叢生・八重歯|博多で矯正歯科なら「むらつ歯科クリニック」

叢生・八重歯

叢生・八重歯とは?

叢生(そうせい)・八重歯とは、歯がきれいに並びきれずに重なったり、前後にずれて生えてしまっている状態のことをいいます。
顎のスペースが足りないことが主な原因で、前歯がガタガタに見えたり、八重歯だけが飛び出して見えることもあります。 見た目の印象だけでなく、磨き残しが増えやすいため虫歯や歯周病のリスクが高まったり、かみ合わせが安定せず、顎や肩に負担がかかることも。
「もしかして自分も…」と気になり始めた方は、まずは状態を知ることが改善の第一歩です。

三嶋先生の「八重歯治療」
のポイント

治療のポイントとしては、叢生や八重歯を見た目の印象だけで判断せず、歯が並ぶスペースやあごとのバランスを丁寧に分析することを大切にしています。

精密検査をもとに、抜歯の必要性や歯列を広げる余地を慎重に判断し、 八重歯については「整えたい」「個性として残したい」といった価値観も尊重。 清掃性やかみ合わせ、横顔のバランスまで考えた無理のない治療計画で、 将来の健康につながる矯正治療を行っています。

三嶋先生

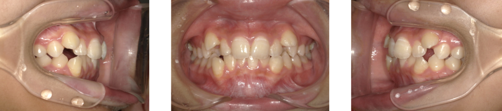
三嶋先生の叢生治療症例

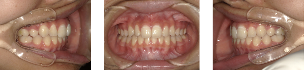
Before Photo

Before

After Photo

After

主訴

ガタガタ、八重歯が気になる。

治療期間

1年11ヶ月

料金

相談料0円、検査料33,000円、動的矯正治療費990,000円、保定装置料5,500円×2枚(必要枚数)

治療概要

上下の個々の歯の大きさに対して、上下の顎が共に小さく、歯が並ぶ余地が不足したために、改善には、上下左右の第一小臼歯を抜歯して空隙を作り、叢生を改善した。
矯正での歯の移動のリスクとして歯根吸収、歯肉退縮、歯髄壊死が考えられます。
保定装置の装置を怠ると隙間が生じてくる可能性があります。

こんな症状ありませんか?

見た目で気になる

  • 笑ったときに前歯のガタガタが強調され、口元が気になって思いきり笑えない
  • 八重歯が飛び出して見え、幼く見える・口元がゴチャついて見える
  • 横顔で唇が前に押し出され、Eラインが崩れてしまう

かみ合わせで気になる

  • 噛みにくさや食べにくさがあり、食事のときにストレスを感じる
  • かみ合わせのズレから、顎の疲れ・肩こり・頭痛などの不調が出やすい
  • 歯が当たる位置が不安定で、将来的に歯がすり減ったり欠けやすくなるのが心配

叢生の原因

歯が並ぶ「場所」が足りない

叢生の一番の原因は、「歯が並ぶ場所が足りないこと」です。
顎が小さかったり、歯が大きめだったりすると、きれいに並びきれずに重なったり前後にずれたりしてしまいます。 特に日本人は顎が小さい方が多く、見た目は普通でも実は“歯が並ぶスペースが不足している”ことがよくあります。
「ガタガタしてきた気がする…」という場合、顎の発育や歯の大きさが関係していることも多いため、状態に合わせた矯正治療でスペースを確保することで整えていくことができます。

歯の生える向きや傾きが原因になることも

歯そのものの“向き”や“生える角度”がズレていることで、叢生が起こることもあります。
本来はまっすぐ並ぶはずの歯が、少し内側や外側に傾いて生えてしまうと、前歯が重なったり、犬歯だけ飛び出して見えたりと、ガタガタが目立ちやすくなります。 気づかないうちに少しずつ歯が動いていた…というケースも少なくありません。
こうした歯の位置のズレは、矯正治療で角度を整えることで自然なアーチに整えることができます。

舌のクセや口呼吸など、日々の習慣が影響

舌で前歯を押すクセ(舌癖)や、普段から口がポカンと開いている口呼吸、幼少期の指しゃぶりなど、何気ない習慣が歯並びに影響することがあります。
これらのクセが続くと、歯に余計な力がかかり、少しずつ前に押されたり、隙間ができたりして叢生を悪化させてしまうことも。 「思い当たるクセがあるかも…」という方は、まず原因を知るだけでも改善の第一歩になります。必要に応じて、習慣改善のアドバイスや治療でサポートできる場合もあります。 むらつ歯科クリニックでは、早期の段階で問題を発見し、治療を開始することをお勧めしています。

遺伝や成長期の影響

叢生や八重歯は、もともとの体質が関係していることもあります。
顎が小さめだったり、歯が大きめだったりといった特徴は親から受け継ぐことが多く、家族に歯並びがガタガタの人がいると、自分も似た状態になりやすい傾向があります。
また、乳歯から永久歯に生え替わる時期に、顎の成長が追いつかず“歯の並ぶスペースが足りないまま”になると、叢生が進んでしまうこともあります。
「子どもの頃から気になっていた」という方は、この遺伝や成長期の影響が関係しているケースが少なくありません。

叢生・八重歯は矯正治療で改善できます!

歯が重なっていたり、八重歯が気になって「私の歯並びって治るのかな…」と不安に感じている方も多いと思います。
でも、叢生や八重歯は矯正治療でしっかり整えることができます。 見た目の印象が変わるだけでなく、噛みやすさや歯磨きのしやすさも改善し、虫歯・歯周病のリスクを減らすことにもつながります。
「どんな治療方法が自分に向いているんだろう?」という方も安心してください。歯並びの状態に合わせて、あなたに最適な治療法をご提案できます。

叢生・八重歯を矯正で整えるしくみ

叢生や八重歯を矯正で改善するためには、まず歯がきれいに並ぶためのスペースをつくり、そのうえで歯を正しい位置へゆっくり導いていくことが大切です。
ワイヤー矯正やマウスピース矯正は、弱い力を継続的にかけることで、重なっている歯や飛び出した八重歯も少しずつ動かし、自然なアーチへ整えていきます。
歯が並ぶ場所が足りない場合は、歯列を広げたり、歯と歯の間をわずかに整えたり、必要に応じて抜歯を行うことでスペースを確保します。そのうえで、確保したスペースに向かって歯をゆっくり移動させることで、1本ずつ整った並びへ近づいていきます。
また、見た目だけではなく、上下のかみ合わせや口元のバランスも同時に整うため、「噛みにくい」「口元が気になる」といった悩みの改善にもつながります。丁寧な診断と計画に基づいて進めることで、叢生や八重歯はしっかり改善が期待できます。

どこまで矯正で対応できる?適応の目安と限界

叢生や八重歯は多くの場合、矯正治療でしっかり整えることができますが、状態によって治療の進め方や適した方法は変わります。軽度のガタつきなら短期間の部分矯正で改善できることもあれば、重度の場合はスペースづくりや抜歯が必要になることもあります。 「私の歯並びも治るのかな?」と不安に感じている方でも、まずはどこまで改善が見込めるかを知ることが、治療の第一歩になります。

軽度〜中等度

前歯のデコボコがそこまで強くない場合は、歯が並ぶスペースを少し確保するだけで整うことが多く、非抜歯での矯正が可能なケースもよくあります。
歯列の幅をほんの少し広げたり、歯と歯の間をわずかに整えることで、マウスピース矯正やワイヤー矯正でもきれいに並びやすくなります。
「ガタつきはあるけど重度ではなさそう…」という方は、このタイプに当てはまることが多いです。

重度の叢生・八重歯

歯の重なりが大きく、どう見てもスペースが不足している場合は、歯を抜いてスペースをつくったほうが、仕上がりや長期的な安定性が高くなることがあります。
「抜歯=こわい」というイメージを持つ方もいますが、必要な分だけスペースを確保することで、無理なく歯を正しい位置へ動かせるため、結果的により整った口元になるケースが多いです。

矯正治療でどこまで良くできるのか

叢生や八重歯は、多くの場合「見た目」と「噛みやすさ」の両方をしっかり改善できます。

重なっていた前歯がまっすぐ整うことで笑ったときの印象が大きく変わり、横顔のライン(Eライン)がスッと自然に見えるようになる方もいます。また、歯がきれいに並ぶことで磨き残しが減り、虫歯や歯周病のリスクを下げられるのも大きなメリットです。
もちろん状態によって治療の方法や仕上がりは異なりますが、「今より良くなる余地はあるのかな…」と不安な方でも、適切な方法を選べば大きな変化が期待できます。

原因別で見る叢生・八重歯の治療方法

叢生や八重歯といっても、その原因は人によってさまざまです。歯そのものが大きいのか、顎が小さくて並ぶスペースが足りないのか、あるいはその両方なのかによって、選ぶべき治療方法や抜歯の有無が変わります。
まずは自分の歯並びが「どんな理由でガタついているのか」を知ることが、無理のない治療を選ぶための大事なステップです。原因に合わせて治療法を考えることで、より理想に近い仕上がりが目指せます。

歯の大きさや位置が主な原因の方の場合

前歯のデコボコが目立つものの、顎の大きさには大きな問題がなく、歯そのものの大きさや向きが影響しているタイプです。
歯が少し大きめだったり、前方や外側に傾いて生えていることでスペースを取り合い、ガタつきが出てしまいます。軽度〜中等度の叢生でよく見られるケースで、比較的やさしい方法で整えられることも多いタイプです。

このタイプの治療方法は、

  • 歯列の幅を少し広げてスペースを確保する
  • 歯と歯の間をわずかに整えてスペースを作る
  • マウスピース矯正やワイヤー矯正で歯の角度を調整する

などが中心で、非抜歯での矯正が可能なことも多いのが特徴です。

顎の大きさ・形の影響が強い方の場合

顎自体が小さかったり細かったりして、そもそも歯が並ぶスペースが大きく不足しているタイプです。上下どちらも強めのガタつきがあり、「歯が入りきっていない感じがする」「口元が前に出て見える」といった悩みを持つ方に多く見られます。 この場合、顎の大きさと歯のボリュームのバランスをしっかり整えることが大切で、無理に非抜歯で治そうとすると、口元がもっこりして見えたり、仕上がりの安定性に影響することがあります。

このタイプの治療方法は、

  • 抜歯によって適切なスペースを確保する
  • ワイヤー矯正やマウスピース矯正で歯を正しい位置へ動かす
  • かみ合わせや横顔のバランスを整えるための精密な調整

などが中心になります。精密な診断を行うことで、理想の仕上がりへ近づける治療計画が立てられます。

歯と顎の両方が関わる方の場合

叢生や八重歯の多くは、歯の大きさや向き・顎のスペース・噛み方のクセなど、いくつかの要素が重なって起こる「混合型」です。
歯だけが原因というわけでも、顎だけが問題というわけでもなく、それぞれが少しずつ影響し合ってガタつきが強く見えているケースがよくあります。
このタイプでは、見た目の仕上がりだけでなく、かみ合わせ・横顔のバランス・普段の噛みグセまで含めてトータルに整えることが大切になります。

このタイプの治療方法は、

  • 矯正装置で歯列を整えつつ、抜歯の有無を慎重に判断する
  • 口元のボリュームや横顔のラインも踏まえて治療ゴールを決める
  • 片側ばかりで噛む・舌のクセなどがあれば改善も同時に行う

など、複数の視点からバランスよく整えていく治療計画が必要です。

程度別で見る叢生・八重歯の治療方法

叢生や八重歯の治療は、歯の重なり具合や歯列全体の乱れ方によって、選べる治療方法や期間が大きく変わります。
軽いデコボコなら比較的短期間で整うこともあれば、重度の場合はスペースづくりからしっかり進める必要があります。

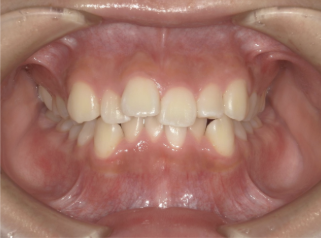
軽度叢生・八重歯症例画像

軽度(少しデコボコしている程度)の方の場合

前歯がほんの少し重なっていたり、八重歯が少しだけ前に出ているといった、“見た目としては気になるけれど重度ではない”タイプです。
この段階であれば、歯が並ぶためのスペースを少し整えるだけで改善できることが多く、非抜歯での矯正が可能なケースがよく見られます。具体的には、歯列の幅をわずかに広げたり、歯と歯の間を少しだけ整えることで、無理なく歯を並べることができます。
治療方法はワイヤー矯正・マウスピース矯正のどちらも選択肢になり、治療期間の目安はお口の状態にもよりますが、比較的短い1年前後で整うケースが多いです。

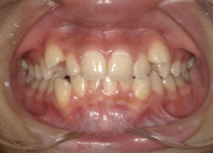
               中等度叢生・八重歯症例画像

中等度(しっかり重なりがわかる)の方の場合

前歯だけでなく奥歯にも重なりがはっきり見え、磨きにくい場所が多かったり、虫歯や歯周病のリスクが気になり始める段階です。
見た目のガタつきだけでなく、日常のケアにも影響が出やすい状態といえます。 このレベルになると、非抜歯で歯列を広げて並べる方法と、抜歯して十分なスペースを作り、かみ合わせと口元のバランスも整える方法の両方が検討されます。
どちらが最適かは歯と顎のバランスによって異なりますが、治療期間の目安は1年〜1年半ほど。デコボコとかみ合わせをしっかり整えながら進めるケースが多くなります。

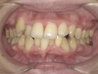
重度叢生・八重歯症例画像

重度(歯が大きく重なっている)の方の場合

歯が深く重なっていて一部の歯がほとんど見えなかったり、八重歯が大きく飛び出しているような、歯列全体のガタつきが強い状態です。かみ合わせも不安定になりやすく、「どこで噛んでいるのか分からない」「磨き残しが多い」と感じる方も少なくありません。 このレベルでは、抜歯によってしっかりスペースを確保したうえで整えていく矯正治療が選ばれることが多く、必要に応じて顎の幅や口元のボリュームなども含めて、トータルでバランスを整える計画を立てます。
治療期間は1年半〜2年ほどとやや長めになりますが、丁寧に進めることで見た目・噛みやすさ・お手入れのしやすさまで総合的に改善が期待できます。

ワイヤー矯正で行う叢生・八重歯の治療

叢生や八重歯のように歯が大きく重なっているケースでも、ワイヤー矯正なら細かい角度や位置までしっかり調整でき、幅広い症例に対応できます。見た目が気になる方はもちろん、噛みにくさや歯磨きのしづらさを改善したい方にも適した方法です。「なるべく確実に治したい」「しっかり並べたい」という方に選ばれやすい治療法です。

ワイヤー矯正が向いているケース

ワイヤー矯正は、叢生や八重歯をしっかり整えたい方にとても相性の良い治療方法です。
特に、歯が重なって見える軽度〜中等度のケースでは、歯の角度や位置を細かく調整できるため、キレイに並びやすく、比較的スムーズに治療が進みます。 また、歯が大きめ・角度がずれているといった“歯の向き”が原因の叢生はもちろん、歯と顎の両方が影響するタイプでも、ワイヤー矯正は1本1本の歯を精密に動かすのが得意です。
「確実に整えたい」「細かい部分までしっかりキレイにしたい」という方に向いている治療法といえます。

抜歯の判断とTAD(アンカースクリュー)を用いた治療

ワイヤー矯正は、治療の進め方や通院ペースがあらかじめ分かっていると安心して始めやすくなります。
治療期間はお口の状態によって変わりますが、1〜2年ほどが目安です。軽度の叢生や八重歯であれば、もっと短い期間で整うこともあります。 通院は4〜8週間ごとに行い、その都度ワイヤーを調整しながら歯の動きやかみ合わせを細かくチェックしていきます。装置は、見える部分につける表側矯正(メタル・クリア)や、目立ちにくい舌側矯正(裏側)などから選ぶことができ、ライフスタイルに合わせた治療が可能です。
治療を始める前には、全体の流れや期間、通院頻度などをわかりやすくご説明し、無理のない治療計画をご提案します。

ワイヤー矯正についてはこちら

インビザラインで行う叢生・八重歯の治療

透明のマウスピースで行うインビザラインは、「矯正中だと気づかれたくない」「できるだけ自然に生活したい」という方に人気の治療方法です。
叢生や八重歯のガタつきも、段階的にマウスピースを交換しながら少しずつ整えていくことで、見た目の変化もかみ合わせの改善も期待できます。食事や歯磨きのときに取り外せるため、矯正中のストレスをできるだけ減らしたい方にも向いています。

インビザラインが向いているケース

インビザラインは、透明なマウスピースで治療できるため、「矯正していることをできるだけ周りに知られたくない」という方にぴったりの方法です。
特に、軽度〜中等度の叢生や八重歯のように、歯の位置や角度を丁寧に整えていくケースと相性が良く、自然なアーチに仕上げやすいのが特徴です。 歯そのものの並びに問題があるタイプ(歯槽性の叢生)にも有効で、計画に沿ってマウスピースを交換していくことで、理想の位置へ少しずつ動かしていきます。
見た目に配慮したい方や、仕事・プライベートで装置が目立つのは避けたい方にも選ばれている矯正方法です。

注意が必要なケース

インビザラインはとても優れた矯正方法ですが、すべての歯並びに適しているわけではありません。
特に、重度の叢生や、顎の骨格の影響が大きいタイプでは、マウスピースだけで理想の仕上がりを目指すのが難しいことがあります。この場合は、ワイヤー矯正や必要に応じて外科的な治療を組み合わせることで、より確実に整えられます。 また、奥歯を大きく動かす必要があるケースでも、インビザライン単独では対応しきれないことがあり、その際はワイヤー矯正やアンカースクリューを併用して進めることがあります。
大切なのは、「自分の歯並びにどの方法が一番合うか」を正しく見極めることです。適切な治療法を選ぶことで、より理想に近い仕上がりを目指せます。

インビザライン矯正についてはこちら

よくある質問(FAQ)

八重歯は残すべき?整えるメリットは?

八重歯は犬歯が前に飛び出して見える状態で、人によっては可愛らしく見える一方、「笑ったときだけ気になる」「横顔が気になる」と感じる方も多い部分です。 もし見た目が気になっている場合は、矯正で整えることで口元がスッキリし、横顔の印象も自然に整います。かみ合わせも安定しやすくなり、食べやすさや歯磨きのしやすさが改善されるメリットもあります。 ただし、八重歯があっても特に問題がなく、かみ合わせに影響が出ていない方もいます。大切なのは「見た目・噛みやすさ・将来の健康」をどうしたいか。気になる方は、一度相談して自分に合った判断をするのがおすすめです。

抜歯は必ず必要ですか?

矯正=抜歯というイメージを持つ方も多いですが、必ず抜歯が必要になるわけではありません。抜歯を行うのは、歯が並ぶスペースが大きく不足している場合や、前歯をしっかり後ろへ下げる必要がある場合など、治療の仕上がりにとって必要なときに限られます。 一方で、軽度〜中等度の叢生なら、歯列を広げたり、奥歯を少し動かすことで非抜歯で整えられるケースも多くあります。 大切なのは、「なぜ抜歯が必要なのか」あるいは「非抜歯でも大丈夫なのか」をしっかり見極めることです。治療前に理由や流れを丁寧に説明してもらうことで、安心して治療を始められます。 むらつ歯科クリニックでは、患者様の状態に最適な治療法を選び、抜歯が必要な場合でも、その理由と治療の流れについて丁寧にご説明いたします。

マウスピースでも叢生・八重歯は治せますか?

透明なマウスピースを使うインビザラインは、軽度〜中等度の叢生や八重歯であればしっかり整えることができます。歯の位置や角度を少しずつ調整していく治療なので、「ガタつきが気になるけど、ワイヤーは目立つのが嫌…」という方にも人気です。取り外しができるため、食事や歯磨きのしやすさも大きなメリットです。 ただし、歯の重なりが大きい場合や、顎の骨格が原因で歯並びが乱れている場合は、マウスピースだけでは理想の仕上がりが難しいことがあります。その場合は、ワイヤー矯正や他の治療方法との併用でより良い結果を目指します。

大人でも間に合いますか?治療の年齢制限は?

矯正治療に年齢制限はなく、大人になってからでも問題なく始められます。 実際、最近は20〜40代で治療をスタートする方がとても多く、「もっと早くやればよかった」と感じる人も少なくありません。 大人の場合は歯が生え揃っている分、治療の見通しが立てやすく、歯並びだけでなくかみ合わせや顎のバランスまで一緒に整えることができます。 治療方法や期間はお口の状態によって変わるため、まずは気軽に相談し、自分に合った計画を立てるのがおすすめです。

後戻りを防ぐには?リテーナー期間と使い方は?

矯正で整えた歯並びをきれいに保つためには、リテーナー(保定装置)の使用がとても大切です。歯は動いたばかりの時期だと元の位置に戻りやすいので、治療後の1〜2年ほどは、毎日しっかり使うことが推奨されています。その後は、歯の状態を見ながら徐々に使用頻度を減らしていきます。 リテーナーの使用期間や使い方は一人ひとり違うため、まずは正しい装着方法やお手入れ方法を知ることが大切です。矯正が終わったあともサポートを受けることで、後戻りを防ぎ、きれいな歯並びを長くキープできます。

料金表

矯正メニュー料金(税込)

スピード矯正インビザライン 1,056,000円(税込)
インビザライン部分矯正 550,000円(税込)
インビザライン全額矯正 880,000円(税込)
マルチブラケット(ワイヤー矯正) 基本施術料 946,000円(税込)
小児矯正(プレオルソ) 基本施術料 550,000円(税込)
処置管理料(各治療費とは別途) 110,000円(税込)

お支払方法

「治療費」支払いシミュレーション

インビザライン(スピード矯正)

インビザライン(スピード矯正)

デンタルローン活用で (税込)

9,302円〜


治療費の総額 1,056,000円

※利率・回数は院内案内に準じます(例:実質年率5.8%・165回想定)

マルチブラケット(ワイヤー矯正)

マルチブラケット(ワイヤー矯正)

デンタルローン活用で (税込)

8,337円〜


治療費の総額 946,000円

※利率・回数は院内案内に準じます(例:実質年率5.8%・165回想定)

監修医情報

むらつ歯科クリニック 副院長

三嶋一平 医師

三嶋一平 医師
略歴
福岡歯科大学付属病院 臨床研修医
福岡歯科大学矯正歯科 入局
医療法人むらつ歯科クリニック 勤務
メッセージ

矯正治療中の患者さんの気持ちに寄り添うことを大切に考えています。
患者さんがより快適に楽しみながら治療を続けられるように、 また自分の身体と向き合いながら、自分の身体を好きになれるようにサポートします。
歯並びとお口の機能が整うと、身体は驚くほど元気になりますよ。