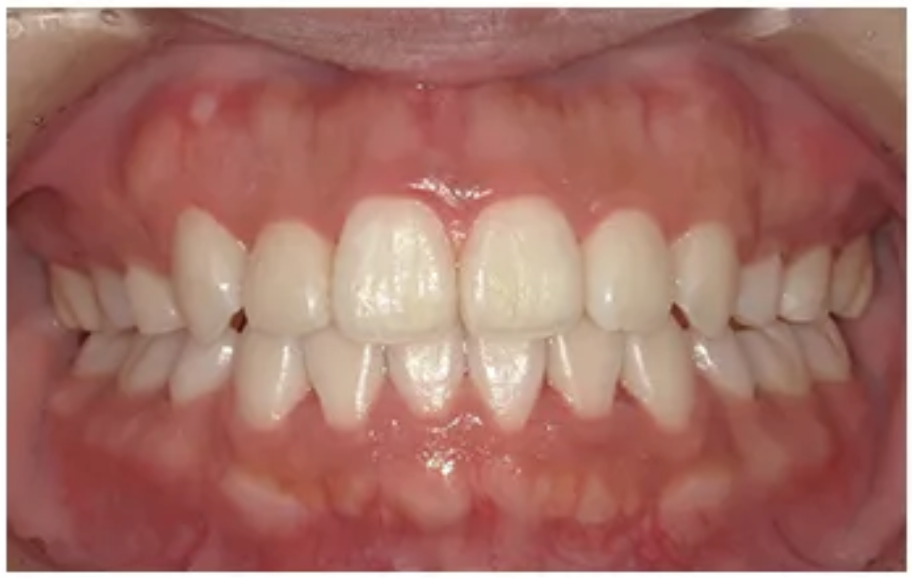
インビザライン/エンジェルアライナー対応
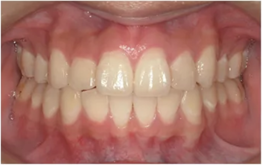
目立たず快適!マウスピース矯正
透明で目立ちにくく、取り外しできるため衛生的。
通院負担を抑えながら計画的に歯を動かします。
- 金属不使用で
目立ちにくい - 通院負担が
少ない - 取り外せて
清掃が簡単 - 食事制限が
少ない
- 部分矯正
- 55万円(税込)
- 全顎矯正
- 88万円(税込)
歯並びだけではなく
全身の健康や生活品質の向上にも
歯科医師
三嶋 一平
全国でも数%の
ドクターが認定される
「上位プロバイダー」
プラチナ・
ダイヤモンドプロバイダー
7年連続受賞
















口元美人を叶える インビザライン矯正治療(新書 – 2021/8/31)
<著者>
三嶋 一平
<監修>
村津 大地
歯列矯正はつらくない! 多くの女性を「口元美人」に導いてきたスペシャリストが教える、 矯正歯科治療の常識を変えた“インビザライン"とは―― 顔の3分の1を占める口元は、表情に大きな影響を与えます。 矯正歯科を考える女性たちは増えていますが、 これまで最もメジャーな矯正歯科治療であった「ワイヤー矯正」は 歯並びに悩む人々を救ってきた一方で、 「矯正装置が目立つのが嫌」と敬遠されてきました。
口元美人を叶える インビザライン矯正治療(新書 – 2021/8/31)
<著者>
三島 一平
<監修>
村津 大地
歯列矯正はつらくない! 多くの女性を「口元美人」に導いてきたスペシャリストが教える、 矯正歯科治療の常識を変えた“インビザライン"とは―― 顔の3分の1を占める口元は、表情に大きな影響を与えます。 矯正歯科を考える女性たちは増えていますが、 これまで最もメジャーな矯正歯科治療であった「ワイヤー矯正」は 歯並びに悩む人々を救ってきた一方で、 「矯正装置が目立つのが嫌」と敬遠されてきました。
噛み合わせ(横)と、全身のバランス(縦)を整えることで、見た目だけではなく全身のバランスを整えていきましょう。
経験豊富なドクターだからできる
博多にある当院の矯正歯科は、歯並びを整えるだけでなく「全身の健康」を見据えたアプローチを行っています。
かみ合わせの改善は、肩こり・頭痛・姿勢のゆがみなど全身の不調にも関係しており、見た目の美しさと同時に体のバランスを整える効果が期待できます。
単なる“歯列矯正”ではなく、全身の健康を支える治療として、より質の高い毎日へと導きます。
歯は神経や血管を通じて全身とつながり、
咀嚼・姿勢・自律神経・免疫・脳機能などに影響する、重要な器官です。
そのため、削る・抜く・金属を入れるといった処置は
単なる「修理」ではなく臓器への医療行為であると考えています。
博多にある当院は精密な診断・メタルフリー材料・全身の調和を重視し、歯を一生涯守る治療に取り組んでいます。
噛み合わせは姿勢や呼吸にも影響。
根本原因から整え、ラクな身体へ。
CTや詳細検査で状態を可視化。
画像と数値で納得の治療計画。
金属に頼らず、素材と接着に配慮。
長く安心して使える歯へ。
ご希望と状態に合わせて、
遠回りしない治療計画をご提案。
長く安心できる結果を目指します。
快適さ・
安定性・
スピード
―― 理想に合わせて選べる矯正歯科治療
実績が導く、納得の仕上がり
インビザライン/エンジェルアライナー対応
透明で目立ちにくく、取り外しできるため衛生的。
通院負担を抑えながら計画的に歯を動かします。
マルチブラケット
幅広い症例に対応しやすく、微調整も得意。
見えにくい審美ブラケットの選択も可能です。
加速矯正デバイス
近赤外線で歯の移動をサポート。
通院ペースを保ちながら治療期間の短縮が期待できます。
博多で矯正歯科をお探しなら、30年の実績を誇る当院にお任せください。
博多駅近く・福岡市内からアクセスしやすい立地にあり、
豊富な症例数と経験に基づいた確かな技術力で、幅広い年代・症状に対応し、患者様一人ひとりに最適な治療プランをご提案します。
見た目の美しさだけでなく、機能面や将来を見据えた治療で、他院にはない安心と満足をお届けします。
-Doctors-
長年“本物”を追い求めてきた
「むらつ歯科クリニック」。
できるだけ歯を守る
健康な歯質を温存
CONSULTATION
矯正歯科専門ドクターによる無料相談
はじめての矯正は、わからないことや不安があって当然です。
博多にある当院では、経験豊富なドクターがあなたの悩みや
ご希望をじっくり伺い、治療の流れ・期間・費用までわかりやすくご説明します。
勧誘は一切ありません。まずは気軽にお話ししに来てください!
気になる歯並び、「むらつ歯科クリニック」の矯正歯科治療で解決しましょう
顎の成長をコントロールしながら、将来的に抜歯の必要を減らす「予防的矯正歯科治療」を行っています。
成長期にしかできない自然な誘導治療で、お子さまの笑顔と健やかな口元を育てます。
見た目の美しさだけでなく、噛み合わせや発音などの機能性も重視した矯正歯科治療を行います。透明なマウスピース矯正や目立ちにくい装置で、仕事中や人前でも自然に治療を続けられます。
年齢を重ねてからでも矯正歯科治療は可能です。むらつ歯科クリニックでは、 目立ちにくい装置や部分矯正を活用し、歯周病や全身状態に配慮しながら 弱い力でゆっくり歯を動かします。見た目の改善だけでなく、噛みやすさ・発音のしやすさまで丁寧に整えます。
博多にある当院では、歯並びに関する、さまざまなお悩みに対応しています。
歯並びやかみ合わせに関するお悩みから、虫歯や歯周病、さらには審美歯科に関するご相談まで幅広くお受けしていますので、
まずはお悩みをお聞かせいただき、最適な治療計画をご提案いたします。
あなたにとって最適な治療法を一緒に見つけていきましょう。
最近黄ばみが気になって、うまく笑えない方。
ホワイトニングはもちろん、その他の審美治療にも対応していますので、お気軽にご相談ください。
自宅で光を当てる補助デバイス「加速装置」を併用することで、矯正歯科治療中の歯の移動をサポートし、治療期間の短縮を目指します(※効果には個人差があります)。
来院間隔の最適化と計画的なアライナー交換により、忙しい方でも無理なく治療を進められます。
透明なマウスピース矯正なら、装置が目立ちにくく、取り外しも可能。イベントまでのスケジュールに合わせて、部分矯正や交換サイクルを調整しながら見た目の改善を図ります。
「ス・シ・セ・ソ」や「タ・テ・ト」がにごる/息がもれる——そんなお悩みは、前歯のすき間・開咬・出っ歯・舌突出癖(舌癖)などが関係していることがあります。
当院では、矯正歯科治療に口腔筋機能療法(MFT)を組み合わせ、舌の位置・嚥下のくせもあわせて整えることで、発音のしやすさを目指します(※効果には個人差があります)。
インビザライン
ワイヤー矯正
透明なマウスピースを交換しながら
少しずつ歯を動かす
ブラケット+ワイヤーで
歯に力を加え計画的に動かす
歯を後方へ動かす症例が得意
軽度〜中等度の症例に適応しやすい
前後/上下/回転などに調整可能
難症例でも適応しやすい
数ヶ月〜2年程度
※症例により変動
1年〜3年程度
※症例により変動
症例/プランにより変動あり
550,000円~
ブラケットの種類で変動あり
946,000円(税込)~
目立ちにくい
取り外し式でケアしやすい
目立ちやすい
ケアに工夫が必要
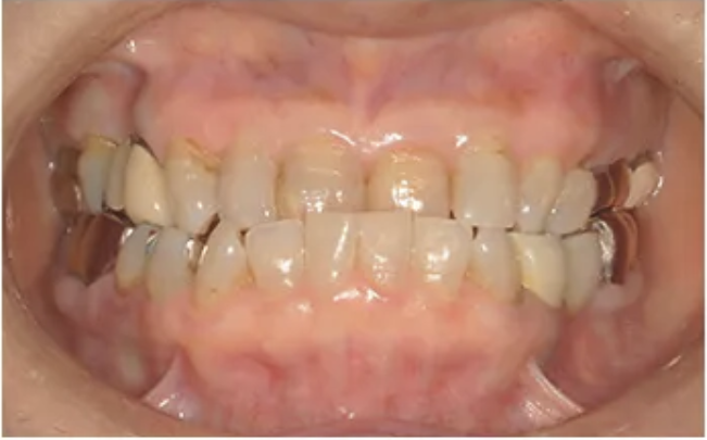
歯並び自体は大きく乱れていないものの、「口元が出ている感じがする」「横顔の印象が気になる」というお悩みは少なくありません。
こうした場合、矯正歯科治療で抜歯が必要かどうかは、歯を動かすための“スペースが十分に確保できるか”が重要な判断ポイントになります。
矯正歯科治療で抜歯を行う主な目的は、歯をきれいに並べるためのスペースを作ることです。例えば、あごが小さい、または歯のサイズが大きめで、あごの中に歯が収まりきっていない状態だと、歯列が混み合ったり前方に押し出されたりしやすくなります。その結果、口元の突出感につながるケースもあります。
このような状態では、まず歯が正しい位置へ動ける余地を確保する必要があります。軽い叢生(ガタつき)であれば、ディスキング(歯の表面のエナメル質をほんのわずかに削って隙間を作る方法)などで対応できることもあります。一方で、「口元を下げたい」「横顔の印象を整えたい」「噛み合わせもきちんと整えたい」といった目的がある場合には、抜歯によってしっかりスペースを確保する方が効果が出やすいことがあります。
矯正歯科治療で抜歯を行う場合、一般的には前から4番目または5番目の小臼歯を抜くことが多いです。とはいえ、問題のない健康な歯を抜くことには抵抗がある方も多いでしょう。そのため、小臼歯ではなく親知らずを抜いてスペースを作る方法が選択されることもあります。
親知らずを利用する場合は、ある程度きちんと生えていることなど条件がありますが、親知らずは残しておくと痛みや炎症などのトラブルの原因になりやすい歯でもあるため、治療計画によっては抜歯の対象として検討しやすい歯と言えます。
はい!
矯正歯科治療後でも歯並びの後戻りや噛み合わせの変化が気になる場合は再治療(再矯正)が可能で、後戻りが軽度であれば部分矯正で短期間の調整ができるケースもありますが、ズレの程度や歯ぐき・噛み合わせの状態によって治療法や期間が変わるため、まずは当院で精密検査を行い、最適な方法をご提案します。
*精密検査の結果次第では再治療ができない可能性もあります。
マウスピース型矯正(インビザライン)は、ブラケットやワイヤーが見えない分、「これで本当に歯が動くの?」と不安になる方が少なくありません。見た目の印象がワイヤー矯正と大きく異なるため、心配になるのは自然なことです。
結論から言うと、マウスピースでも歯は動きます。ワイヤー矯正でもマウスピース矯正でも、歯が動く仕組みそのものは共通しており、基本は 小さな力を継続してかけ続けること にあります。
ワイヤー矯正(表側・舌側を含む)では、形を調整したワイヤーが元に戻ろうとする力を利用して歯を移動させます。一方、マウスピース型矯正(インビザライン)は、少しずつ形の違うマウスピースを段階的に交換しながら、歯を目標の位置へ“誘導”していく治療です。初回から治療終了までのマウスピースが揃うと、歯並びが少しずつ整っていく流れがイメージしやすいのも特徴です。
ただし、すべての歯並びがマウスピースだけで対応できるわけではありません。歯の動かし方や噛み合わせの状態によっては、別の装置が適しているケースもあるため、精密検査では適応を丁寧に見極めます。適応となるケースであれば、マウスピース型矯正(インビザライン)でもきれいに仕上げることが可能ですので、まずは診断を受けてご自身の歯並びに合うか確認するのが安心です。
「治療期間を短縮できる」と聞くと、仕上がりの質が落ちたり、安全面に影響が出たりしないか心配になる方もいらっしゃると思います。結論として、むらつ歯科クリニックでは、必要な工程を省略して無理に早めるのではなく、治療の“無駄”を減らし、効率を高めることで期間短縮を目指しています。
期間短縮が可能となる背景には、いくつかの要素があります。当院では、検査・診断から治療計画までにデジタル技術を積極的に取り入れ、治療の見通しを立てやすくしています。また、通院や調整に関わる治療フローを整理し、スムーズに進められる体制を整えることで、不要な時間ロスを抑える工夫を行っています。さらに、症例に応じて、光加速装置(PBM)による細胞活性のサポートを組み合わせることもあります。
大切なのは「早さ」だけを優先するのではなく、適切な方法を選び、計画的に進めることです。
当院では、矯正期間を短くするために大事な検査や診断、治療の手順を省くことはありません。あくまで無駄を省き、状況に応じたオプションを適切に活用することで、結果と安全性の両立を図っています。
矯正治療では「どのくらいの間隔で通えばいいのか」は多くの方が気になるポイントです。
通院頻度は、使用する装置や治療段階、歯の動き方によって変わります。
一般的な目安として、ワイヤー矯正の場合は約1か月に1回のペースでの通院が多くなります。
一方、マウスピース型矯正(インビザライン)の場合は約2か月に1回が基本ですが、治療開始直後は装置の調整や、歯を動かすための準備処置(必要に応じて歯の表面をごくわずかに調整する処置など)を行うことがあるため、初期は1か月に1回程度になることもあります(状態により異なります)。
また、歯の動きの確認や細かな調整が必要なケースでは、月1回よりもこまめな通院をご案内する場合もあります。治療を計画通りに進めるためにも、来院ペースはその都度お伝えする医師の指示に沿っていただくと安心です。
ローンを利用したいのですが、どのような支払い方法になりますか?
また、ローンでも医療費控除の対象になるのでしょうか?
当院では、アプラスと提携したデンタルローンをご利用いただけます。分割回数の上限は以下が目安です。
アプラス:最大120回
分割回数を増やすことで月々のお支払いを抑えやすく、負担感を調整しながら治療費をご準備いただけます。
また、デンタルローンをご利用の場合でも、医療費控除を申告できるケースが一般的です。歯科ローンは信販会社が治療費を立替払いする仕組みのため、原則として「立替払いが行われた年(=ローン契約が成立した年)」に、治療費本体の金額を医療費控除として申告できます(※金利・手数料相当分は対象外)。
なお、デンタルローンには審査があり、分割回数に応じて金利・手数料が加算されます。お支払いシミュレーションのご相談も承っておりますので、ご希望の回数・月額のイメージがある方は当院までご相談ください。
現金、クレジットカード、銀行振込
デンタルローンでの決済可能
当院では、現金、クレジットカード、銀行振込、デンタルローンで決済を行えます。
クレジットカード決済は(American Express、ダイナースクラブ、JCB、Mastercard、VISA、デビットカード)に対応しています。

デンタルローン活用で (税込)
月9,302円〜
※利率・回数は院内案内に準じます(例:実質年率5.8%・165回想定)
デンタルローン活用で (税込)
月8,337円〜
※利率・回数は院内案内に準じます(例:実質年率5.8%・165回想定)
on 2026年4月14日
口ゴボがほうれい線に与える影響とは? ふと鏡を見たときや、不意に撮られた写真を見たとき、口元にくっきりと浮かぶほうれい線にハッとさせられた経験はありませんか?年 […]
on 2026年4月10日
噛むと歯が痛い原因は噛み合わせのズレかもしれません 歯の痛みを感じた際、まず虫歯を疑うのが一般的です。しかし、見た目に異常がないにもかかわらず「噛んだ瞬間にだけ […]
on 2026年4月2日
ガチャ歯やガタガタの歯並びとはどんな状態? ガチャ歯やガタガタの歯並びとは、歯が綺麗に並びきらず、重なり合ったりデコボコに生えたりしている状態のことです。歯科の […]