ワイヤー矯正とは、歯の表面に小さな装置(ブラケット)を取り付け、ワイヤーを通して歯を少しずつ動かしていく矯正方法です。
装置は目立ちやすいですが、効果的に歯並びを整えることができるため、特に歯並びが大きく乱れている方に向いています。
装置の調整は定期的に行い、歯を動かす力をかけることで、時間をかけて理想の歯並びへと導いていきます。
治療期間は通常1〜2年程度で、見た目も整い、噛み合わせも改善されます。
ワイヤー矯正で歯が動く仕組み
ワイヤー矯正では、歯の表面に取り付けたブラケットにワイヤーを通し、一定の力を加えることで歯を動かします。 歯には、歯を支えるための骨(歯槽骨)があり、その間に歯根膜というクッションのような膜があります。
この膜がワイヤーの力で縮んだり伸びたりすることで、歯が動きます。
力が加わると、歯根膜が縮む側では骨が溶ける細胞(吸収)が働き、歯が動く方向に骨が吸収されます。
一方、反対側の歯根膜は引っ張られ、骨を作る細胞(再生)が働き、新しい骨ができて歯が元の位置に向かって動きます。この吸収と再生の繰り返しによって、理想的な歯並びへと少しずつ歯が移動していくのです。

ワイヤー矯正の種類
ワイヤー矯正と言っても、いくつかの種類があります。

表側矯正
表側矯正は、歯の表面にブラケットとワイヤーを取り付けて歯を動かす最も一般的な矯正方法です。ブラケットが目立ちますが、治療計画が立てやすく、比較的治療期間も短めです。費用も他の矯正方法よりも抑えめで、初心者や費用を重視する方に人気があります。
裏側矯正
裏側矯正は、歯の裏側にブラケットを取り付ける方法です。治療中に装置が目立たず、美容面を重視する方に向いています。表側矯正よりも装置が見えないため、周囲に気づかれにくいのが大きな特徴ですが、表側矯正よりもやや治療費が高めになることが多いです。
ハーフリンガル矯正
ハーフリンガル矯正は、前歯部分は裏側に、奥歯部分は表側に装置を取り付ける方法です。装置の一部が裏側に隠れるため、目立ちにくく、美容面と機能面を両立できます。表側矯正よりも目立ちにくいですが、裏側矯正ほどではないため、バランスを重視する方に選ばれています。
矯正装置の種類
矯正の装置にもそれぞれ種類があり、患者様の希望に沿って選択いただくことが可能です。むらつ歯科クリニックではセラミックブラケットを使用しております。他のブラケットに関しても紹介をさせていただき、他の装置との違いを説明させていただきます。
プラスチックブラケット
プラスチックブラケットは、歯の表面に透明のブラケットを取り付け、ワイヤーで歯を動かす最も一般的な方法です。歯並び全体を効率よく矯正でき、特に複雑な歯並びにも対応可能です。実績も多いため人気の方法です。
メタルブラケット
メタルブラケットは、歯に取り付ける金属製の装置です。最もポピュラーで耐久性があり、力強く歯を動かすことができます。見た目が目立つことがありますが、丈夫で費用も比較的抑えめであり、費用対効果を重視する方におすすめです。
セラミックブラケット
セラミックブラケットは、透明または歯の色に近い素材で作られており、目立ちにくいのが特徴です。治療効果はメタルブラケットと同等でありながら、審美性を重視する方に適しています。金属アレルギーがある方にも向いています。
ワイヤー矯正のメリット・デメリット
ワイヤー矯正のメリット
歯を動かしやすい
ワイヤー矯正は、複雑な歯並びやかみ合わせの改善にも効果的です。 しっかりと歯に力をかけて動かすことができるので、理想的な歯並びを作りやすい治療方法です。
対応範囲が広い
歯並びが悪い、かみ合わせが気になるという場合でも、ワイヤー矯正は幅広い症例に対応できます。 重度の歯並びの乱れにも対応できるので、どんな歯並びにもアプローチが可能です。
ワイヤー矯正のデメリット
目立ちやすい
金属のブラケットとワイヤーが使われるため、特に外見が気になる方には目立ってしまいます。 人前で笑うときに気になることもあるかもしれません。
食べ物の制限
矯正中は硬い食べ物や粘り気のある食べ物を避ける必要があるので、食事に少し制限が出てきます。
痛みや不快感
ワイヤー調整後や治療の初期に痛みを感じることがありますが、時間とともに慣れていきます。
ワイヤー矯正はさまざまな症例に対応できる信頼性の高い治療方法ですが、
装置が目立つ、食事や歯磨きが不便になるなど、日常生活で気になる点も少なくありません。
その点、インビザライン(マウスピース矯正)は、目立たず、取り外しもできるため、
見た目や生活の質を重視したい方に非常におすすめです。
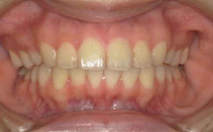
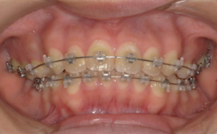
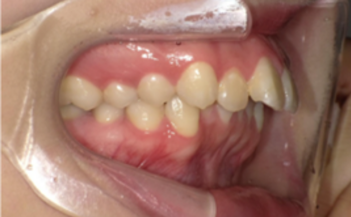
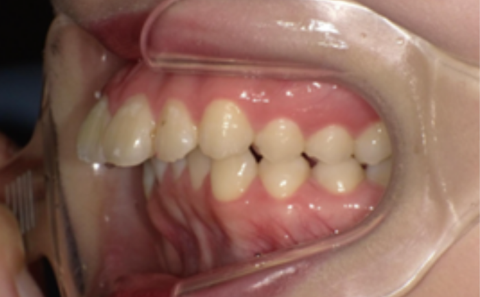
当院のワイヤー矯正の症例
Before
After
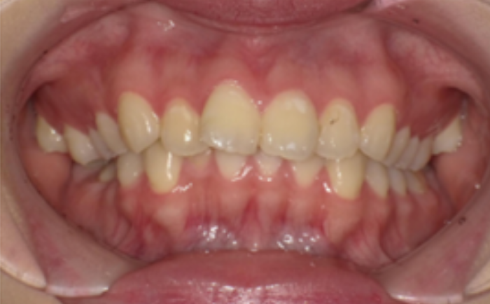
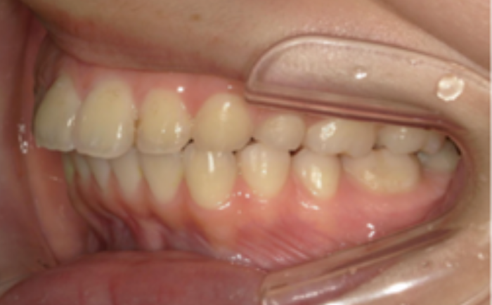
初診時
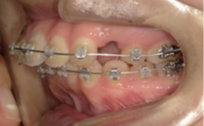
治療中
治療後
主訴
前歯が出ている・ガタガタが気になる
治療期間
2年6か月
料金
相談料0円、検査料33,000円、動的矯正治療費990,000円、
保定装置料5,500円×5枚(必要枚数)
治療概要
上下の個々の歯の大きさに対して、上下の顎が共に小さく、歯が並ぶ余地が不足したために、 前歯が押し出され、叢生が発現している症例です。 改善には、上顎左右の第一小臼歯を抜歯して空隙を作り、前歯を後退させることで改善しました。
矯正治療における歯の移動のリスクとして、歯根吸収・歯肉退縮・歯髄壊死が起こる可能性があります。 また、保定装置の装着を怠ると、後戻りによって隙間が生じてくる可能性もあります。