「前歯だけ、きれいにそろってたらな…」写真を見るたび、つい口元に目がいってしまうことはありませんか?
でも全体矯正となると「期間も費用もハードル高い…」と迷ってしまいますよね。
そんな方が気になり始めるのが、前歯など一部だけを動かす「部分矯正」です。
ただ、どこまで部分矯正で対応できるのか、何ヶ月くらいかかるのか、博多でお願いするなら費用感はどれくらいなのか…実際のところが気になるところだと思います。
部分矯正でできること・難しいケース、期間や料金の目安まで、博多エリアで治療を検討している方に向けてわかりやすく整理してお伝えします。
部分矯正とは
部分矯正とは、歯並び全体ではなく「気になる部分だけ」をピンポイントで整える矯正方法です。
当院にも、「前歯だけガタガタしている」「1本だけ飛び出して見える」「すきっ歯を写真までにどうにかしたい」といったお悩みでご相談に来られる方が多くいらっしゃいます。
動かすのは主に前歯まわりなど限られた本数なので、全体矯正に比べて期間や費用を抑えやすいのが特徴です。「全部やるほどではないけれど、口元の印象はちゃんと整えたい」という方に向いている矯正とイメージしていただくとわかりやすいと思います。

当院で行っている部分矯正

インビザラインライト
当院の部分矯正では、インビザラインライトというマウスピース矯正を採用しています。透明なマウスピースを使って、主に前歯の軽度〜中等度の歯並びを整える治療で、全体矯正よりも移動量が少ない分、期間も短めなのが特徴です。装置がほとんど目立たず、取り外して食事や歯みがきができるので、「仕事柄あまり矯正を目立たせたくない」「結婚式やイベントまでに前歯だけきれいにしたい」という方にも向いています。どこまでインビザラインライトで対応できるかは歯並びによって変わるため、まずは一度、お口の状態を一緒に確認していきましょう。

ワイヤー矯正
前歯を中心にワイヤー矯正で整える方法も行っています。歯の表面に小さな装置(ブラケット)を付けてワイヤーで少しずつ動かしていく治療で、1本1本の向きや高さを細かくコントロールできるのが大きな強みです。動かす範囲を前歯まわりにしぼることで、全体矯正よりも期間を短く、費用も抑えやすくなります。装置は透明のブラケットを選ぶこともできるため、「できるだけ目立たずに、でもしっかり前歯のガタつきを整えたい」という方に向いている治療法です。
部分矯正のメリット
治療期間が短い
「できれば短期間で終わらせたい…」という方にとって、部分矯正の大きなメリットが治療期間の短さです。 前歯など「気になるところだけ」を動かすため、全体矯正のように奥歯まで大きく動かす必要がなく、 そのぶん必要な歯の移動量も少なくて済みます。
ケースにもよりますが、早い方だと約3ヶ月、じっくり整える場合でも1年前後で ゴールを目指せることが多く、結婚式や前撮り、転職など 「この時期までに整えたい」という目標がある方にも、スケジュールを立てやすい矯正方法です。
全体矯正と比べて費用が安い
動かすのは主に前歯まわりなど限られた本数だけなので、装置の範囲も必要な調整もコンパクトになり、 その分全体矯正の約1/2程度の費用に抑えられることが多いのが特徴です。
金額は歯並びの状態や装置の種類によって変わりますが、 「まずは気になる前歯だけ整えたい」「予算の中でできることから始めたい」 という方にとって、現実的に検討しやすい矯正方法と言えます。
痛みが少なく負担が軽い
前歯まわりが中心なので、全体矯正に比べて痛みが軽くなることが多いです。 奥歯まで大きく動かす必要がなく、動かす本数も少ないため、 かかる力も比較的やさしく済みます。
調整のあとに違和感を覚える方はいても、 日常生活に支障が出るほど強い痛みが続くケースは多くありません。 お仕事や予定をこなしながら、無理のないペースで進めやすい治療です。
抜歯せずに治せる
全体の歯並びや噛み合わせを大きく組み替える全体矯正と違い、 部分矯正は前歯まわりなど「気になるところだけ」を動かすことが多いため、 スペースを作るための抜歯が不要なケースが比較的多いのが特徴です。
状態によっては抜歯が必要になることもありますが、 「できるだけ自分の歯を残しながら整えたい」という方にとっては、 選びやすい矯正方法と言えます。
通常の矯正よりも目立たずに治療が可能
動かすのが前歯まわりだけなので装置の範囲もコンパクトになり、 白いブラケットや細いワイヤー、マウスピース型の装置などを選べば、 通常の全体矯正よりも目立ちにくくなります。
正面から見ても「よく見たら矯正しているかな?」という程度で済むことも多く、 お仕事で人と接する機会が多い方や、写真に写る機会が多い方にも安心して選びやすい方法です。
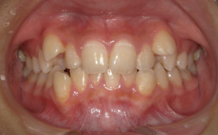
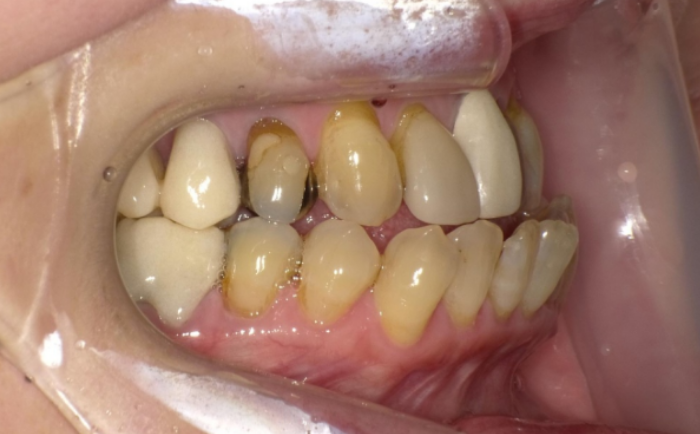
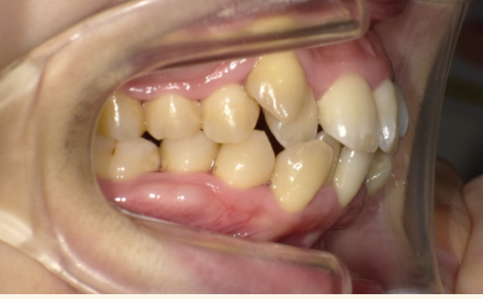
部分矯正ができない歯並びについて紹介
部分矯正は「気になるところだけをピンポイントで整えられる」のが魅力ですが、どんな歯並びでも対応できるわけではありません。ここでは、「全体矯正を考えたほうが安心なケース」の一例をお伝えします。自分の歯並びと照らし合わせながら読んでみてくださいね。

出っ歯・受け口など、噛み合わせ全体に問題があるケース
前歯の見た目だけでなく、「上の歯だけ大きく前に出ている」「下の歯が前に出ている」「前歯が浮いていて噛み合っていない」など、噛み合わせそのものに問題がある場合です。 このタイプを前歯だけで動かそうとすると、一時的に見た目が良くなっても、奥歯の噛み合わせがずれてしまい、将来の噛みにくさや顎の負担につながることがあります。そのため、上下の噛み合わせごとしっかり整える「全体矯正」が向いていることが多いです。

ガタガタが強く、歯の重なりが大きいケース
「前歯が大きくねじれている」「歯と歯が重なっていて、ほとんど隙間がない」といった、強いデコボコがあるケースです。 この場合、前歯だけを少し動かすだけではきれいに収まらず、奥歯を含めて歯列全体を広げたり、場合によっては抜歯でスペースを作ったりする必要が出てきます。無理に部分矯正だけでまとめようとすると、仕上がりが中途半端になったり、後戻りしやすくなったりするため、最初から全体矯正を前提に考えたほうが安心です。

歯並びというより「顎の骨格」の影響が大きいケース
横顔で見ると顎全体が前に出ている・引っ込んでいる、顔の中心と前歯の位置が大きくずれている、といった「骨格のアンバランス」が目立つタイプです。 この場合、前歯だけを動かしても、土台となる顎の位置は変わらないため、横顔の印象や口元のボリューム感は大きくは改善しません。むしろバランスが崩れて見えてしまうこともあります。顎の成長コントロールや外科的矯正を含めて、全体で考えたほうが良いケースにあたります。

奥歯の噛み合わせがすでに大きく崩れているケース
「奥歯がほとんど当たっていない」「片側だけ強く当たっている」「上下の歯が交差して噛んでいる(交叉咬合)」といった状態がある場合です。 見た目が気になるのは前歯でも、噛む役割の多くは奥歯が担っています。奥歯の噛み合わせが不安定なまま前歯だけ整えてしまうと、食事のしづらさや歯への負担、顎の疲れにつながることがあります。このようなケースでは、奥歯から順番にバランスを整えていく全体矯正が必要になることが多いです。
部分矯正はこんな方々に選ばれています
イベント前に早く見た目を改善したいという方
結婚式や前撮り、同窓会など「この日までに前歯だけでも整えたい」と思っている方には、部分矯正がぴったりです。 気になる前歯や笑ったときに目立つ歯だけを動かすため、全体矯正よりも治療期間が短く、 早い方で3〜6ヶ月ほどで見た目の変化を実感しやすくなります。
装置も前歯まわりが中心のため、痛みや負担が比較的少ないのもメリットです。 「時間も費用もできるだけコンパクトに、写真うつりを良くしたい」というお悩みに応えられます。
費用を抑えて矯正をしたいという方
「歯並びは気になるけど、なるべく費用は抑えたい…」という方にも、部分矯正は選ばれています。 動かすのは主に前歯まわりだけなので、全体矯正に比べて費用が約1/2程度に収まることも多く、 最初の一歩を踏み出しやすい治療法です。
予算の目安やお支払い方法も含めてご相談いただけますので、 「このくらいでできるかな?」という段階でも遠慮なくお話しください。
歯を抜かずに矯正がしたい
「できれば歯は抜きたくない…」という方にも、部分矯正はぴったりの選択肢です。 前歯まわりを中心に少しだけ動かして整えることが多いため、 全体矯正と比べて抜歯が必要になるケースはぐっと少なくなります。
矯正をしたことがあるけど、後戻りしてしまった
「昔、矯正したのに前歯がまたズレてきた…」というご相談もとても多いです。 保定装置を外してから少しずつ歯が動き、前歯だけガタつきやすいのが“後戻り”の特徴です。
このようなケースでは、気になる部分だけをもう一度整える部分矯正で対応できることも少なくありません。 今の歯並びを確認しながら、「どこまで部分矯正でリカバリーできるか」を一緒に確認していきましょう。
博多で部分矯正をお探しの方へ
むらつ歯科クリニックでは、部分矯正よりも全顎矯正を推奨しております。
前歯の出っ歯やガタガタが、実は奥歯に原因がある場合が多いため、前歯だけを矯正しても根本的な改善にはつながりにくいと言うことを、
当院では部分矯正についての結論としております。
全体的に歯を移動させることで、前歯の問題がしっかり改善されます。
当院の経験豊富なドクターが、カウンセリングから治療までしっかりサポートいたします。
自分の歯並びが部分矯正で治せるか不安な方も、まずはお気軽に無料相談にお越しください。