間が再び開いてしまうリスクがあります。そのため、必要に応じて舌のトレーニングや呼吸法の指導を行い、後戻りしにくい状態を目指します。ワイヤー矯正やマウスピース型矯正装置を使い、これらの「高さ」「位置」「癖」の3つを意識しながら、弱い力を継続的にかけて少しずつ改善していきます。

どこまで矯正で対応できる?適応の目安と限界

開咬は、多くのケースで矯正治療だけで改善可能ですが、「原因」と「程度」によって適切な方法やゴールが変わります。矯正のみで対応しやすいのは、指しゃぶりや舌癖、口呼吸といった習慣が主な原因で、顎の骨格に大きなズレがない場合です。この場合、「歯の位置や高さ」を整えることでかみ合わせが改善し、機能的な改善が期待できます。また、顎関節に軽度〜中等度の症状がある場合でも、かみ合わせの改善によって負担が軽減されることがあります。このような場合、ワイヤー矯正やマウスピース型矯正装置を使用し、前歯・奥歯の位置や高さをコントロールしながら、見た目と機能両方の改善を目指します。

慎重な見極めが必要なケース

顎の垂直的な成長が強く、顔全体として下顔面が長く見える場合や、骨格性の開咬(骨格的開咬)が疑われる場合、通常の矯正だけでは前歯が噛み合わない可能性が高くなります。また、顎関節の痛みや開口障害などが強く、かみ合わせの調整だけではカバーしきれないこともあります。このようなケースでは、矯正治療だけでどこまで改善できるのか、外科的矯正(顎の位置を整える手術)を併用した場合との違いを事前にしっかりと見極めることが大切です。当院では、レントゲンやセファログラムなどの精密検査をもとに、矯正だけで目指せるゴールや外科的治療、機能療法(舌・呼吸・癖のトレーニング)を併用した場合のメリット・デメリット、期間や通院回数、負担の違いをわかりやすくお伝えします。「自分の開咬は矯正だけでどこまで改善できるのか?」が気になる方は、まず一度ご相談ください。現在の状態と考えられる選択肢を、一緒に整理していきましょう。

自分は直せる?原因別の治療方法

開咬(開口)の原因は、一つだけでなく「歯の位置」「顎の骨格」「舌や呼吸・癖」などが重なっていることが多く、それぞれで治療の考え方が少しずつ変わります。まずは、ご自身がどのタイプに近いのかを知ることが、最適な治療法を選ぶ第一歩です。

歯と舌の使い方が主な原因の方の場合

幼少期からの指しゃぶりやおしゃぶり、舌で前歯を押してしまう舌癖、口呼吸の習慣 などが中心となって開咬が起こっている場合です。

このタイプでは、ワイヤー矯正やマウスピース型矯正装置で歯の位置・高さを整えつつ、

  • 舌の正しい位置を覚えるトレーニング(MFT)
  • 指しゃぶり・口呼吸などの癖を減らす工夫

を並行して行うことがポイントです。原因となっている癖をそのままにすると、治療後の後戻りリスクが高くなるため、「歯並び+機能」の両方を整えていきます。

顎の骨格の影響が強い方の場合

顎の骨の成長方向や縦の長さのバランスが原因で、前歯が噛み合っていないタイプです。

  • 下顔面が長く見える
  • 横から見たときに、顎が下方向に回転している印象がある
  • 家族にも同じような歯並び・顔立ちの方がいる

といった場合、骨格性開咬の可能性があります。

歯だけを動かす矯正治療である程度改善できるケースもあれば、骨格のズレが大きい場合には、顎矯正手術を併用して顎の位置そのものを整えた方が良い場合もあります。どこまで矯正単独で目指せるか、精密検査で慎重に判断していきます。

歯・骨格・癖が重なっている方の場合

多くの開咬は、歯の位置、顎の骨格、舌癖や口呼吸などの機能が複合的に関わる「混合型」です。

このタイプでは、

  • 矯正装置で歯列とかみ合わせを整える
  • 必要に応じて顎の位置や成長方向も評価する
  • 舌・呼吸・姿勢などの癖にもアプローチする

といったように、トータルでバランスを整えることが重要です。 当院では、検査結果をもとに「どの要素がどの程度影響しているのか」を分かりやすくお伝えし、優先度をつけて治療計画を一緒に組み立てていきます。

どのくらい開いているかで見る程度別の治療方法

開咬(開口)の治療は、「どれくらい前歯が開いているか」「どの歯が噛んでいて、どの歯が噛んでいないか」によって、装置の選び方や治療期間の目安が変わります。ここでは、イメージしやすいように、程度別のおおまかな目安をご紹介します。

開咬の経度症例

軽度(すき間がごくわずか)の方の場合

  • 奥歯を噛みしめたとき、前歯の間にわずかなすき間(1〜2mm程度)がある
  • 一部の前歯だけが噛み合っていないが、日常生活で大きな支障はまだ少ない

といった状態です。

この程度であれば、ワイヤー矯正・マウスピース型矯正装置のいずれでも対応しやすく、歯の高さや傾きを整えることで比較的スムーズに改善が期待できます。治療期間の目安は、お口の状態にもよりますが、1年前後で終えられることも少なくありません。

開咬の中等度症例

中等度(前歯がほとんど噛んでいない)の方の場合

  • 奥歯は噛んでいるが、前歯がほとんど接触していない
  • 前歯で噛み切るのが難しい/食べ物がこぼれやすい
  • 発音のしづらさを自覚している

この場合、歯の高さ・位置のコントロール量が増えるため、ワイヤー矯正を中心に、必要に応じて奥歯の圧下や前歯の挺出を組み合わせていきます。マウスピース型矯正装置でも対応できることがありますが、症例によってはワイヤー矯正との併用を検討します。治療期間はおおよそ1年〜1年半程度が目安です。

開咬の重度症例

重度(大きく開いている・骨格性が疑われる方)の場合

  • 奥歯だけで噛んでいて、前歯のすき間が大きい
  • 下顔面が長く見えるなど、顔全体のシルエットにも影響が出ている
  • 家族にも似たような開口・顔立ちの方がいる

といった場合は、骨格性開咬の可能性が高くなります。 このレベルになると、矯正治療だけでどこまで改善できるかを慎重に判断する必要があります。

開咬をワイヤー矯正で治療

「開咬を改善したいけれど、目立つ矯正装置は避けたい」という方には、ワイヤー矯正が効果的な治療法の一つです。ワイヤー矯正では、歯並びや咬み合わせを正確に調整し、開咬を改善していきます。特に、歯に力を加えながらしっかりと噛み合わせを整えることができるため、長期間で安定した結果が得られます。ワイヤー矯正で開咬を治療する際のポイントや、どのようなケースに適しているかについてご紹介します。

ワイヤー矯正が向いているケース

開咬の矯正治療には、歯の移動とかみ合わせの調整が必要です。軽度の開咬ではワイヤー矯正で歯を適切な位置に移動させることで改善が可能ですが、重度の場合は顎の骨の調整が必要になることがあります。歯の位置だけでなく、上下顎の関係も大切なため、症例に合わせて最適な治療法を選択します。

TAD(アンカースクリュー)を用いた治療

TAD(アンカースクリュー)は、矯正治療において歯の移動を補助するための装置です。特に、重度の開咬では歯の圧下や牽引に役立ちます。また、歯の移動が必要かどうか、抜歯が適切かどうかは、治療計画の中で精密に判断し、患者様に最適な方法を提案します。

期間・通院頻度・装置のポイント

開咬の治療は通常、軽度の場合12〜18か月、中等度や重度の場合は18か月〜2年程度の期間がかかります。通院頻度は通常4〜6週ごとで、調整を行います。ワイヤー矯正の際は、治療の進行に合わせて調整を加え、歯の動きに合わせて装置の調整を行います。治療後の後戻りを防ぐため、装置の使用方法やケアのアドバイスも行います。

ワイヤー矯正についてはこちら

開咬をインビザラインで治療

「開咬を改善したいけれど、目立つ矯正装置は避けたい」という方には、透明なマウスピースを使用するインビザラインが最適です。インビザラインでは、歯並びや咬み合わせを少しずつ整えながら、開咬の問題を解消していくことができます。特に、上下の歯がしっかりと噛み合うように調整でき、口元のバランスを整えながら、見た目にも配慮した治療が可能です。インビザラインで開咬を改善する際のポイントや、どのようなケースに効果的かについてご紹介します。

インビザラインが向いているケース

インビザライン(マウスピース型矯正装置)は、歯の傾きが原因の軽度〜中等度の開咬に適しています。特に歯性の開咬に対しては、歯の位置をスムーズに移動させることができ、目立たない治療が可能です。さらに、口腔筋機能療法(MFT)を併用し、舌の位置や嚥下(飲み込み)の改善を進めることで、治療の効果が高まります。舌癖や口呼吸などが原因で開咬が進行している場合には、インビザラインに加えて、機能訓練や習慣改善も併せて行います。

アタッチメント・顎間ゴム・抜歯併用の可否

インビザラインは、歯の位置を細かく調整することができるため、アタッチメント(小さな突起物)や顎間ゴム(歯同士を結ぶゴム)を併用することができます。これらを使用することで、歯の移動精度が高まり、開咬の改善がスムーズに進みます。抜歯が必要な場合、インビザラインでも対応可能です。必要に応じて、治療計画を立て、最適な治療法を提案いたします。

注意が必要なケース

インビザライン治療において注意が必要なケースとして、重度の骨格性開咬や顎の骨の不調和がある場合が挙げられます。このような場合、インビザラインだけでなく、ワイヤー矯正や外科的矯正、機能療法を併用することが検討されます。特に、骨格性開咬や顎の問題が強い場合は、外科手術を併用して改善を図る必要があることもあります。そのため、患者様の状態に応じて最適な治療法を提案し、治療計画を立てます。

インビザライン矯正についてはこちら

よくある質問

治療中の痛みはある?

開咬の矯正治療中は、特に治療開始直後や調整後に軽い痛みや違和感が生じることがあります。これは歯を動かすための力がかかることが原因です。痛みは通常数日内に収まりますが、痛みが長引く場合や強く感じる場合は、すぐに当院にご連絡ください。治療の進行に合わせて痛みの感じ方は軽減し、通常生活に支障をきたすことはありません。

発音は良くなる?

治療開始後、特に矯正装置に慣れるまで、「サ行」や「タ行」の発音が少し難しく感じることがあります。多くの方は数日から数週間以内に慣れて、発音がスムーズに戻ります。発音の改善には、朗読や大きな声での発話が有効です。当院でも、発音がスムーズになるようにアドバイスを行い、調整をサポートします。

治療期間の目安は?

開咬の治療期間は、軽度の場合で約12〜18か月、中等度から重度の場合で約18か月〜2年が目安となります。治療の進行具合によって、期間は前後することがあります。治療の進行状況に合わせて通院頻度を調整し、必要に応じて治療計画を見直します。治療期間中は定期的に通院し、歯並びとかみ合わせの調整を行っていきます。

料金表

矯正メニュー料金(税込)

スピード矯正インビザライン 1,056,000円(税込)
インビザライン部分矯正 550,000円(税込)
インビザライン全額矯正 880,000円(税込)
マルチブラケット(ワイヤー矯正) 基本施術料 946,000円(税込)
小児矯正(プレオルソ) 基本施術料 550,000円(税込)
処置管理料(各治療費とは別途) 110,000円(税込)

お支払方法

「治療費」支払いシミュレーション

インビザライン(スピード矯正)

インビザライン(スピード矯正)

デンタルローン活用で (税込)

9,302円〜


治療費の総額 1,056,000円

※利率・回数は院内案内に準じます(例:実質年率5.8%・165回想定)

マルチブラケット(ワイヤー矯正)

マルチブラケット(ワイヤー矯正)

デンタルローン活用で (税込)

8,337円〜


治療費の総額 946,000円

※利率・回数は院内案内に準じます(例:実質年率5.8%・165回想定)

監修医情報

むらつ歯科クリニック 副院長

三嶋一平 医師

三嶋一平 医師
略歴
福岡歯科大学付属病院 臨床研修医
福岡歯科大学矯正歯科 入局
医療法人むらつ歯科クリニック 勤務
メッセージ

矯正治療中の患者さんの気持ちに寄り添うことを大切に考えています。
患者さんがより快適に楽しみながら治療を続けられるように、 また自分の身体と向き合いながら、自分の身体を好きになれるようにサポートします。
歯並びとお口の機能が整うと、身体は驚くほど元気になりますよ。