受け口|博多で矯正歯科なら「むらつ歯科クリニック」

受け口

受け口とは?

奥歯をかみ合わせた時に、下の歯が上の歯よりも前に出ている、または同じ位置で噛み合っている状態を指します。
この状態を「反対咬合」や「下顎前突」と呼び、不正咬合の一種とされています。
口を閉じていると正面からは気づきにくいものの、横から見ると、下唇が上唇よりも前に出ているのが特徴です。理想的な口元は、鼻先から顎までを結んだEライン内に上下の唇が収まっていますが、受け口の人はEラインよりも下唇が前に突出している状態になります。

           

三嶋先生の「受け口治療」
のポイント

治療のポイントとしては、受け口の治療において「なぜそうなっているのか」を丁寧に見極めることを大切にしています。

下あごの骨格によるものか、歯の傾きによるものかを正確に分析し、成長段階や抜歯の必要性も含めて治療方針を決定します。 マウスピース矯正からワイヤー、必要に応じて大学病院と連携して外科的矯正まで幅広く対応し、見た目だけでなく噛みやすさや発音など、毎日の快適さにつながる治療を心がけています。

三嶋先生

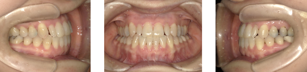
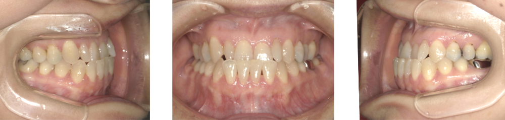
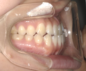
三嶋先生の受け口治療症例

Before Photo

Before

After Photo

After

主訴

かみ合わせ、反対咬合が気になる。

治療期間

9か月

料金

相談料0円、検査料33,000円、動的矯正治療費990,000円、保定装置料5,500円x2枚(必要枚数)

治療概要

前歯のかみ合わせが反対咬合だったため、下顎の歯を全体的に奥へ移動させ、前歯のかみ合わせを改善した。
矯正での歯の移動のリスクとして歯根吸収、歯肉退縮、歯髄怪死が考えられます。
保定装置の装置を怠ると隙間が生じてくる可能性があります。

こんな症状ありませんか?

見た目で気になる

  • 口元が突き出ている、または顎が前に出ている感じがする
  • 笑顔を見せると、上の歯がほとんど見えず、下の歯が目立つ
  • 横顔が不自然に見える、顎のラインに自信が持てない
  • 口を閉じるとき、下の歯が上の歯より前に出ている感覚がある
  • 顎のラインや歯並びを気にして、写真を避けがち

かみ合わせで気になる

  • 食事の際、噛みにくさを感じる、噛む力がうまく伝わらない
  • 食事中に下の歯が上の歯に当たって違和感を覚える
  • 硬いものを噛むと、顎に痛みを感じることがある
  • 発音に影響があり、特に「サ行」「タ行」の発音がしづらい
  • 口を閉じている時に顎が疲れる、または違和感がある

受け口になる原因

上顎と下顎の成長バランスの乱れ

受け口の原因の一つは、上の顎と下の顎の成長のバランスが崩れることです。
上の顎があまり成長せず、下の顎が成長しすぎると、下の顎が前に出たような状態になります。これが続くと、歯がうまく噛み合わず、受け口になります。
特に成長期の子どもの場合、顎の成長が大切なので、早めに矯正治療を始めることが効果的です。

歯の位置や傾き

歯が傾いていたり、位置が悪かったりすることでも受け口になります。
例えば、上の歯が後ろに傾き、下の歯が前に出ていると、受け口になります。 この場合、矯正治療で歯の位置を整えることで、改善することができます。

舌の癖や口呼吸の影響

受け口は、遺伝が関係していることもあります。 もし家族に受け口の人が多い場合、遺伝で受け口になりやすいことがあります。
また、成長期における顎の発育が不均衡だと、受け口が進行してしまうこともあります。

受け口は矯正治療で直せます!

受け口(反対咬合・下顎前突)は、矯正治療を受けることで多くの場合、改善することができます。
歯並びやかみ合わせを整えることで、前歯できちんと噛むことができ、口元も自然な印象にすることが可能です。
当院では、レントゲン撮影や口の中のスキャンをとることで、歯並びと顎の骨の状態を詳しく確認し、あなたに合った治療方法をご提案いたします。受け口が気になる方は、ぜひご相談ください。

受け口を矯正で整えるしくみ

受け口を改善するためには、上下の前歯のかみ合わせを整えることが重要です。
矯正装置(ワイヤー矯正やマウスピース型矯正装置)を使って、少しずつ弱い力を加え、歯とその周りの骨を理想的な位置へ整えていきます。
また、前歯だけでなく、奥歯のかみ合わせも調整することで、噛む力のバランスを整え、歯や顎関節にかかる負担を減らします。
治療方法は、歯の傾きや骨格の影響、顎の動きの癖を考慮して、ワイヤー矯正やマウスピース型矯正装置を使い分け、必要に応じて補助装置も組み合わせます。このように、矯正治療は「前歯のかみ合わせ」「奥歯の調整」「顎の動き」のバランスを整えることで、見た目と機能を両方改善していきます。

どこまで矯正治療で対応できる?適応の目安と限界

受け口は、矯正治療で改善できることが多いですが、歯だけの問題なのか、骨格に関わる問題がどれくらい強いのかによって、治療方法や目指すゴールが変わってきます。

軽度〜中等度の受け口

上の前歯が少し内側に、下の前歯が少し外側に傾いている場合、主に「歯の傾き」が原因です。
このタイプでは、ワイヤー矯正やマウスピース型矯正装置を使って、歯の位置やかみ合わせを整えることで、見た目や噛みやすさを大きく改善できることが多いです。

重度の受け口

横から見たときに下顎全体が大きく前に出ている、または家族にも同じような受け口が多い場合、骨格の影響が強い可能性があります。
このような場合、歯を動かすだけでは十分に改善できないことがあり、ワイヤー矯正やアンカースクリューを使う範囲と、顎矯正手術(外科的治療)を併用する必要があるかもしれません。

矯正治療でどこまで良くできるのか

骨格のずれが大きい場合、矯正治療だけで改善できる範囲には限界があります。
そのため、「矯正だけでどこまで改善できるか」や「外科的治療を併用した場合、どこまで変わるか」をしっかりと確認しながら治療方法を選んでいくことが重要です。
当院では、精密検査の結果をもとに、矯正治療だけで目指せるゴールや、外科的治療を併用した場合のメリット・デメリットについて、治療期間や通院ペースの違いを含めて、患者さんにわかりやすくご説明いたします。そして、患者さんにとって最適で納得できる治療計画を一緒に考え、治療を進めていきます。

自分は直せる?原因別の治療方法

受け口の治療は、原因や症状の程度によって必要な治療が違います。
受け口は大きく、「歯の位置や傾きが原因となっているタイプ」「顎の骨格が原因となっているタイプ」、そしてその両方が関係している「混合型」に分けられます。
それぞれの特徴を理解し、自分に合った治療方法を選ぶことで、より納得できる結果が得られます。

歯の傾きが主な原因の方の場合

上の前歯が内側に倒れ、下の前歯が外側に倒れているなど、「歯の位置や傾き」が受け口の原因となっているタイプの場合、ワイヤー矯正やマウスピース型矯正装置を使って、前歯の傾きや位置を整え、上下の前歯がきちんと噛み合うように調整していきます。
また、歯列の幅や並び方を整え、かみ合わせ全体のバランスを整えることも大切です。
このような軽度〜中等度の受け口であれば、抜歯をせずに矯正治療を行うことも可能で、矯正のみで改善が期待できることが多いタイプです。

顎の骨格の影響が強い方の場合

横から見たときに下顎全体が前に出ている、または下顔面が前に張り出して見える場合、顎の骨格のバランスが崩れている「骨格性受け口」である可能性があります。 成長期の子どもでは、顎の成長をコントロールする装置を使って、将来的な受け口の悪化を防ぐことを目指します。
成人の場合、骨格のズレが大きい場合には、矯正装置で歯の位置を整えた後、顎矯正手術(外科的矯正)を組み合わせて治療することが必要です。骨格性の受け口は、歯だけを動かすだけでは仕上がりや安定性に影響が出ることがあるため、レントゲンや顔の写真を使って精密な診断を行っていきます。

歯と骨格の両方が関わる方の場合

受け口の多くは、歯の位置や傾き、顎の骨格、かみ合わせの癖など、複数の要素が関わっている「混合型」です。
このタイプでは、まず矯正装置を使って歯並びとかみ合わせを整え、その後、骨格のズレの程度に応じて外科的矯正を検討します。さらに、噛み方や顎の使い方に癖がある場合、それらの改善も合わせて行うことで、治療後の安定性を高めることができます。
当院では、検査結果をもとに「歯」「骨格」「癖」がどのくらい影響しているかを整理し、患者さんと一緒に無理のない現実的なゴール設定と治療計画を立てていきます。

どのくらい出ているかで見る程度別の治療方法

受け口(反対咬合)の治療方法は、「どのくらい下の前歯が前に出ているか」や、「反対咬合が前歯だけなのか、奥歯まで広がっているのか」によって変わります。

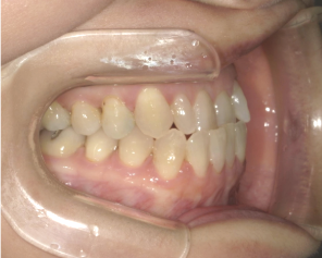
軽度受け口症例画像

軽度(前歯の一部だけが反対咬合)の方の場合

軽度の受け口は、上下の前歯の前後差があまり大きくなく、前歯の一部だけが反対に噛んでいる状態です。 見た目にはあまり気にならないことが多いですが、「前歯で噛み切りにくい」「言いにくい音がある」といったお悩みが出てくることもあります。
治療方法としては、ワイヤー矯正やマウスピース型矯正装置を使って、上の前歯を前に、下の前歯を内側に動かし、前歯のかみ合わせを整えます。奥歯のかみ合わせが大きく乱れていない場合は、非抜歯で治療が進むことが多いです。
治療期間の目安は約6か月〜1年程度で、負担をかけずに前歯の反対かみ合わせを改善し、口元や噛みやすさの改善を目指します。

中等度受け口症例画像

中等度(前歯全体が反対咬合になっている)の方の場合

中等度の受け口は、上下の前歯全体が反対に噛んでいる状態で、かみ合わせのズレがはっきりとわかるタイプです。 前歯だけでなく、奥歯のかみ合わせにも影響が出ており、顎への負担や見た目のお悩みが強くなることが多いです。
治療方法としては、ワイヤー矯正(表側・裏側)やマウスピース型矯正装置を使い、前歯と奥歯の位置関係をしっかり整えます。歯並びのスペースが不足している場合は、歯列の幅を広げる調整や、必要に応じて抜歯を検討することもあります。
治療期間は約1年〜1年半で、計画的に歯を移動させることで、噛みやすさと見た目の改善が期待できます。

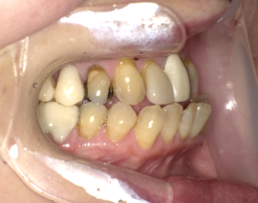
重度受け口症例画像

重度(下顎の前突感が強い)の方の場合

重度の受け口は、横から見たときに下顎全体が前に出ている状態で、前歯だけでなく奥歯まで反対咬合になっていることが多いです。噛みにくさや発音のしづらさに加えて、顎関節への負担や歯のすり減りなど、将来的なトラブルのリスクも高くなります。
治療方法としては、まずワイヤー矯正で歯並びとかみ合わせを整え、その後、下顎の前突が大きい場合は顎矯正手術(外科的矯正)を併用することを検討します。必要に応じて、歯科矯正用アンカースクリューを使って歯の前後移動を調整します。
治療期間は、矯正単独の場合で約1年半、外科的矯正を併用する場合は約2年〜2年半を見込んでいます。時間がかかりますが、歯並びやかみ合わせ、横顔のバランスを整えることで、見た目と機能面の両方で大きな改善を目指します。

受け口をワイヤー矯正で治療

「受け口を改善したいけれど、目立つ矯正装置を避けたい」という方には、ワイヤー矯正が非常に効果的な治療法です。
ワイヤー矯正では、歯並びや咬み合わせを精密に調整し、受け口を根本的に改善します。特に、ワイヤーとブラケットによって、歯をしっかりと引き寄せ、理想的な噛み合わせを実現します。
ワイヤー矯正で受け口を治療する際のポイントや、どのようなケースに適しているかについてご紹介します。

ワイヤー矯正が向いているケース

ワイヤー矯正(マルチブラケット矯正)は、歯の動きを細かくコントロールできるため歯の位置が原因となる受け口や、軽度〜中等度の骨格性受け口に適しています。
この治療法では、矯正装置を使って歯を少しずつ理想的な位置に移動させることで、歯並びやかみ合わせを改善します。
骨格性の問題が軽度であれば、ワイヤー矯正だけでも十分に改善できます。しかし、骨格性の受け口が進行していたり、顎の骨に大きな影響がある場合には、外科手術と併用する必要があることもあります。

抜歯/非抜歯の判断とアンカースクリュー(TAD)活用

受け口の治療で、抜歯が必要かどうかは重要なポイントです。歯列にスペースが十分にある場合は、非抜歯で矯正治療を進めることができますが、スペースが足りない場合は、抜歯をして歯の位置を調整することがあります。
また、アンカースクリュー(TAD)は、矯正治療をより効率的に進めるために使われます。TADは矯正中に歯の位置を動かすための強力な固定源となり、治療を安定させ、必要な力を安定的に与えることができます。特に、歯を後ろに移動させる場合や、非抜歯で治療を進める際に役立ちます。

治療の期間・通院頻度・装置のポイント

ワイヤー矯正による受け口治療には、約1年〜2年の治療期間が必要です。
治療期間は、受け口の程度や歯並びの状態、患者さんの年齢によって異なります。
通院頻度は、治療の初期段階では4〜6週ごとに調整を行いますが、治療が進むにつれて通院間隔が長くなることがあります。
治療装置には、表側矯正(メタルブラケットやセラミックブラケット)や裏側矯正(舌側矯正)、などがあります。患者さんのライフスタイルや治療のニーズに応じて、最適な治療方法を選ぶことができます。
治療中は食事や歯磨きに気を付ける必要がありますが、ワイヤー矯正は細かい調整が可能で、効果も高い治療法です。

ワイヤー矯正についてはこちら

受け口をインビザラインで治療

「受け口を改善したいけれど、目立つ矯正装置は避けたい」という方には、透明なマウスピースを使用するインビザラインが適した選択肢です。
インビザラインでは、歯並びや咬み合わせを少しずつ整えながら、受け口の問題も改善できます。透明なマウスピースを使うことで、矯正治療中も目立たず、快適に治療を進めることができます。
インビザラインで受け口を治療する際のポイントや、どのようなケースに効果的かについてご紹介します。

インビザラインが向いているケース

インビザラインは、特に軽度〜中等度の受け口に適しています。
歯の位置や傾きが原因となっている歯槽性受け口や、成長段階で調整が可能な骨格性受け口にも効果的です。インビザラインの大きな特徴は、装置が透明で目立たず、食事や歯磨きの際に取り外せる点です。
そのため、治療中も自然な見た目を保ちやすく、外見的な影響を最小限に抑えることができます。また、痛みが少なく、調整も簡単なので、快適に治療を続けられます。

アタッチメント・抜歯併用の可否

インビザラインでは、歯の動きを精密にコントロールするために、アタッチメント(歯に取り付ける小さな突起物)を使うことがあります。
このアタッチメントを使用することで、歯の傾きや回転などの微調整が可能になります。
また、歯を移動させるためのスペースが足りない場合などに、抜歯を併用することがあります。インビザラインでも抜歯を含む治療は可能なので、患者さんの要望に沿った計画を提案いたします。

注意が必要なケース

インビザラインは、軽度〜中等度の受け口に最適な治療法ですが、重度の受け口や骨格性の強い問題がある場合には、インビザラインのみでは十分な効果を得られないことがあります。
この場合、ワイヤー矯正や外科手術との併用が必要となることがあります。
また、インビザラインを使用する際は、装置の装着時間(1日20時間前後)を守ることが大切です。

インビザライン矯正についてはこちら

受け口でお悩みの方からよくある質問

受け口の矯正治療中に痛みはありますか?

受け口の矯正治療では、装置を取り付けた直後や調整後に一時的な痛みや違和感を感じることがあります。
特にワイヤー矯正では、歯に力を加えるため、初めて装置を取り付けた際や調整後の数日間に痛みを感じることがありますが、通常は数日以内に収まります。
インビザラインの場合、マウスピースを交換した際に少し歯が動くため、軽い痛みや圧迫感を感じることがありますが、これも数日以内に収まります。痛みが強く感じる場合は、無理せず当院にご相談ください。

受け口治療にはどのくらいの期間がかかりますか?また、仕事や発音に影響はありますか?

受け口治療の期間は、症例や使用する矯正装置によって異なりますが、目安として約1年半〜2年程度です。
治療期間は患者様一人ひとりの治療計画により変動します。治療中は定期的な通院が必要です。
仕事や日常生活への影響について、特にインビザラインは透明で目立たず、取り外し可能なので、外見にほとんど影響を与えません。食事や歯磨きも通常通り行えますので、仕事や日常生活に大きな影響はありません。発音については、初期の段階で少し違和感がありますが、慣れると自然に発音できるようになります。

受け口治療後に後戻りを防ぐ方法はありますか?

受け口の矯正治療が終了した後、歯が元の位置に戻らないようにするためには、リテーナー(保定装置)の使用が非常に重要です。
治療後、歯が安定するまでリテーナーを使い、歯を固定します。リテーナーには取り外し可能なタイプと固定式のタイプがあり、患者様に合ったものを選びます。治療終了後の1〜2年間はリテーナーを使い、その後は徐々に使用時間を短縮していきます。リテーナーを適切に使用しないと、後戻りするリスクがあるため、指示通りに使用していただくことが大切です。
治療後のフォローもお任せください。当院では、定期的なチェックを通じて後戻りを防ぎ、長期的に美しい歯並びを維持できるようサポートします。

料金表

矯正メニュー料金(税込)

スピード矯正インビザライン 1,056,000円(税込)
インビザライン部分矯正 550,000円(税込)
インビザライン全額矯正 880,000円(税込)
マルチブラケット(ワイヤー矯正) 基本施術料 946,000円(税込)
小児矯正(プレオルソ) 基本施術料 550,000円(税込)
処置管理料(各治療費とは別途) 110,000円(税込)

お支払方法

「治療費」支払いシミュレーション

インビザライン(スピード矯正)

インビザライン(スピード矯正)

デンタルローン活用で (税込)

9,302円〜


治療費の総額 1,056,000円

※利率・回数は院内案内に準じます(例:実質年率5.8%・165回想定)

マルチブラケット(ワイヤー矯正)

マルチブラケット(ワイヤー矯正)

デンタルローン活用で (税込)

8,337円〜


治療費の総額 946,000円

※利率・回数は院内案内に準じます(例:実質年率5.8%・165回想定)

監修医情報

むらつ歯科クリニック 副院長

三嶋一平 医師

三嶋一平 医師
略歴
福岡歯科大学付属病院 臨床研修医
福岡歯科大学矯正歯科 入局
医療法人むらつ歯科クリニック 勤務
メッセージ

矯正治療中の患者さんの気持ちに寄り添うことを大切に考えています。
患者さんがより快適に楽しみながら治療を続けられるように、 また自分の身体と向き合いながら、自分の身体を好きになれるようにサポートします。
歯並びとお口の機能が整うと、身体は驚くほど元気になりますよ。