口ゴボ|博多で矯正歯科なら「むらつ歯科クリニック」

口ゴボ

口ゴボとは?

「口ゴボ」とは、口元全体が前に出て見える状態のことを指します。
歯だけでなく、唇やそのまわりの骨格ごと前に出ているため、正面からよりも横顔で気づきやすいのが特徴です。「Eライン」と呼ばれる、鼻の先と顎先を結んだ線よりも、唇が大きく前に出ていると「口ゴボ気味かも…」と感じる方が多くなります。 ただ、「出っ歯=口ゴボ」というわけではありません。
前歯が少し前に出ていても、顎の位置や骨格とのバランスが整っていれば、横顔の印象はそこまで気にならないこともあります。逆に、歯並びはそこまで悪くなくても、上顎や歯ぐきごと前に出ている場合は、口元がもこっとして見え、「笑ったときに口元だけ強調される」「マスクを外した自分の横顔に自信が持てない」といったお悩みにつながりやすくなります。
最近はSNSや美容系メディアで「口ゴボ」という言葉を目にする機会が増え、「これって自分のことかも」と心配になる方も多いですが、口ゴボは骨格・歯並び・口周りのクセなどが複合的に関わる“よくある悩み”のひとつです。まずは、口ゴボがどういう状態なのかをきちんと知り、「なぜそう見えるのか」「どんな方法で改善を目指せるのか」を理解していくことが、口元に自信を取り戻す第一歩になります。

三嶋先生の「口ゴボ治療」
のポイント

治療のポイントとしては口ゴボを「前歯が出ているから」という単純な問題として捉えず、 歯並び・あごの骨格・奥歯の位置・筋肉のバランスまで含めて総合的に診断します。

3Dスキャンやセファロ分析を用いて原因を明確にし、抜歯の必要性や歯の動かし方を慎重に判断。 横顔の美しさだけでなく、噛み合わせや将来の安定性にも配慮し、 一人ひとりに合った無理のない矯正治療を大切にしています。

三嶋先生

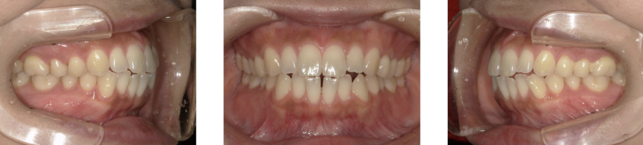
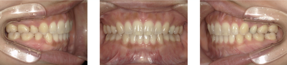
三嶋先生の口ゴボ治療症例

Before Photo

Before

After Photo

After

主訴

出っ歯 口元が出ている

治療期間

1年10か月

料金

相談料0円、検査料33,000円、動的矯正治療費990,000円、調整料110,000円、保定装置料5,500円x5枚(必要枚数)

治療概要

上下の個々の歯の大きさに対して、上下の顎が共に小さく、歯が並ぶ余地が不足したために、前歯が押し出されて出っ歯が生じている。
改善には、上下左右の第一小臼歯を抜歯して空隙を作り、前歯を後退させた。
矯正での歯の移動のリスクとして歯根吸収、歯肉退縮、歯髄怪死が考えられます。
保定装置の装置を怠ると隙間が生じてくる可能性があります。

こんな症状ありませんか?

見た目で気になる

  • 横顔の口元だけが前に出て見える
  • 笑ったときに唇や歯ぐきが前に押し出される感じがある
  • 口を閉じるときに力が必要

かみ合わせで気になる

  • 前歯でうまく噛み切れないことがある
  • 食事中に奥歯に負担がかかりやすい
  • 発音しにくい音がある(特にサ行・タ行)

口ゴボになる原因

骨格が原因の口ゴボ(上顎前突・下顎後退など)

生まれつきの骨格バランスが原因で、口ゴボのように見えてしまうタイプです。
上顎の骨が前に出やすい、もしくは下顎が小さく後ろに下がっていると、歯並びがそこまで悪くなくても口元だけが強調されて見えます。
これは体質による部分が大きく、「自分の努力不足」ということではありません。骨格の影響が強い場合は、矯正治療だけで整えられる範囲と、外科的な治療を組み合わせた方がよいケースをしっかり見極めながら、横顔全体のバランス改善を目指していきます。

歯の位置や傾きが原因の口ゴボ(歯槽性)

骨格に大きな問題がなくても、前歯の角度や位置が少し前に傾いているだけで、口元がふくらんで見えてしまうことがあります。
いわゆる「歯が前に出ているタイプ」の口ゴボです。 歯が唇を押し出す形になるため、横顔で口元が前に出て見えやすくなります。
このタイプは、ワイヤー矯正やマウスピース矯正で歯の角度や位置を整えることで、比較的スッキリした印象に改善しやすいのが特徴です。
骨格性よりも、治療の選択肢が広く、非抜歯で対応できるケースも多いタイプです。

口呼吸や舌のクセが原因の口ゴボ(舌癖・筋機能の問題)

口呼吸や舌を前に押し出すクセなど、日常の何気ない習慣が口ゴボの原因になることがあります。
口が少し開いたままの状態が続くと、前歯が押されて前に出やすくなり、唇も閉じにくくなることがあります。
また、片側だけで噛む習慣も顎のバランスに影響し、口元の位置を乱すことがあります。
こうしたクセが関わっている場合は、矯正治療とあわせて、口周りの筋肉の使い方や呼吸方法を整えるトレーニングを行うことで、より自然で安定した仕上がりが期待できます。

生まれつきの骨格・成長の影響による口ゴボ

口ゴボは、生まれつきの骨格バランスや顎の成長の仕方が大きく関係していることもあります。
家族に似た横顔の方がいる場合、上顎が前に出やすい・顎が小さめなど、骨格の特徴を受け継いでいることがあります。
また、成長期の習慣や姿勢、噛み方のクセによって顎の発達に差が出ることもあり、それが口元の印象に影響することがあります。
遺伝だから改善できない…というわけではなく、矯正治療で整えられる部分は多いため、まずは原因を見極めることが大切です。

口ゴボは矯正治療で直せます!

「矯正で本当に口ゴボって直るのかな…?」と不安に感じている方も多いと思います。
口ゴボは、多くの場合、前歯と、それを支える骨(歯槽骨)が前よりの位置にあることで、口元がふくらんで見えている状態です。
矯正治療では、ワイヤー矯正やマウスピース型矯正などを使いながら、前歯や歯並び全体の位置を少しずつコントロールしていきます。
そうすることで、口元のボリュームをすっきりさせつつ、「見た目の変化」と「噛みやすさ」の両方をできるだけ両立させることを目指します。

口ゴボを矯正で整えるしくみ

口ゴボを矯正で整えるときは、ただ前歯を下げるだけではなく、横顔のラインやかみ合わせのバランスまで細かく見ながら進めていきます。
まずは歯を動かすためのスペースをつくり、必要に応じて歯列の幅を整えたり、奥歯の位置を調整したりして、前歯を少しずつ理想の位置へ下げていきます。
治療の仕上げでは、唇が自然に閉じやすいか、横顔のEラインがきれいに見えるかなどもチェックしながら微調整を行います。
装置の種類(ワイヤー・裏側・マウスピース)や抜歯の有無、アンカースクリューの使用などは、お口の状態と仕上がりの希望に合わせて一緒に決めていくので、無理のない形で口元の印象改善を目指せます。

どこまで矯正治療で対応できる?適応の目安と限界

口ゴボは多くの場合、矯正治療で改善できますが、「歯の並びが原因なのか」「骨格の影響が強いのか」、そして口元の出方がどの程度なのかによって、選べる治療法や変化の大きさが変わります。
歯が中心のタイプなら矯正だけで自然な横顔を目指しやすい一方、骨格の影響が強い場合は、外科的治療を組み合わせた方が理想に近づけることもあります。

軽度〜中等度の口ゴボ

横顔の「ちょっとだけ口元が気になる…」という程度で、前歯やそれを支える骨が少し前に傾いているタイプの口ゴボは、矯正で改善しやすいケースです。
ワイヤー矯正やマウスピース矯正で前歯の位置をゆっくり後ろへ整えることで、横顔がよりスッキリして、噛みやすさも自然に整ってきます。
歯を抜かずに治療できる可能性もあり、負担を抑えながら進められるのが特徴です。

中度~重度の口ゴボ

横顔で唇のふくらみがはっきり分かる、歯並び全体が前に出て見える…といった「強めの口ゴボ」では、前歯をしっかり後ろへ下げる必要があります。
そのため、小臼歯の抜歯でスペースをつくり、アンカースクリュー(小さな矯正用ネジ)を使って効率よく歯を後方へ動かす治療が選ばれることがあります。
治療期間はやや長めになりますが、その分、横顔の印象を大きく整えやすいのが特徴です。

矯正だけでは難しい場合

顎の骨格そのものが大きく前に出ていたり、後ろに下がっている場合、矯正だけで口元のボリュームを大きく変えようとすると、かみ合わせに無理が出てしまうことがあります。
このようなケースでは、「矯正だけでできる変化」と「外科的矯正を併用した場合にできる変化」を分けて考えることが大切です。
精密検査の結果をもとに、患者様の希望や生活スタイルに合わせて、無理のない治療の選択肢をご提案します。

原因別で見る口ゴボの治療方法

「口ゴボ」といっても、その原因は人によってさまざまです。
前歯の傾きや歯並びがメインになっている方もいれば、顎の骨格バランスが大きく影響している方、その両方が関わっている方もいます。
まずは、自分の口ゴボがどのタイプに近いのかを知ることが大切です。
原因のタイプが分かると、「矯正だけでどこまで変えられそうか」「手術まで考えたほうがいいのか」など、ご自身に合った治療方法や目指せるゴールがイメージしやすくなります。

歯並びが主な原因の場合(歯槽性口ゴボ)

前歯が前に傾いていたり、歯並び全体が少し前へ押し出されていることが原因で起こるタイプの口ゴボです。
骨格の影響が小さいため、矯正で改善しやすいのが特徴です。

このような場合は、

  • ワイヤー矯正またはマウスピース矯正で前歯を後方へ移動
  • 歯並びの幅(アーチ形態)を整えて見た目とかみ合わせを調整
  • 必要に応じて、歯を動かすスペースをつくる処置を追加(IPRや拡大)
  • しっかり下げたい場合は、小臼歯の抜歯でスペースを確保

軽度〜中等度であれば非抜歯で対応できることも多く、負担を抑えながら自然な横顔を目指せます。

顎の骨格の影響が強い場合(骨格性口ゴボ)

上顎や下顎自体が前に出ている、いわゆる「上下顎前突」のタイプの口ゴボです。
横顔で唇や顎が全体的に前に見えたり、家族にも似た横顔の方が多い場合は、骨格の影響が強い可能性があります。
歯並びだけを動かす矯正で見た目をある程度すっきりさせられることもありますが、骨格のズレが大きい場合は、より自然な横顔づくりのために外科的なアプローチを併用することもあります。

このような場合は、

  • ワイヤー矯正やマウスピース矯正で歯並び・かみ合わせを整える
  • 必要に応じて小臼歯の抜歯でスペースを確保
  • アンカースクリューで歯を効率よく後方へ移動
  • 顎の位置そのものを整える顎矯正手術(外科的矯正)の併用

といった方法で矯正治療を進めます。
どこまで矯正だけで変えられるか、どこから手術を組み合わせるべきかは、レントゲンやCTなどの精密検査でしっかり確認します。
そのうえで、仕上がりの希望や生活スタイルに合わせて、無理のない治療プランをご提案します。

歯並びと骨格の両方が関わる場合(混合型口ゴボ)

「前歯も気になるし、横顔の骨格っぽい感じもある…」という方に多いのが、歯並びと骨格の両方が影響している“混合型”の口ゴボです。
歯の傾き・顎の骨の位置・口周りのクセ(口呼吸や唇の閉じ方)など、いくつかの要因が重なって起こります。
このタイプでは、まず矯正で歯並びとかみ合わせを整えつつ、骨格の影響がどれくらい強いのかを丁寧に見極めます。
必要に応じて外科的なアプローチを選択肢に入れることで、より自然でバランスの良い横顔を目指すことができます。

このような場合は、

  • ワイヤー矯正 or マウスピース矯正で歯列・かみ合わせを整える
  • 必要に応じて抜歯によるスペース確保
  • アンカースクリューで効率的に前歯を後方へ移動
  • 骨格の影響が強い場合は顎矯正手術(外科的矯正)も併用
  • 口呼吸や唇のクセを改善するトレーニング(MFT)を並行して実施

当院では検査結果の写真や画像をお見せしながら、「どの要素がどれくらい影響しているか」「矯正だけでどこまで変えられるか」「外科併用ならどこまで目指せるか」をわかりやすくご説明いたします。

程度別で見る口ゴボの治療方法

口ゴボといっても、どのくらい口元が前に出ているかによって、選べる治療方法や必要な期間が変わってきます。
「ちょっと気になる程度」なのか、「横顔ではっきり分かるくらい」なのかで、向いている矯正装置や、どれくらい歯を動かす必要があるかも変わります。

口ゴボ軽度症例画像

軽度(口元のふくらみが少し気になる程度)の方の場合

横顔で「少しだけ唇が前に出て見える」「写真だと口元がぽこっと見える」という軽度の口ゴボは、もっとも矯正で整えやすいタイプです。
前歯の角度や歯列の形を少し整えるだけでも、口元のボリュームが自然に引き締まり、横顔の印象がすっきりしてきます。
ワイヤー矯正・マウスピース矯正のどちらも選べることが多く、歯を抜かずに治療できるケースも少なくありません。
治療期間は、お口の状態によって差はありますが、およそ1年前後で見た目と噛みやすさをバランス良く改善していくことができます。

               口ゴボ中等度症例画像

中等度(横顔で口元の突出がはっきりわかる)の方の場合

横から見たときに唇が鼻先と顎先のラインより前に出て見え、「口を閉じると顎に力が入る」「唇を閉じにくい」と感じやすい状態です。
ここまでの口ゴボになると、前歯の角度だけでなく、歯列全体の位置やスペースのバランスを丁寧に整えていく必要があります。
治療では、ワイヤー矯正やマウスピース矯正を使い、非抜歯で歯列の幅を調整して整える方法から、小臼歯を抜いてスペースを確保し、前歯をしっかり後ろに下げる方法まで幅広く検討します。
治療期間の目安は1年〜1年半ほど。見た目の変化だけでなく、かみ合わせの安定も両立させながら、時間をかけて丁寧に整えていきます。

口ゴボ重度症例画像

重度(口元が大きく前に出ている)の方の場合

横顔で口元がしっかり前に出て見えたり、力を抜くと唇が閉じにくかったりする状態は、歯並びだけでなく顎の骨格も関わっていることが多いタイプです。
この場合、前歯だけを動かす矯正では十分に下がりきらないこともあり、抜歯でスペースをつくったり、アンカースクリューを使って歯をしっかり後ろへ下げたりと、より精密なコントロールが必要になります。
骨格の影響が大きい場合は、矯正に加えて顎矯正手術を組み合わせることで、横顔の印象やかみ合わせをより大きく改善できることもあります。
治療期間は1年半〜2年半ほどと長めになりますが、その分、見た目・噛みやすさ・発音のしやすさをトータルで整えられるのが特徴です。
当院では、精密な検査を行い、無理のない治療ゴールを一緒に決めていきます。

口ゴボをワイヤー矯正で治療

ワイヤー矯正は、口ゴボをしっかり改善したい方にとても効果的な方法です。
前歯の角度や歯並び全体を細かくコントロールできるため、前に出ている口元を自然にすっきり見せることができます。
特に「前歯が前に傾いている」「歯列全体が前に出ている」タイプの方に向いており、症例に合わせて最適な方法をご提案します。

ワイヤー矯正が向いているケース

ワイヤー矯正は、口ゴボをしっかり改善したい方にとても相性の良い治療方法です。
特に、前歯が前に倒れ気味だったり、歯並び全体が前へ押し出されているタイプの口ゴボには高い効果が期待できます。ワイヤーの力を使って、前歯の角度や位置を細かく調整できるため、横顔の印象を大きく変えやすいのが特徴です。
また、骨格に大きな問題がない場合(歯が原因の口ゴボ)は、ワイヤー矯正だけで自然な口元に近づけることができます。歯を一本ずつ精密に動かせるので、かみ合わせも同時に整いやすいメリットがあります。
さらに、口元の突出が強い方では、歯を下げるためのスペースが必要になることも多く、その場合は小臼歯の抜歯+ワイヤー矯正が有効です。抜いたスペースを利用して前歯をしっかり後方へ動かすことで、横顔のラインが大きく変化するケースもあります。
「しっかり引っ込めたい」「横顔を整えたい」という方は、ワイヤー矯正が向いている可能性が高いです。当院では、口元の出方や歯・骨格の状態を丁寧に評価し、最適な方法をご提案します。

TAD(アンカースクリュー)を用いた治療

TAD(アンカースクリュー)は、口ゴボの治療で前歯をしっかり下げたいときに使う、小さネジです。
歯ぐきに一時的に固定しますが、処置は短時間で、痛みもほとんどありません。
アンカースクリューを使うことで、前歯を確実に後ろへ動かす力をかけやすくなるため、治療の精度が上がり、仕上がりが安定しやすくなります。
非抜歯でもスペースを作りやすくなるため、「できれば抜歯を避けたい」という方にも役立つことがあります。
重度の口ゴボや、口元をしっかり下げたい方には、とても効果的な方法です。当院では、お口の状態を見ながら、アンカースクリューがあったほうが良いかどうかを分かりやすくご説明します。

治療の流れと期間

ワイヤー矯正で口ゴボを整える場合、治療期間の目安はおよそ1年半〜3年ほどです。歯の動き方やお口の状態によって前後します。
通院は月1回が基本で、その都度ワイヤーの調整を行い、歯が正しい方向に動くようサポートします。
日常生活では、硬いおせんべいやガムなどの粘着性のある食べ物は装置が壊れやすいため控えめに。歯みがきは装置まわりを丁寧に行い、虫歯予防を心がけましょう。
もしワイヤーが外れたり違和感が出た場合は、そのままにせず早めにご連絡ください。小さな不具合ならすぐに調整でき、快適に治療を続けられます。

ワイヤー矯正についてはこちら

口ゴボをインビザラインで治療

インビザラインは、透明なマウスピースを使って歯を動かしていく矯正方法です。
装置が目立ちにくいので、仕事中や人と会う場面でも気になりにくく、見た目を大切にしたい大人の方の口ゴボ治療でよく選ばれています。
歯並びや歯の傾きを整えることで、横顔のラインや口元のボリュームをコントロールしやすく、歯並びが主な原因となっている軽度〜中等度の口ゴボ(歯槽性の口ゴボ)に特に向いている方法です。

インビザラインが向いているケース

インビザラインは、次のようなタイプの口ゴボに適しています。
まず、歯並びや歯の傾きが中心の口ゴボの方です。前歯が前に倒れ気味だったり、歯列全体が少し前方に位置していることで口元が出て見えている場合、マウスピースで歯の角度や位置をコントロールすることで、横顔の印象をすっきりさせていくことができます。顎の骨格そのもののズレが大きくないケースほど、インビザラインが力を発揮しやすいイメージです。
また、大臼歯(奥歯)を大きく動かす必要がないケースもインビザラインに向いています。前歯や小臼歯を中心にバランスを整えていく計画で済む場合は、マウスピースによるコントロールが比較的スムーズに進むことが多いです。
逆に、奥歯を大きく下げる必要があるようなケースでは、他の装置との併用を検討することもあります。

注意が必要なケース

インビザラインだけで対応できる口ゴボも多くありますが、すべてのケースがマウスピース単独で完結できるわけではありません。
例えば、歯を大きく後ろに下げる必要がある場合や、歯の移動量がかなり多いケースではアンカースクリュー呼ばれる小さなネジを歯ぐきの骨に埋め込み、そこを固定源として歯を効率よく引っ張っていく方法を組み合わせることがあります。これにより、よりしっかりと口元のボリュームダウンを狙えることがあります。
さらに、インビザラインだけでは細かいコントロールが難しい部位やタイミングでは、一時的にワイヤー矯正と組み合わせるコンビネーション治療を行う場合もあります。マウスピースの「見た目にやさしい」というメリットを活かしながら、必要なところだけワイヤーで微調整を行うイメージです。
顎の骨格的な前突(骨格性の口ゴボ)が強いケースでは、矯正治療だけで横顔のシルエットを大きく変えるのが難しいこともあります。
その場合、顎の位置を整える外科手術と矯正治療を組み合わせる外科矯正が選択肢に入ることもあります。自分がどのレベルにあたるかは、レントゲンやお顔のバランスを含めて詳しく診断することが大切です。

期間の目安と装着条件

インビザラインで口ゴボを整えていく期間は、お口の状態や目指すゴールによって変わりますが、目安としては約1年半〜2年ほどかけてじっくり進めていくケースが多いです。
歯を動かせるスピードには限界があるため、急激に動かすのではなく、骨や歯ぐきに配慮しながら少しずつ位置を変えていきます。
治療の結果をしっかり出すうえで大事なのが、装着時間です。インビザラインは、基本的に1日20〜22時間の装着が前提です。食事と歯みがきのときだけ外し、それ以外の時間はできるだけずっとつけておくイメージです。外している時間が長くなるほど、歯の動きが追いつかず、治療期間も延びてしまいます。
マウスピースは、1〜2週間ごとなど、計画に合わせて新しいものに順番に交換していきます。交換のタイミングやチェックの頻度は、歯の動き方を確認しながら担当医が調整します。日常生活に大きな制限をかけずに治療を進めたい方にとって、続けやすい矯正方法といえるでしょう。

インビザライン矯正についてはこちら

よくある質問(FAQ)

抜歯は必ず必要ですか?

いいえ、抜歯が必ず必要というわけではありません。 歯を抜くかどうかは、口ゴボの程度や歯並び・骨格の状態によって大きく変わります。軽度の口ゴボであれば、抜歯をせずに治せるケースも多くあります。 一方で、口元をしっかり下げたい場合やスペースが足りない場合には、抜歯をした方が仕上がりが自然で、横顔もきれいに整いやすくなることがあります。治療前には精密な検査を行い、「抜歯あり・なしでどんな仕上がりになるか」「どちらの方があなたに合っているか」 をわかりやすく説明しながら、最適な方法をご提案しますのでご安心ください。

横顔(Eライン)はどこまで改善できますか?

Eラインは、矯正治療で前歯の位置を整えることで自然に近づけることが可能です。ワイヤー矯正やインビザラインで口元の前突感をおさえることで、横顔の印象は大きく変わります。ただし、顎の骨格が原因の場合は、矯正だけでは限界があり、外科的矯正を併用することでより理想に近づけるケースもあります。

大人でも間に合いますか?年齢と治療の違い

大人の方でも矯正治療は問題なく始められます。成長が終わっているため、子どもより治療に少し時間がかかることはありますが、仕上がりのきれいさは変わりません。 年齢に関係なく、歯並びを整えることで、横顔の印象や噛みやすさの改善が期待できます。 また、大人の方にはインビザラインなど目立ちにくい装置も選べるため、お仕事や生活に支障なく治療を進めていただけます。

後戻りを防ぐには?保定(リテーナー)の期間と使い方

矯正後の歯はとても動きやすく、不安定な状態が続きます。そのため、後戻りを防ぐためにはリテーナーの使用が必須です。治療後1〜2年ほどは、決められた時間しっかり装着し、その後は夜だけつけるスタイルに移行します。 また、定期的にチェックを受けることで、リテーナーの調整や歯の安定を確認でき、きれいな口元を長く保つことができます。

ガミースマイルや唇の厚みは改善しますか?

ガミースマイルは、矯正治療で改善できることがあります。 前歯の位置や角度を整えることで、笑ったときに見える歯ぐきの量が減り、自然な笑顔に近づけることが可能です。 また、唇の厚みについても、歯の位置が原因の場合は矯正でスッキリ見せることができます。 ただし、唇自体の厚みや骨格が大きく関係している場合は、矯正だけでは変化が少なく、他の治療と組み合わせることがあります。 まずは原因をしっかり調べ、最適な方法をご提案しますのでご安心ください。

料金表

矯正メニュー料金(税込)

スピード矯正インビザライン 1,056,000円(税込)
インビザライン部分矯正 550,000円(税込)
インビザライン全顎矯正 880,000円(税込)
マルチブラケット(ワイヤー矯正) 基本施術料 946,000円(税込)
小児矯正(プレオルソ) 基本施術料 550,000円(税込)
処置管理料(各治療費とは別途) 110,000円(税込)

お支払方法

「治療費」支払いシミュレーション

インビザライン(スピード矯正)

インビザライン(スピード矯正)

デンタルローン活用で (税込)

9,302円〜


治療費の総額 1,056,000円

※利率・回数は院内案内に準じます(例:実質年率5.8%・165回想定)

マルチブラケット(ワイヤー矯正)

マルチブラケット(ワイヤー矯正)

デンタルローン活用で (税込)

8,337円〜


治療費の総額 946,000円

※利率・回数は院内案内に準じます(例:実質年率5.8%・165回想定)

監修医情報

むらつ歯科クリニック 副院長

三嶋一平 医師

三嶋一平 医師
略歴
福岡歯科大学付属病院 臨床研修医
福岡歯科大学矯正歯科 入局
医療法人むらつ歯科クリニック 勤務
メッセージ

矯正治療中の患者さんの気持ちに寄り添うことを大切に考えています。
患者さんがより快適に楽しみながら治療を続けられるように、 また自分の身体と向き合いながら、自分の身体を好きになれるようにサポートします。
歯並びとお口の機能が整うと、身体は驚くほど元気になりますよ。