過蓋咬合|博多で矯正歯科なら「むらつ歯科クリニック」

過蓋咬合

過蓋咬合とは?

過蓋咬合(ディープバイト)とは、上の前歯が下の前歯を大きく覆いかぶさる状態を指します。これは、見た目やかみ合わせに影響を与えるだけでなく、将来的に歯や顎に負担をかける可能性もあります。また、過蓋咬合とともに、出っ歯や叢生(八重歯)など、他の歯並びの問題を併発していることもあります。気づかずに放置してしまうことが多いため、注意が必要です。

三嶋先生の「過蓋咬合治療」
のポイント

治療のポイントとしては、過蓋咬合を「噛み合わせが深い状態」として捉え、前歯だけでなく奥歯やあごのバランスまで含めて総合的に診ることを大切にしています。

精密検査で原因を丁寧に分析し、前歯の角度、奥歯の高さ、骨格的要素を見極めた上で治療計画を立案。 マウスピース矯正を中心に、必要に応じて他の治療も組み合わせ、 顎への負担を減らし長く安定する噛み合わせを目指しています。

三嶋先生

三嶋先生の過蓋咬合治療症例

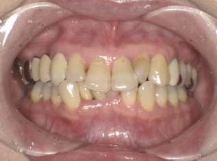
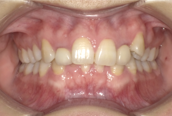
Before Photo

Before

After Photo

After

主訴

ガタガタ、八重歯が気になる。

治療期間

2年5か月

料金

相談料0円、検査料33,000円、動的矯正治療費990,000円、保定装置料5,500円x5枚(必要枚数)

治療概要

歯が並ぶ隙間が足りないため、歯列を拡大して隙間を確保し、ガタガタと八重歯を改善しました。
過蓋咬合の改善は上下前歯を垂直的に移動させた。
矯正での歯の移動のリスクとして歯根吸収、歯肉退縮、歯髄怪死が考えられます。
保定装置の装置を怠ると隙間が生じてくる可能性があります。

こんな症状ありませんか?

見た目で気になる

  • 上の歯が下の歯にかぶさって笑ったときに歯が見えづらい
  • 歯が深くかみ合いすぎて口元が窮屈に見え、顔全体のバランスが気になる
  • 笑ったときに歯茎が目立って見える「ガミースマイル」に悩むことがある

かみ合わせで気になる

  • 食べ物をしっかり噛むのが難しく、かみ合わせが不安定になることがある
  • 顎に過剰な力がかかり、筋肉や関節に痛みや違和感がある
  • 顎が疲れることがある
  • 歯が不均等にすり減ったり、特定の歯に負担がかかりすぎて欠けることがある

過蓋咬合になる原因

骨格的な問題

過蓋咬合の原因の一つは、骨格の問題です。 具体的には、顎の高さの不足や、上下顎の成長バランスが崩れることが挙げられます。 これにより、上顎と下顎の位置関係が不適切になり、上の歯が下の歯を覆いすぎてしまうことがあります。このような骨格的なずれが、過蓋咬合を引き起こす原因となります。

歯の問題

前歯が過剰に生え出す(過萌出)ことや、下顎の歯並びのカーブが大きすぎることが原因で、前歯が過度にかぶさってしまいます。歯の位置や傾きが不適切だと、過蓋咬合が発生しやすくなります。

癖や機能的な問題

食いしばりや歯ぎしり、嚥下癖(飲み込みの癖)などの習癖や機能的な問題も過蓋咬合の原因です。これらの習慣が長期間続くと、歯や顎に過剰な力が加わり、かみ合わせのバランスが崩れることで、過蓋咬合が引き起こされます。

奥歯のすり減りや欠けによる支えの弱さ

最後に、臼歯のすり減りや欠損が原因となる場合もあります。臼歯がすり減ったり、欠けてしまうと、後方の支えが弱くなり、前歯に過度な負担がかかります。これにより、前歯が過剰に重なり、過蓋咬合が進行することがあります。

過蓋咬合は矯正治療で改善できます

過蓋咬合(ディープバイト)は、上の前歯が下の前歯を深く覆い、前歯がほとんど見えない・下の歯の歯茎に当たるといった状態です。多くの場合、矯正治療で前歯の重なりや奥歯の高さを整えることで、見た目だけでなく噛みやすさや顎への負担も軽くしていくことができます。

過蓋咬合を矯正治療で整えるしくみ

過蓋咬合の矯正治療では、前歯の重なりや奥歯の高さのバランスを整え、矯正装置を使って少しずつ弱い力で歯を適切な位置と高さに整えていきます。 これにより、前歯や顎関節への負担を軽減し、噛みやすい状態を目指します。治療方法としては、ワイヤー矯正やマウスピース型矯正装置を使用し、精密検査に基づくいた計画と細かな調整を行っていきます。

どこまで矯正だけで対応できる?適応の目安と限界

過蓋咬合は、基本的に矯正治療によって改善が可能なかみ合わせです。ただし、骨格の状態やオーバーバイトの深さによって、選べる治療方法や目指せるゴールは少しずつ変わってきます。

軽度〜中等度の過蓋咬合

歯の位置や高さが主な原因となっている「歯性の過蓋咬合」や、軽度の骨格性の過蓋咬合であれば、マウスピース型矯正装置やワイヤー矯正で効果的に治療できることが多くあります。 前歯の圧下や奥歯の高さ調整などを組み合わせることで、かみ合わせの深さを整え、見た目と機能の両方を改善していきます。

重度の過蓋咬合

オーバーバイトが非常に深い場合や、下顔面の短さ・顎の位置のズレなど「骨格性の要因」が強い場合は、矯正だけでの改善が難しくなることがあります。 こうしたケースでは、TAD(アンカースクリュー)を併用したり、必要に応じて外科的矯正(顎の骨の手術)を検討することで、顎の位置とかみ合わせを同時に整えていきます。治療期間は長くなりますが、顎関節や見た目のバランスまで含めた改善が期待できます。

矯正治療でどこまで良くできるのか

歯だけの矯正で無理をしてしまうと、仕上がりや長期的な安定性に影響することがあります。骨格性の影響が強いと診断された場合には、ワイヤー矯正単独でどこまで改善できるか、外科的治療を併用した場合にどんなメリット・デメリットがあるかを比較しながら治療方針を決めていきます。 当院では、精密診断の結果に基づいて、過蓋咬合のタイプや程度に合った最適な治療方法をご提案します。「矯正だけで治せるのか知りたい」「手術が必要か不安」という方も、まずは現在の状態と現実的なゴールを一緒に確認していきましょう。

自分は直せる?原因別の治療方法

過蓋咬合(ディープバイト)は、原因によって治療の考え方やゴールが少しずつ変わります。 「歯そのものの問題なのか」「顎の骨格が影響しているのか」「歯ぎしりなどのクセも関わっているのか」を整理することが、最適な治療方法を選ぶ第一歩です。

歯の高さ・傾きが主な原因の方の場合

前歯や奥歯の高さ・角度のバランスが崩れて、かみ合わせが深くなっているタイプです。 「上の前歯が下の前歯を深く覆っている」「奥歯が伸びすぎていて、前歯が必要以上に噛み込んでいる」といったケースが当てはまります。

このタイプでは、ワイヤー矯正やマウスピース型矯正装置を使い、

  • 前歯を少し持ち上げる・角度を整える
  • 奥歯の高さをコントロールして噛み込みを浅くする

といった「歯の高さ」の調整を中心に行っていきます。 骨格に大きな問題がなければ、矯正治療だけで見た目と噛みやすさの両方の改善が期待できます。

顎の骨格バランスの影響が強い方の場合

下顎が本来より後ろに下がっている 上顎が前方・下方に位置していて、前歯同士の距離が近くなっている といった「顎の骨格そのもの」が関わる過蓋咬合です。

歯だけを動かす矯正治療である程度の改善はできますが、かみ合わせの深さや横顔のバランスまでしっかり整えたい場合には、

  • ワイヤー矯正で歯の位置と高さを細かくコントロールする
  • 必要に応じて歯科矯正用アンカースクリューを併用する
  • 骨格のズレが大きい場合には、顎矯正手術を組み合わせる

といった治療方針を検討します。 精密検査で骨格の影響度を確認し、「矯正だけで目指せるゴール」と「外科的治療を組み合わせた場合のゴール」を比較しながら計画を立てていきます。

歯・骨格・噛むクセが重なっている方の場合

多くの過蓋咬合は、歯の位置・高さ、顎の骨格、歯ぎしり・食いしばりなどのクセ が複合的に関わる「混合型」です。

このタイプでは、

  • 矯正装置で歯列とかみ合わせの高さを整える
  • 骨格のバランスも評価し、必要に応じて外科的矯正も視野に入れる
  • ナイトガードやかみ癖の指導などで、歯ぎしり・食いしばりにも対策を行う

といったように、原因となっている要素を一つずつ整理しながら治療を組み立てます。 当院では、検査結果をもとに「どの要素がどのくらい影響しているのか」をわかりやすくお伝えし、患者様と一緒に現実的な治療ゴールを決めていきます。

どのくらい深いかで見る程度別の治療方法

過蓋咬合(ディープバイト)の治療は、 下の前歯がどのくらい隠れているか 前歯の重なりがどれくらい深いか によって、装置の選び方や治療期間の目安が変わってきます。ここでは、イメージしやすいように「軽度・中等度・重度」の3つに分けてお話しします。

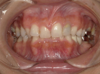
過蓋咬合軽度症例画像

軽度(下の前歯が少し隠れる程度)の方の場合

下の前歯が上の前歯にやや隠れている状態で、見た目の気になり方が強くなく、噛みにくさや顎の痛みなどの自覚症状も少ない場合、ワイヤー矯正やマウスピース型矯正装置のどちらでも対応しやすく、前歯の重なりを浅くし、奥歯の高さを少し整えることで改善を目指します。治療期間はおおよそ1年前後が目安となります。

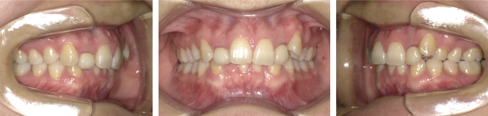
               過蓋咬合中等度症例画像

中等度(下の前歯が半分以上隠れる)の方の場合

下の前歯が上の前歯に大きく隠れており、笑ったときに下の前歯がほとんど見えない。また、前歯で噛み切りにくく、奥歯に負担がかかりやすい状態では、前歯の高さや角度の調整、奥歯の高さコントロール、必要に応じて歯列の幅や前後的な位置の調整を行い、縦方向と前後方向の調整が増えるため、ワイヤー矯正を中心に治療を進めることが多いです。 場合によってはマウスピース型矯正装置と併用することもあります。 治療期間は約1年〜1年半程度が目安です。

過蓋咬合重度症例画像

重度(下の前歯がほとんど見えない・歯茎に当たる)の方の場合

噛んだときに下の前歯がほとんど見えず、上の前歯の裏側が下の歯茎に当たって痛むことがあり、顎関節の違和感や歯のすり減りが気になる「深く噛み込みすぎている」状態では、奥歯の沈めるコントロールや前歯の角度と高さの調整、必要に応じてアンカースクリューや顎矯正手術の併用が必要となります。 治療期間は1年半〜2年半程度と長めになりますが、その分、かみ合わせや口元のバランスを丁寧に整えることができます。 ご自身では判断しにくいため、当院では写真やレントゲン・模型を使い、現在の状態と治療の選択肢をわかりやすくご説明しますので、気になる方は早めにご相談ください。

過蓋咬合をワイヤー矯正で治療

過蓋咬合(ディープバイト)の治療には、ワイヤー矯正が非常に効果的です。矯正装置を使用して、上下の歯の位置を調整し、かみ合わせを正常に戻します。以下に、ワイヤー矯正による過蓋咬合の治療方法を詳しくご紹介します。

ワイヤーが向いているケース

ワイヤー矯正は、特に軽度〜中等度の過蓋咬合や骨格的な問題が少なく、顎の成長に大きな問題がない場合、またかみ合わせが浅くてかみ合わせに問題がない場合に、適した治療方法です。

期間・通院頻度・装置のポイント

ワイヤー矯正で過蓋咬合を治療する場合、治療期間は軽度の場合6ヶ月〜1年、中等度や重度の場合は1年半〜2年程度が一般的です。 調整が必要なため、通院4〜6週間に1回ほどになります。 装置には、メタルブラケット、クリアブラケット、舌側矯正などがあり、患者様に合った装置を選ぶことができます。治療の進行に応じて適切な調整や装置の変更を行いますので、安心して治療をお任せください。

ワイヤー矯正についてはこちら

過蓋咬合をインビザラインで治療

「過蓋咬合を改善したいけれど、目立つ矯正装置は避けたい」という方には、透明なマウスピースを使用するインビザラインが一つの選択肢です。インビザラインでは、歯並びや咬み合わせを少しずつ整えながら、過蓋咬合の問題も解消していくことができます。特に、歯を引き上げることができるため、深い噛み合わせが改善され、口元のバランスが整うのが特徴です。インビザラインで過蓋咬合を治療する際のポイントや、どのようなケースに効果的かについてご紹介します。

インビザラインが向いているケース

インビザラインは、透明なマウスピース型矯正装置を使用し、歯を少しずつ動かしていく治療法です。軽度から中等度の過蓋咬合において、歯の位置や傾きが主な原因である場合、インビザラインは効果的です。 特に、歯の問題が中心で、顎の骨格に大きな問題がない場合に適しています。

注意が必要なケースと他の装置との併用

重度の過蓋咬合や骨格的な問題がある場合、インビザラインのみでは十分な効果が得られないことがあります。 そのような場合、TAD(アンカースクリュー)やワイヤー矯正との併用を検討することがあります。TADは、歯の移動を支えるための固定源として使用され、より大きな歯の移動が可能になります。ワイヤー矯正との併用により、精密な歯の動きと骨格の調整が可能となり、治療効果を高めることができます。

期間・通院頻度・装置のポイント

インビザラインによる過蓋咬合の治療期間は、12ヶ月から24ヶ月程度です。 通院頻度は、初期は1ヶ月に1回、その後は2〜3ヶ月に1回程度の頻度で調整を行います。装置は透明で目立ちにくく、食事や歯磨きの際に取り外しが可能なため、日常生活に支障をきたしにくいのが特徴です。治療中は、アライナーの装着時間を1日20〜22時間確保することが重要です。

インビザライン矯正についてはこちら

過蓋咬合でお悩みの方からよくある質問

発音への影響は?

過蓋咬合の治療を始めた直後は、「サ行」や「タ行」が少し発音しづらく感じることがあります。これは装置やマウスピースが舌の動きを妨げるためで、数日〜数週間ほどで自然に慣れていきます。

食事への影響は?

治療を始めたばかりの時期は、歯が押されるような感覚があるため、やわらかい食べ物を選ぶと快適に過ごせます。硬いものや粘着性の強い食品は装置や歯に負担をかけるため、控えていただくのがおすすめです。取り外し式のマウスピースで治療を行う場合は、食事の前に外して歯みがき後すぐに戻すことで、より良い結果につながります。

顎関節への影響は?

過蓋咬合の矯正中は、深いかみ合わせを浅くしていく過程で、一時的に顎のだるさや音が出る場合があります。これは多くの場合、一時的な生理的反応で心配はいりません。痛みが強い・違和感が続くときは、当院でかみ合わせの当たりを微調整して負担を軽減します。また、食いしばりや歯ぎしりなどのクセが関係していることもあるため、必要に応じて口腔筋機能療法(MFT)を取り入れ、正しい舌や顎の使い方をサポートします。

料金表

矯正メニュー料金(税込)

スピード矯正インビザライン 1,056,000円(税込)
インビザライン部分矯正 550,000円(税込)
インビザライン全額矯正 880,000円(税込)
マルチブラケット(ワイヤー矯正) 基本施術料 946,000円(税込)
小児矯正(プレオルソ) 基本施術料 550,000円(税込)
処置管理料(各治療費とは別途) 110,000円(税込)

お支払方法

「治療費」支払いシミュレーション

インビザライン(スピード矯正)

インビザライン(スピード矯正)

デンタルローン活用で (税込)

9,302円〜


治療費の総額 1,056,000円

※利率・回数は院内案内に準じます(例:実質年率5.8%・165回想定)

マルチブラケット(ワイヤー矯正)

マルチブラケット(ワイヤー矯正)

デンタルローン活用で (税込)

8,337円〜


治療費の総額 946,000円

※利率・回数は院内案内に準じます(例:実質年率5.8%・165回想定)

監修医情報

むらつ歯科クリニック 副院長

三嶋一平 医師

三嶋一平 医師
略歴
福岡歯科大学付属病院 臨床研修医
福岡歯科大学矯正歯科 入局
医療法人むらつ歯科クリニック 勤務
メッセージ

矯正治療中の患者さんの気持ちに寄り添うことを大切に考えています。
患者さんがより快適に楽しみながら治療を続けられるように、 また自分の身体と向き合いながら、自分の身体を好きになれるようにサポートします。
歯並びとお口の機能が整うと、身体は驚くほど元気になりますよ。